ISO 9001:2015 Certified
Live Customer Support
4.5/5 on Trustpilot
100% Quality Guarantee

Anti-STAT6 Antibody [STAT6/2410] - BSA and Azide free (A253247)

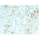
Mouse monoclonal [STAT6/2410] antibody to STAT6 for IHC-P.

Alternative Formats and ConjugatesAlternative Formats

Shipping Information

$40
Dispatched from St. Louis, MO.
Lead Time: 5-8 business days.
Name
Anti-STAT6 Antibody [STAT6/2410] - BSA and Azide free
Description
Mouse monoclonal [STAT6/2410] antibody to STAT6.
Specificity
STAT6 is a transcription factor in the Jak/STAT signal transduction pathway responsible for mediating IL-4 immune signaling. STAT6 was recently suggested to be a reliable marker to distinguish solitary fibrous tumors from other soft tissue neoplasms. Gene fusions are common in solitary fibrous tumors. Recent next generation sequencing studies demonstrated the presence of a NAB2-STAT6 fusion, formed by an intrachromosomal inversion fusing two neighboring genes on chromosome 12q13, in 55-100% of solitary fibrous tumors, regardless of tumor morphology or anatomical site. By immunohistochemistry, nuclear STAT6 expression can discriminate solitary fibrous tumors from its morphological mimics in the meninges, including meningioma, glioblastoma, gliosarcoma, haemangioblastoma, schwannoma and haemangioma. A recent study by Cheah, et al. using the rabbit monoclonal STAT6 antibody (Clone YE361) observed expression in all solitary fibrous tumors (54/54) tested, regardless of histology, anatomical site or CD34 status. Morphological mimics of solitary fibrous tumors were negative, demonstrating 100% specificity.
Applications
IHC-P
Dilutions
IHC-P: 1-2 µg/ml
Reactivity
Human
Immunogen
Recombinant full-length human STAT6 protein.
Host
Mouse
Clonality
Monoclonal
Clone ID
STAT6/2410
Isotype
IgG1
Light Chains
kappa
Conjugate

Unconjugated

Purification
Protein A/G chromatography.
Concentration
1 mg/ml
Molecular Weight
119 kDa
Product Form
Liquid
Formulation
Supplied in 10mM Phosphate Buffered Saline; without Sodium Azide and carrier free.
Storage
Shipped at 4°C. Upon delivery aliquot and store at -20°C. Avoid freeze / thaw cycles.
General Notes
This monoclonal antibody is also available in a different formulation with BSA and Sodium Azide - Anti-STAT6 Antibody [STAT6/2410] (A250067).
Synonyms
IL-4 Stat, Signal transducer and activator of transcription 6
Disclaimer
This product is for research use only. It is not intended for diagnostic or therapeutic use.
Publishing research using Anti-STAT6 Antibody [STAT6/2410] - BSA and Azide free (A253247)? Please let us know so that we can list the citation on this page.

Alternative products to Anti-STAT6 Antibody [STAT6/2410] - BSA and Azide free (A253247)

Proteins predicted to interact with STAT6

Predicted protein interactions based upon String database. Revelancy score correlates with probability of interaction.
99.9% Relevancy Score
99.7% Relevancy Score
99.7% Relevancy Score
99.6% Relevancy Score
99.1% Relevancy Score
99.1% Relevancy Score
99% Relevancy Score
98.7% Relevancy Score
97.5% Relevancy Score