Primary Antibodies
Secondary Antibodies
Proteins & Peptides
ELISA Kits
About Us
Contact Us
Sign In/Register
0
ISO 9001:2015 Certified
Live Customer Support
4.5/5 on Trustpilot
100% Quality Guarantee
Home
Primary Antibodies
STAT6 Antibodies
Anti-STAT6 (phospho Thr645) Antibody (A93483)
Anti-STAT6 (phospho Thr645) Antibody (A93483)
Overview
Specifications
Images
Enlarge Image
Enlarge Image
$200
Product Datasheet
Rabbit polyclonal antibody to STAT6 (phospho Thr645) for WB, IHC, IF, IP and ELISA.
100% Guarantee
Price Match Guarantee
Product Size:
10µg
100µg
Quantity:
1
2
3
4
5
6
7
8
9
10
Add To Cart
Request a Quotation
Custom or Bulk Request
Shipping Information
Freight/Packing Charges:
$40
Dispatched from St. Louis, MO.
Lead Time: 6-8 business days.
Specifications
Name
Anti-STAT6 (phospho Thr645) Antibody
Description
Rabbit polyclonal antibody to STAT6 (phospho Thr645).
Specificity
This antibody detects endogenous levels of STAT6 only when phosphorylated at Thr645.
Applications
WB
,
IHC
,
IF
,
IP
,
ELISA
Dilutions
WB: 1:500~1:1000, IHC: 1:50~1:100, ELISA: 1:10000
Reactivity
Human, Mouse, Rat
Cross Reactivity
No reported cross-reactivity.
Immunogen
Synthetic peptide derived from human STAT6 around the phosphorylation site of Thr645 (amino acids 612-661).
Host
Rabbit
Clonality
Polyclonal
Isotype
IgG
Conjugate
Unconjugated
Purification
Purified from rabbit serum by antigen affinity chromatography using the immunizing phospho peptide.
Molecular Weight
94kDa
Product Form
Liquid
Formulation
Supplied in Phosphate Buffered Saline (without Mg2+ and Ca2+), pH 7.4, with 150mM NaCl, 0.02% Sodium Azide, and 50% Glycerol.
Storage
Shipped at 4°C. Upon delivery aliquot and store at -20°C. Avoid freeze / thaw cycles.
Synonyms
IL-4 Stat, Signal transducer and activator of transcription 6
Isotype Controls
Rabbit IgG (A82272)
Rabbit IgG (A17360)
Suitable Secondaries
Goat Anti-Rabbit IgG H&L Antibody (AP) (A294874)
Goat Anti-Rabbit IgG H&L Antibody (Biotin) (A294795)
Goat Anti-Rabbit IgG H&L Antibody (FITC) (A294887)
Goat Anti-Rabbit IgG H&L Antibody (HRP) (A294888)
See all Anti-Rabbit IgG Secondaries →
Disclaimer
This product is for research use only. It is not intended for diagnostic or therapeutic use.
Scientific Validation Data
Validation Data
(2)
Enlarge Image
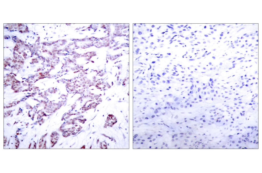
Immunohistochemistry - Anti-STAT6 (phospho Thr645) Antibody (A93483)
Immunohistochemical analysis of paraffin-embedded human breast carcinoma using Anti-STAT6 (phospho Thr645) Antibody. The right hand panel represents a negative control, where the antibody was pre-incubated with the immunising peptide.
Enlarge Image
Western Blot - Anti-STAT6 (phospho Thr645) Antibody (A93483)
Western blot analysis of various cells using Anti-STAT6 (phospho Thr645) Antibody.
Publishing research using Anti-STAT6 (phospho Thr645) Antibody (A93483)? Please
let us know
so that we can list the citation on this page.
Alternative products to Anti-STAT6 (phospho Thr645) Antibody (A93483)
(3)
A94162
Anti-STAT6 (phospho Tyr641) Antibody
Rabbit polyclonal antibody to STAT6 (phospho Tyr641) for WB, IHC, IF and ELISA.
(5)
A10952
Anti-STAT6 (phospho Tyr641) Antibody
Rabbit polyclonal antibody to STAT6 (phospho Tyr641) for WB and IHC.
