ISO 9001:2015 Certified
Live Customer Support
4.5/5 on Trustpilot
100% Quality Guarantee

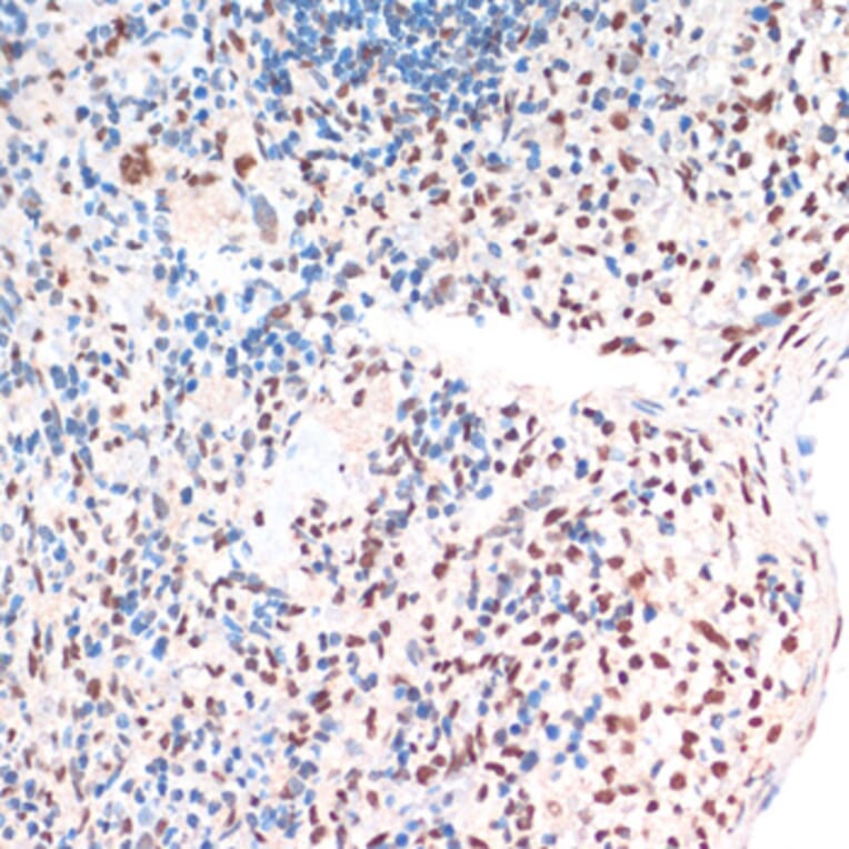
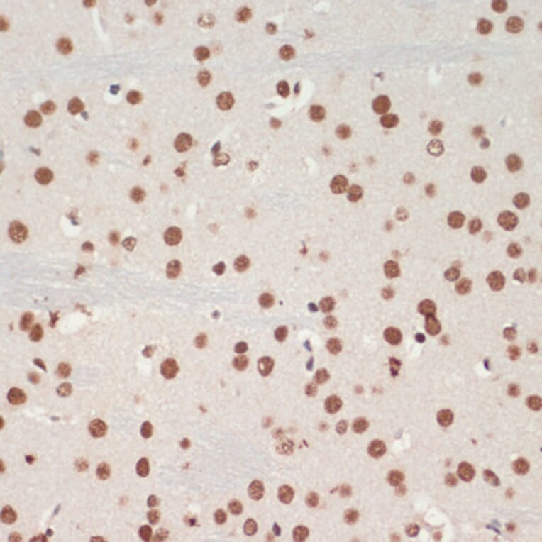
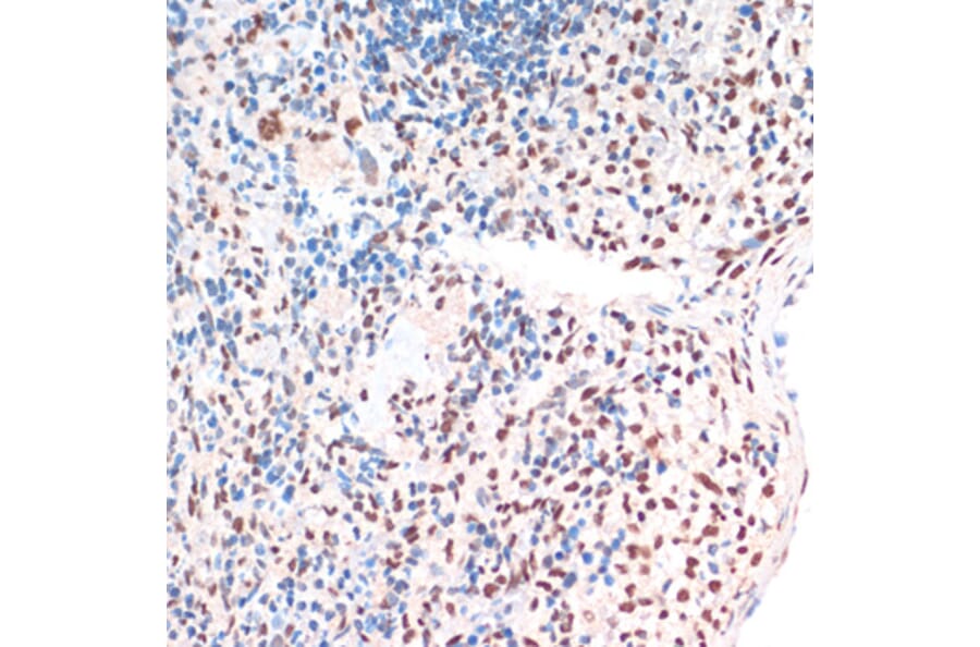
Anti-TDP43 Antibody (A92740)

