Primary Antibodies
Secondary Antibodies
Proteins & Peptides
ELISA Kits
About Us
Contact Us
Sign In/Register
0
ISO 9001:2015 Certified
Live Customer Support
4.5/5 on Trustpilot
100% Quality Guarantee
Home
Primary Antibodies
ATTY Antibodies
Anti-TAT Antibody (A47188)
Anti-TAT Antibody (A47188)
Overview
Specifications
Images
Enlarge Image
Enlarge Image
$430
Product Datasheet
Rabbit polyclonal antibody to TAT for IHC.
100% Guarantee
Price Match Guarantee
Product Size:
100µl
Quantity:
1
2
3
4
5
6
7
8
9
10
Add To Cart
Request a Quotation
Custom or Bulk Request
Shipping Information
Freight/Packing Charges:
$40
Dispatched from St. Louis, MO.
Lead Time: 6-9 business days.
Specifications
Name
Anti-TAT Antibody
Description
Rabbit polyclonal antibody to TAT
Specificity
The antibody detects endogenous levels of total TAT protein.
Applications
IHC
Reactivity
Human
Immunogen
Fusion protein corresponding to residues near the C terminal of human tyrosine aminotransferase
Host
Rabbit
Clonality
Polyclonal
Conjugate
Unconjugated
Purification
Antigen affinity purification.
Concentration
1.1 mg/mL
Formulation
Supplied in PBS, pH 7.3, containing 0.05% sodium azide and 50% glycerol.
Storage
Shipped at 4°C. Upon delivery aliquot and store at -20°C. Avoid freeze/thaw cycles.
Synonyms
L-tyrosine:2-oxoglutarate aminotransferase, Tyrosine aminotransferase
Suitable Secondaries
Goat Anti-Rabbit IgG H&L Antibody (AP) (A294874)
Goat Anti-Rabbit IgG H&L Antibody (Biotin) (A294795)
Goat Anti-Rabbit IgG H&L Antibody (FITC) (A294887)
Goat Anti-Rabbit IgG H&L Antibody (HRP) (A294888)
See all Anti-Rabbit IgG Secondaries →
Disclaimer
This product is for research use only. It is not intended for diagnostic or therapeutic use.
Scientific Validation Data
Validation Data
(2)
Enlarge Image
