ISO 9001:2015 Certified
Live Customer Support
4.5/5 on Trustpilot
100% Quality Guarantee

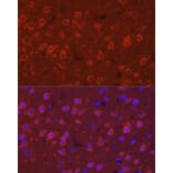
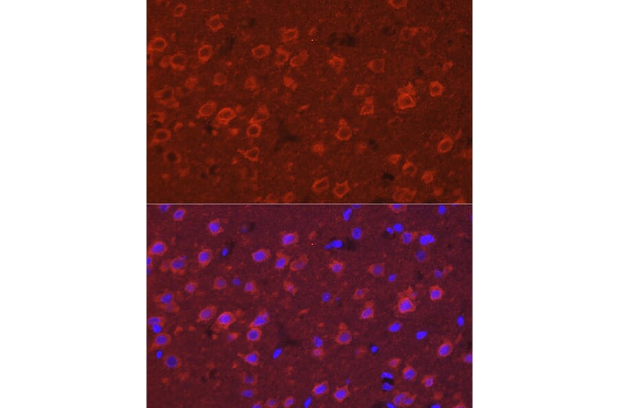
Anti-SYT11 Antibody (A16111)

Rabbit polyclonal antibody to SYT11 for WB and ICC/IF.

Shipping Information

$40
Dispatched from St. Louis, MO.
Lead Time: 7-10 business days.
Name
Anti-SYT11 Antibody
Description
Rabbit polyclonal antibody to SYT11.
Applications
WB, ICC/IF
Dilutions
WB: 1:500-1:1,000, ICC/IF: 1:50-1:200
Reactivity
Human, Mouse, Rat
Immunogen
Recombinant fusion protein containing a sequence corresponding to amino acids 37-200 of human SYT11 (NP_689493.3).
Sequence
WSCCHQQAEKKQKNPPYKFIHMLKGISIYPETLSNKKKIIKVRRDKDGPGREGGRRNLLVDAAEAGLLSRDKDPRGPSSGSCIDQLPIKMDYGEELRSPITSLTPGESKTTSPSSPEEDVMLGSLTFSVDYNFPKKALVVTIQEAHGLPVMDDQTQGSDPYIKM
Host
Rabbit
Clonality
Polyclonal
Isotype
IgG
Conjugate

Unconjugated

Purification
Affinity purification.
Concentration
Lot Specific
Molecular Weight
48 kDa
Product Form
Liquid
Formulation
Supplied in Phosphate Buffered Saline, pH 7.3, with 50% Glycerol and 0.05% Proclin 300.
Storage
Shipped at 4°C. Upon delivery aliquot and store at -20°C. Avoid freeze/thaw cycles.
Synonyms
KIAA0080, Synaptotagmin XI, Synaptotagmin-11, SytXI
Disclaimer
This product is for research use only. It is not intended for diagnostic or therapeutic use.
Publishing research using Anti-SYT11 Antibody (A16111)? Please let us know so that we can list the citation on this page.

Alternative products to Anti-SYT11 Antibody (A16111)

Proteins predicted to interact with SYT11

Predicted protein interactions based upon String database. Revelancy score correlates with probability of interaction.
91.7% Relevancy Score
84.1% Relevancy Score
76.5% Relevancy Score
70.6% Relevancy Score
68% Relevancy Score
67.7% Relevancy Score
66.4% Relevancy Score
66.2% Relevancy Score
65.9% Relevancy Score