Primary Antibodies
Secondary Antibodies
Proteins & Peptides
ELISA Kits
About Us
Contact Us
Sign In/Register
0
ISO 9001:2015 Certified
Live Customer Support
4.5/5 on Trustpilot
100% Quality Guarantee
Home
Primary Antibodies
STK35 Antibodies
Anti-STK35 Antibody (A46381)
Anti-STK35 Antibody (A46381)
Overview
Specifications
Images
Enlarge Image
$430
Rabbit polyclonal antibody to STK35 for IHC.
100% Guarantee
Price Match Guarantee
Product Size:
100µl
Quantity:
1
2
3
4
5
6
7
8
9
10
Add To Cart
Request a Quotation
Custom or Bulk Request
Shipping Information
Freight/Packing Charges:
$40
Dispatched from St. Louis, MO.
Lead Time: 6-9 business days.
Specifications
Name
Anti-STK35 Antibody
Description
Rabbit polyclonal antibody to STK35
Specificity
The antibody detects endogenous levels of total STK35 protein.
Applications
IHC
Reactivity
Human
Immunogen
Synthetic peptide corresponding to residues near the C terminal of human serine / threonine kinase 35
Host
Rabbit
Clonality
Polyclonal
Conjugate
Unconjugated
Purification
Antigen affinity purification.
Concentration
2.9mg / ml
Formulation
Rabbit IgG in pH7.4 PBS, 0.05% NaN3, 40% Glycerol.
Storage
Store at -20˚C
Synonyms
CLIK-1, CLIK1, CLP-36-interacting kinase 1, PDIK1, PDLIM1-interacting kinase 1, Serine/threonine-protein kinase 35, Serine/threonine-protein kinase 35 L1, STK35L1
Suitable Secondaries
Goat Anti-Rabbit IgG H&L Antibody (AP) (A294874)
Goat Anti-Rabbit IgG H&L Antibody (Biotin) (A294795)
Goat Anti-Rabbit IgG H&L Antibody (FITC) (A294887)
Goat Anti-Rabbit IgG H&L Antibody (HRP) (A294888)
See all Anti-Rabbit IgG Secondaries →
Disclaimer
This product is for research use only. It is not intended for diagnostic or therapeutic use.
Scientific Validation Data
Validation Data
(1)
Enlarge Image
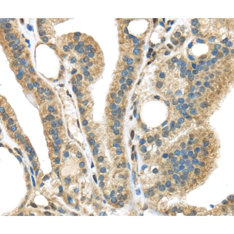
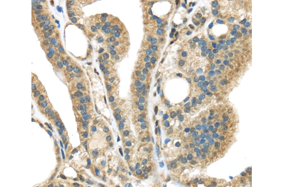
Immunohistochemistry - Anti-STK35 Antibody (A46381)
Immunohistochemical analysis of paraffin-embedded Human thyroid cancer tissue using #40376 at dilution 1/45.
Publishing research using Anti-STK35 Antibody (A46381)? Please
let us know
so that we can list the citation on this page.
Alternative products to Anti-STK35 Antibody (A46381)
(5)
A84004
Anti-STK35 Antibody
Goat polyclonal antibody to STK35 for ELISA, WB, IHC, IF and Flow Cytometry.
A308510
Anti-STK35 Antibody
Rabbit polyclonal antibody to STK35 for WB.
(5)
A84004
Anti-STK35 Antibody
Goat polyclonal antibody to STK35 for ELISA, WB, IHC, IF and Flow Cytometry.
A308510
Anti-STK35 Antibody
Rabbit polyclonal antibody to STK35 for WB.
Proteins predicted to interact with STK35
Predicted protein interactions based upon String database. Revelancy score correlates with probability of interaction.
PDLIM1 Antibodies
95.7% Relevancy Score
ATG3 Antibodies
72.8% Relevancy Score
VPS15 Antibodies
72.7% Relevancy Score
ATG5 Antibodies
70.4% Relevancy Score
ATG12 Antibodies
70.3% Relevancy Score
VPS34 Antibodies
70.2% Relevancy Score
CDC37L1 Antibodies
65.8% Relevancy Score
alpha Actinin Antibodies
62.8% Relevancy Score
ATG9A Antibodies
62.1% Relevancy Score
Top