(5)
A80451
Anti-STAT6 Antibody
Rabbit polyclonal antibody to STAT6 for WB and ICC/IF.
(3)
A54920
Anti-STAT6 Antibody
Chicken polyclonal antibody to STAT6 for ELISA, IHC, IP and WB.
(2)
A95774
Anti-STAT6 Antibody
Rabbit polyclonal antibody to STAT6 for WB, IHC, IF and ELISA.
(2)
A27464
Anti-Stat6 (phospho-T645) Antibody
Rabbit polyclonal antibody to Stat6 (phospho-T645) for WB, IHC and IP.
(2)
A50417
Anti-STAT6 (Phospho-Tyr641) Antibody
Rabbit polyclonal antibody to STAT6 (Phospho-Tyr641) for WB and IHC.
(2)
A25367
Anti-Stat6 (R639) Antibody
Rabbit polyclonal antibody to Stat6 (R639) for WB, IHC and IP.
(2)
A36421
Anti-STAT6 (Ab-641) Antibody
Rabbit polyclonal antibody to STAT6 (Ab-641) for WB and IHC.
(3)
A253247
Anti-STAT6 Antibody [STAT6/2410] - BSA and Azide free
Mouse monoclonal [STAT6/2410] antibody to STAT6 for IHC-P.
A27465
Anti-Stat6 (phospho-Y641) Antibody
Rabbit polyclonal antibody to Stat6 (phospho-Y641) for WB and IHC.
(3)
A250067
Anti-STAT6 Antibody [STAT6/2410]
Mouse monoclonal [STAT6/2410] antibody to STAT6 for IHC-P.
(3)
A94162
Anti-STAT6 (phospho Tyr641) Antibody
Rabbit polyclonal antibody to STAT6 (phospho Tyr641) for WB, IHC, IF and ELISA.
(5)
A10952
Anti-STAT6 (phospho Tyr641) Antibody
Rabbit polyclonal antibody to STAT6 (phospho Tyr641) for WB and IHC.
(5)
A80451
Anti-STAT6 Antibody
Rabbit polyclonal antibody to STAT6 for WB and ICC/IF.
(3)
A54920
Anti-STAT6 Antibody
Chicken polyclonal antibody to STAT6 for ELISA, IHC, IP and WB.
(2)
A95774
Anti-STAT6 Antibody
Rabbit polyclonal antibody to STAT6 for WB, IHC, IF and ELISA.
(2)
A27464
Anti-Stat6 (phospho-T645) Antibody
Rabbit polyclonal antibody to Stat6 (phospho-T645) for WB, IHC and IP.
(2)
A50417
Anti-STAT6 (Phospho-Tyr641) Antibody
Rabbit polyclonal antibody to STAT6 (Phospho-Tyr641) for WB and IHC.
(2)
A25367
Anti-Stat6 (R639) Antibody
Rabbit polyclonal antibody to Stat6 (R639) for WB, IHC and IP.
(2)
A36421
Anti-STAT6 (Ab-641) Antibody
Rabbit polyclonal antibody to STAT6 (Ab-641) for WB and IHC.
(3)
A253247
Anti-STAT6 Antibody [STAT6/2410] - BSA and Azide free
Mouse monoclonal [STAT6/2410] antibody to STAT6 for IHC-P.
A27465
Anti-Stat6 (phospho-Y641) Antibody
Rabbit polyclonal antibody to Stat6 (phospho-Y641) for WB and IHC.
(3)
A250067
Anti-STAT6 Antibody [STAT6/2410]
Mouse monoclonal [STAT6/2410] antibody to STAT6 for IHC-P.
See all STAT6 Antibodies
Proteins predicted to interact with STAT6
Predicted protein interactions based upon String database. Revelancy score correlates with probability of interaction.
IL-4R Antibodies
99.9% Relevancy Score
SRC 1 Antibodies
99.7% Relevancy Score
IL-4 Antibodies
99.7% Relevancy Score
JAK1 Antibodies
99.6% Relevancy Score
STAT2 Antibodies
99.1% Relevancy Score
JAK2 Antibodies
99.1% Relevancy Score
JAK3 Antibodies
99% Relevancy Score
IRF 9 Antibodies
98.7% Relevancy Score
IRF4 Antibodies
97.5% Relevancy Score
Top