Primary Antibodies
Secondary Antibodies
Proteins & Peptides
ELISA Kits
About Us
Contact Us
Sign In/Register
0
ISO 9001:2015 Certified
Live Customer Support
4.5/5 on Trustpilot
100% Quality Guarantee
Home
Primary Antibodies
Synaptotagmin Antibodies
Anti-SYT4 Antibody (A38690)
Anti-SYT4 Antibody (A38690)
Overview
Specifications
Images
Enlarge Image
Enlarge Image
$430
Rabbit polyclonal antibody to SYT4 for WB and IHC.
100% Guarantee
Price Match Guarantee
Product Size:
100µl
Quantity:
1
2
3
4
5
6
7
8
9
10
Add To Cart
Request a Quotation
Custom or Bulk Request
Shipping Information
Freight/Packing Charges:
$40
Dispatched from St. Louis, MO.
Lead Time: 6-9 business days.
Tags:
Pan Neuronal Marker
Synaptic Marker
Specifications
Name
Anti-SYT4 Antibody
Description
Rabbit polyclonal antibody to SYT4
Specificity
The antibody detects endogenous levels of total SYT4 protein.
Applications
WB
,
IHC
Reactivity
Human
Immunogen
Fusion protein corresponding to a region derived from internal residues of human synaptotagmin IV
Host
Rabbit
Clonality
Polyclonal
Conjugate
Unconjugated
Purification
Antigen affinity purification.
Concentration
2.8mg / ml
Formulation
Rabbit IgG in pH7.3 PBS, 0.05% NaN3, 50% Glycerol.
Storage
Store at -20˚C
Synonyms
KIAA1342, Synaptotagmin II, Synaptotagmin III, Synaptotagmin IV, Synaptotagmin V, Synaptotagmin-2, Synaptotagmin-3, Synaptotagmin-4, Synaptotagmin-5, SYT2, SYT3, SYT5, SytII, SytIII, SytIV, SytV
Suitable Secondaries
Goat Anti-Rabbit IgG H&L Antibody (AP) (A294874)
Goat Anti-Rabbit IgG H&L Antibody (Biotin) (A294795)
Goat Anti-Rabbit IgG H&L Antibody (FITC) (A294887)
Goat Anti-Rabbit IgG H&L Antibody (HRP) (A294888)
See all Anti-Rabbit IgG Secondaries →
Disclaimer
This product is for research use only. It is not intended for diagnostic or therapeutic use.
Scientific Validation Data
Validation Data
(2)
Enlarge Image
Anti-SYT4 Antibody (A38690)
Gel: 8% SDS-PAGE Lysates (from left to right): Hela and Jurkat cell Amount of lysate: 40ug per lane Primary antibody: 1/700 dilution Secondary antibody dilution: 1/8000 Exposure time: 20 seconds
Enlarge Image
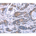
Immunohistochemistry - Anti-SYT4 Antibody (A38690)
Immunohistochemical analysis of paraffin-embedded Human colon cancer tissue using #35935 at dilution 1/60.
Publishing research using Anti-SYT4 Antibody (A38690)? Please
let us know
so that we can list the citation on this page.
Alternative products to Anti-SYT4 Antibody (A38690)
(4)
A15863
Anti-Synaptotagmin Antibody
Rabbit polyclonal antibody to Synaptotagmin for WB, IHC and ICC/IF.
(3)
A12750
Anti-Synaptotagmin Antibody
Rabbit polyclonal antibody to Synaptotagmin for WB and ICC/IF.
(2)
A25372
Anti-Synaptotagmin (T196) Antibody
Rabbit polyclonal antibody to Synaptotagmin (T196) for WB and IHC.
(2)
A25373
Anti-Synaptotagmin (M303) Antibody
Rabbit polyclonal antibody to Synaptotagmin (M303) for WB and IHC.
A36119
Anti-Synaptotagmin Antibody
Rabbit polyclonal antibody to Synaptotagmin for WB, IHC and ELISA.
(2)
A50356
Anti-Synaptotagmin (Phospho-Thr202) Antibody
Rabbit polyclonal antibody to Synaptotagmin (Phospho-Thr202) for WB and IHC.
A83626
Anti-SYT2 Antibody
Goat polyclonal antibody to SYT2 for ELISA and WB.
(2)
A38691
Anti-SYT5 Antibody
Rabbit polyclonal antibody to SYT5 for WB and IHC.
A309002
Anti-Synaptotagmin Antibody
Rabbit polyclonal antibody to Synaptotagmin for WB.
A43922
Anti-SYT2 Antibody
Rabbit polyclonal antibody to SYT2 for WB.
(2)
A46730
Anti-SYT3 Antibody
Rabbit polyclonal antibody to SYT3 for IHC.
A85051
Anti-Synaptotagmin V Antibody
Goat polyclonal antibody to Synaptotagmin V for ELISA and WB.
(4)
A15863
Anti-Synaptotagmin Antibody
Rabbit polyclonal antibody to Synaptotagmin for WB, IHC and ICC/IF.
(3)
A12750
Anti-Synaptotagmin Antibody
Rabbit polyclonal antibody to Synaptotagmin for WB and ICC/IF.
(2)
A25372
Anti-Synaptotagmin (T196) Antibody
Rabbit polyclonal antibody to Synaptotagmin (T196) for WB and IHC.
(2)
A25373
Anti-Synaptotagmin (M303) Antibody
Rabbit polyclonal antibody to Synaptotagmin (M303) for WB and IHC.
A36119
Anti-Synaptotagmin Antibody
Rabbit polyclonal antibody to Synaptotagmin for WB, IHC and ELISA.
(2)
A50356
Anti-Synaptotagmin (Phospho-Thr202) Antibody
Rabbit polyclonal antibody to Synaptotagmin (Phospho-Thr202) for WB and IHC.
A83626
Anti-SYT2 Antibody
Goat polyclonal antibody to SYT2 for ELISA and WB.
(2)
A38691
Anti-SYT5 Antibody
Rabbit polyclonal antibody to SYT5 for WB and IHC.
A309002
Anti-Synaptotagmin Antibody
Rabbit polyclonal antibody to Synaptotagmin for WB.
A43922
Anti-SYT2 Antibody
Rabbit polyclonal antibody to SYT2 for WB.
(2)
A46730
Anti-SYT3 Antibody
Rabbit polyclonal antibody to SYT3 for IHC.
A85051
Anti-Synaptotagmin V Antibody
Goat polyclonal antibody to Synaptotagmin V for ELISA and WB.
See all SYT4 Antibodies
Proteins predicted to interact with Synaptotagmin
Predicted protein interactions based upon String database. Revelancy score correlates with probability of interaction.
SNAP25 Antibodies
88.4% Relevancy Score
VAMP2 Antibodies
87.8% Relevancy Score
Syntaxin 1A Antibodies
87.6% Relevancy Score
Synaptotagmin 1 Antibodies
67.9% Relevancy Score
Munc18-1 Antibodies
65.9% Relevancy Score
ATP6V1C2 Antibodies
61.5% Relevancy Score
Insulin Antibodies
54.3% Relevancy Score
IP3 Receptor Antibodies
53.6% Relevancy Score
ITPR3 Antibodies
52.2% Relevancy Score
Top