Western Blot - Anti-STAT5 (phospho Tyr694) Antibody (A91399)
Western blot analysis of extracts of K562 cells, using Anti-STAT5 (phospho Tyr694) Antibody (A91399) at 1:1,000 dilution. K-562 cells were treated by ATP(5 mM) at 30°C for 1 hour. The secondary antibody was Goat Anti-Rabbit IgG H&L Antibody (HRP) at 1:10,000 dilution. Lysates/proteins were present at 25µg per lane. The blocking buffer used was 3% BSA. Detection was with a ECL Basic Kit. Exposure time: 1s.
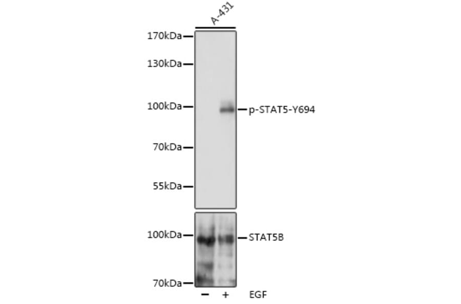
Western Blot - Anti-STAT5 (phospho Tyr694) Antibody (A91399)
Western blot analysis of extracts of A-431 cells, using Anti-STAT5 (phospho Tyr694) Antibody (A91399) at 1:1,000 dilution or STAT5B antibody (A12356). A-431 cells were treated by EGF (100 ng/ml) at 37°C for 30 minutes after serum-starvation overnight. The secondary antibody was Goat Anti-Rabbit IgG H&L Antibody (HRP) at 1:10,000 dilution. Lysates/proteins were present at 25µg per lane. The blocking buffer used was 3% BSA. Detection was with a ECL Basic Kit. Exposure time: 60s.
Immunohistochemistry analysis of paraffin-embedded rat heart using Anti-STAT5 (phospho Tyr694) Antibody (A91399) at a dilution of 1:200 (40x lens). Perform microwave antigen retrieval with 10 mM Tris/EDTA buffer pH 9.0 before commencing with IHC staining protocol.
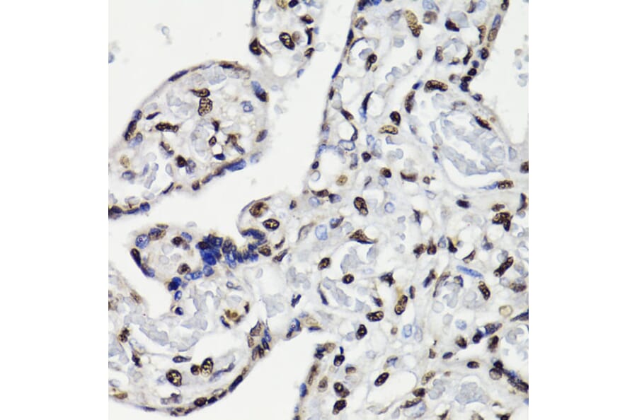
Immunohistochemistry analysis of paraffin-embedded human placenta using Anti-STAT5 (phospho Tyr694) Antibody (A91399) at a dilution of 1:200 (40x lens). Perform microwave antigen retrieval with 10 mM Tris/EDTA buffer pH 9.0 before commencing with IHC staining protocol.
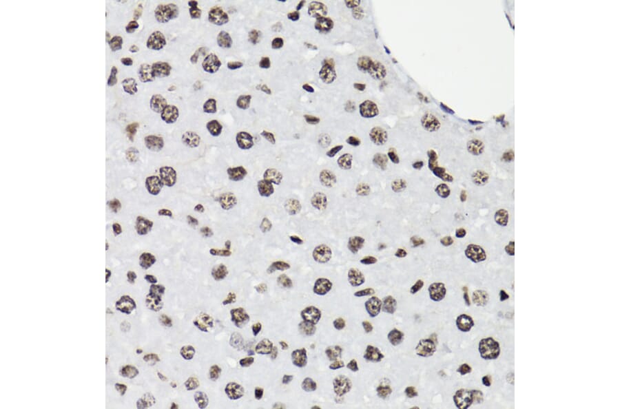
Immunohistochemistry analysis of paraffin-embedded mouse liver using Anti-STAT5 (phospho Tyr694) Antibody (A91399) at a dilution of 1:200 (40x lens). Perform microwave antigen retrieval with 10 mM Tris/EDTA buffer pH 9.0 before commencing with IHC staining protocol.