This product is discontinued

Anti-TDP43 Antibody (A92740) has been discontinued and is no longer available.

View all TDP43 Antibodies.

Name
Anti-TDP43 Antibody
Description
Rabbit polyclonal antibody to TDP43.
Applications
WB, IHC, ICC/IF
Dilutions
WB: 1:500-1:2,000, IHC: 1:50-1:200, ICC/IF: 1:50-1:200
Reactivity
Human, Mouse, Rat
Immunogen
Recombinant fusion protein containing a sequence corresponding to amino acids 1-260 of human TDP-43/TARDB (NP_031401.1).
Sequence
MSEYIRVTEDENDEPIEIPSEDDGTVLLSTVTAQFPGACGLRYRNPVSQCMRGVRLVEGILHAPDAGWGNLVYVVNYPKDNKRKMDETDASSAVKVKRAVQKTSDLIVLGLPWKTTEQDLKEYFSTFGEVLMVQVKKDLKTGHSKGFGFVRFTEYETQVKVMSQRHMIDGRWCDCKLPNSKQSQDEPLRSRKVFVGRCTEDMTEDELREFFSQYGDVMDVFIPKPFRAFAFVTFADDQIAQSLCGEDLIIKGISVHISNA
Host
Rabbit
Clonality
Polyclonal
Isotype
IgG
Conjugate

Unconjugated

Purification
Affinity purification.
Product Form
Liquid
Formulation
Supplied in Phosphate Buffered Saline, pH 7.3, with 50% Glycerol and 0.02% Sodium Azide.
Storage
Shipped at 4°C. Upon delivery aliquot and store at -20°C. Avoid freeze / thaw cycles.
Synonyms
TAR DNA-binding protein 43, TARDBP, TDP-43
Disclaimer
This product is for research use only. It is not intended for diagnostic or therapeutic use.

Most popular Anti-TDP43 Antibodies

Alternative products to Anti-TDP43 Antibody (A92740)

Proteins predicted to interact with TDP43

Predicted protein interactions based upon String database. Revelancy score correlates with probability of interaction.
99.9% Relevancy Score
99.8% Relevancy Score
99.7% Relevancy Score
99.5% Relevancy Score
99.4% Relevancy Score
99.2% Relevancy Score
99.2% Relevancy Score
98.9% Relevancy Score
98.4% Relevancy Score