ISO 9001:2015 Certified
Live Customer Support
4.5/5 on Trustpilot
100% Quality Guarantee

Anti-TAPA1 Antibody [1.3.3.22] - BSA and Azide free (A253982)

Mouse monoclonal [1.3.3.22] antibody to TAPA1 for Functional Studies, Flow Cytometry, IF, WB and IHC-P.

Alternative Formats and ConjugatesAlternative Formats

Shipping Information

$40
Dispatched from St. Louis, MO.
Lead Time: 5-8 business days.
Name
Anti-TAPA1 Antibody [1.3.3.22] - BSA and Azide free
Description
Mouse monoclonal [1.3.3.22] antibody to TAPA1.
Specificity
This antibody recognizes a protein of 26kDa, identified as CD81 (Workshop VI; Code CD81.1)). CD81 has a very broad cellular distribution, being expressed on T- and B-lymphocytes, NK cells, thymocytes, eosinophils, fibroblasts, epithelial and endothelial cells. Neutrophils, erythrocytes and platelets are negative, while monocytes are variably positive. CD81 is a member of a family of tetraspans transmembrane proteins, including CD9, CD37, CD53, CD63, and CD82. It associates with CD19, CD21, Leu 13, and integrins on cell membrane and is involved in signal transduction in B lymphocyte development and cell adhesion. CD81 also acts as a receptor for the envelope protein E2 of chronic hepatitis C virus. Antibodies to CD81 have anti-proliferative effects on different lymphoid cell lines, particularly those derived from large cell lymphomas.
Applications
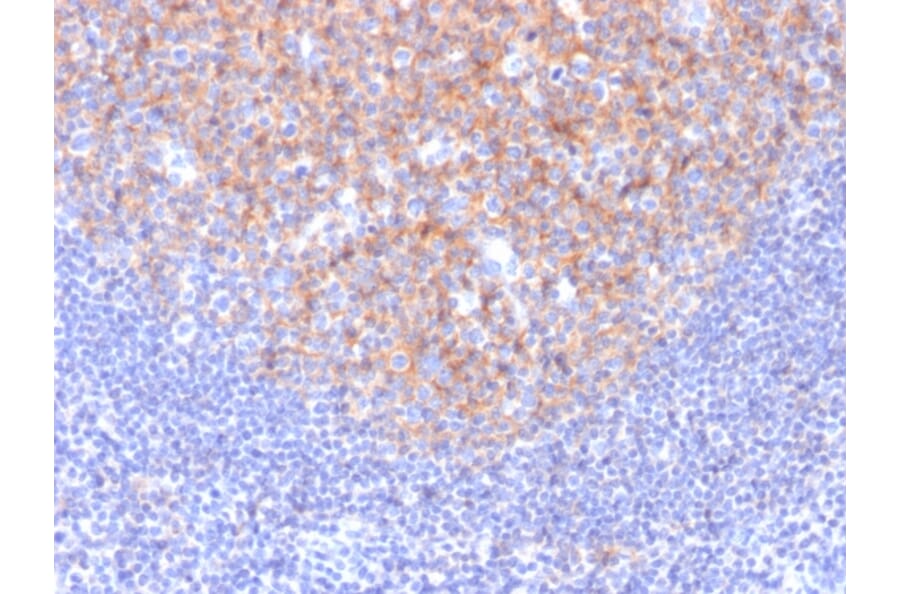
Functional Studies, Flow Cytometry, IF, WB, IHC-P
Dilutions
Flow Cytometry: 1-2 µg/million cells, IF: 1-2 µg/ml, WB: 1-2 µg/ml, IHC-P: 2-4 µg/ml
Reactivity
Human, Mouse, Rat
Immunogen
Recombinant full-length human CD81 protein.
Host
Mouse
Clonality
Monoclonal
Clone ID
1.3.3.22
Isotype
IgG1
Light Chains
kappa
Conjugate

Unconjugated

Purification
Protein A/G chromatography.
Concentration
1 mg/ml
Molecular Weight
26 kDa
Product Form
Liquid
Formulation
Supplied in 10mM Phosphate Buffered Saline; without Sodium Azide and carrier free.
Storage
Shipped at 4°C. Upon delivery aliquot and store at -20°C. Avoid freeze / thaw cycles.
General Notes
This monoclonal antibody is also available in a different formulation with BSA and Sodium Azide - Anti-TAPA1 Antibody [1.3.3.22] (A250802).
Synonyms
26 kDa cell surface protein TAPA-1, CD81 antigen, Target of the antiproliferative antibody 1, Tetraspanin-28, Tspan-28, TSPAN28
Disclaimer
This product is for research use only. It is not intended for diagnostic or therapeutic use.
Publishing research using Anti-TAPA1 Antibody [1.3.3.22] - BSA and Azide free (A253982)? Please let us know so that we can list the citation on this page.

Alternative products to Anti-TAPA1 Antibody [1.3.3.22] - BSA and Azide free (A253982)

Proteins predicted to interact with CD81

Predicted protein interactions based upon String database. Revelancy score correlates with probability of interaction.
99.9% Relevancy Score
99.9% Relevancy Score
99.9% Relevancy Score
99.8% Relevancy Score
99.8% Relevancy Score
99.7% Relevancy Score
99.7% Relevancy Score
99.7% Relevancy Score
99.5% Relevancy Score