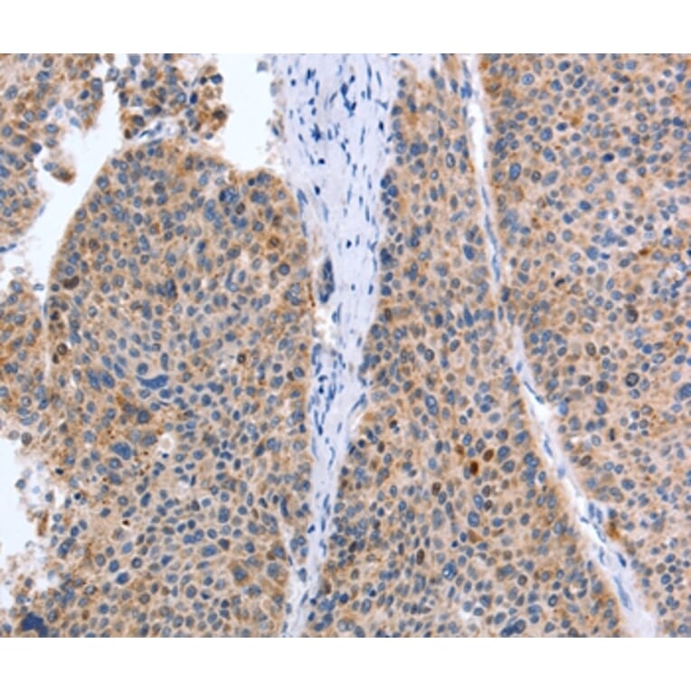
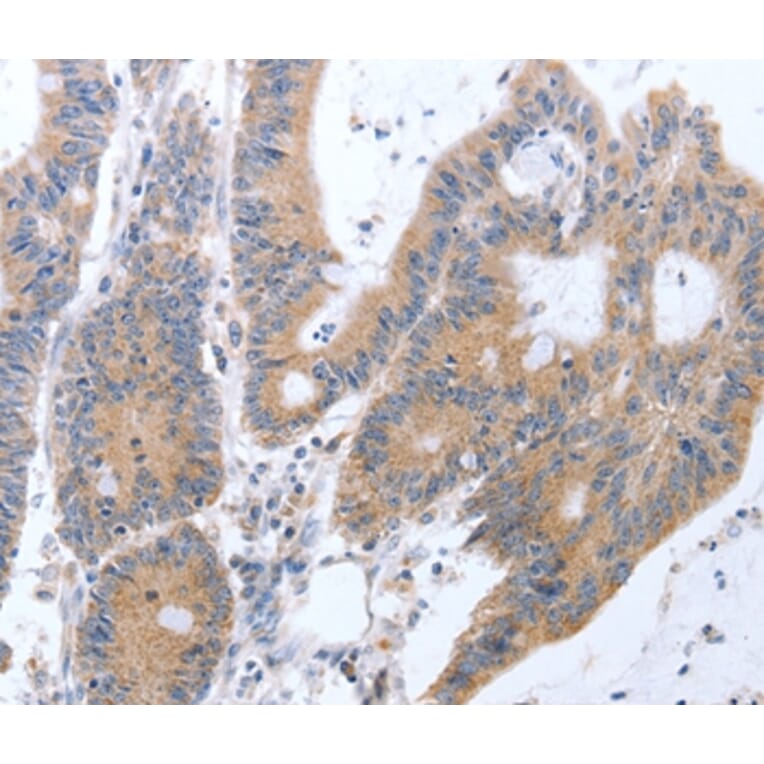
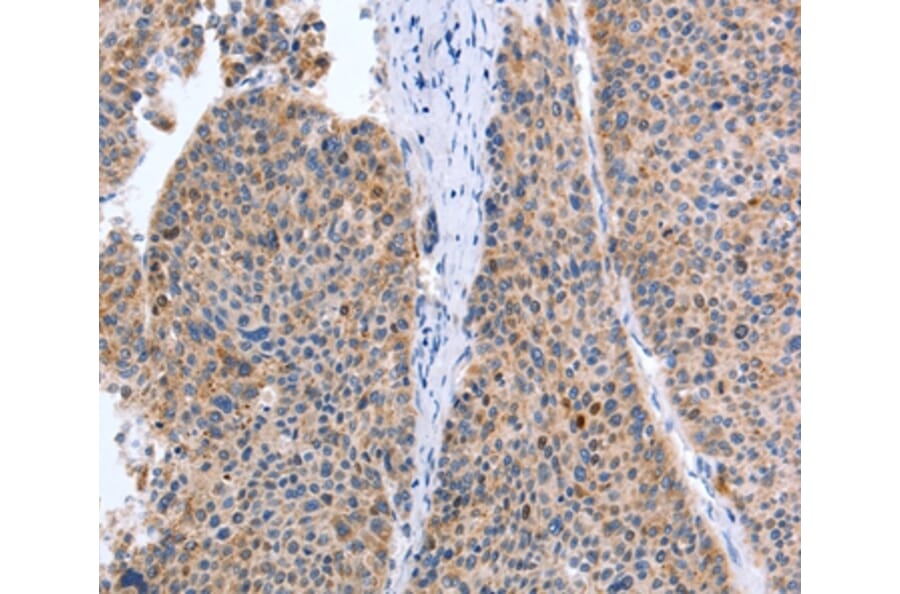
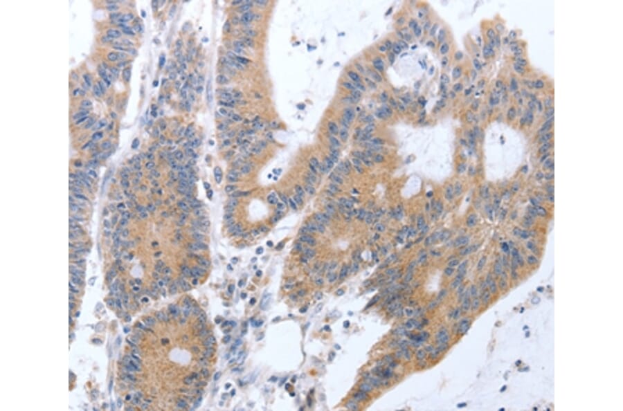
Immunohistochemistry - Anti-TAT Antibody (A47188)
Immunohistochemical analysis of paraffin-embedded Human colon cancer tissue using #35946 at dilution 1/35.
Enlarge Image
Immunohistochemistry - Anti-TAT Antibody (A47188)
Immunohistochemical analysis of paraffin-embedded Human liver cancer tissue using #35946 at dilution 1/35.
Publishing research using Anti-TAT Antibody (A47188)? Please
let us know
so that we can list the citation on this page.
Alternative products to Anti-TAT Antibody (A47188)
(2)
A26950
Anti-TAT (E304) Antibody
Rabbit polyclonal antibody to TAT (E304) for WB and IHC.
A98309
Anti-TAT Antibody
Rabbit polyclonal antibody to TAT for IHC, IF and ELISA.
(2)
A40145
Anti-TAT Antibody
Rabbit polyclonal antibody to TAT for WB.
A9991
Anti-ATTY Antibody
Rabbit polyclonal antibody to ATTY for WB.
(2)
A26950
Anti-TAT (E304) Antibody
Rabbit polyclonal antibody to TAT (E304) for WB and IHC.
A98309
Anti-TAT Antibody
Rabbit polyclonal antibody to TAT for IHC, IF and ELISA.
(2)
A40145
Anti-TAT Antibody
Rabbit polyclonal antibody to TAT for WB.
A9991
Anti-ATTY Antibody
Rabbit polyclonal antibody to ATTY for WB.
Proteins predicted to interact with ATTY
Predicted protein interactions based upon String database. Revelancy score correlates with probability of interaction.
HPD Antibodies
99.8% Relevancy Score
GOT2 Antibodies
98.4% Relevancy Score
PAH Antibodies
96.7% Relevancy Score
GOT1 Antibodies
96.4% Relevancy Score
ADI1 Antibodies
95.6% Relevancy Score
MAT1A Antibodies
95.2% Relevancy Score
MAT2A Antibodies
94.5% Relevancy Score
BHMT2 Antibodies
93.8% Relevancy Score
BHMT Antibodies
93.6% Relevancy Score
Top