ISO 9001:2015 Certified
Live Customer Support
4.5/5 on Trustpilot
100% Quality Guarantee

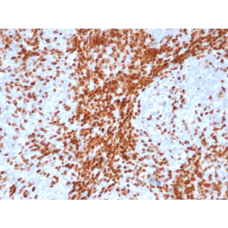
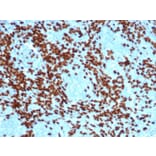
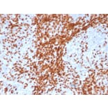
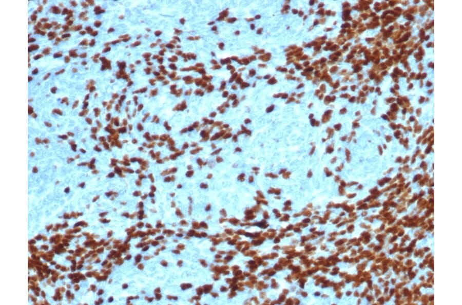
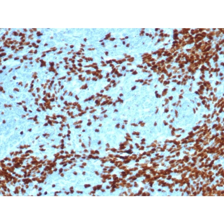
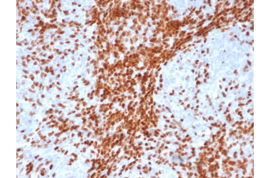
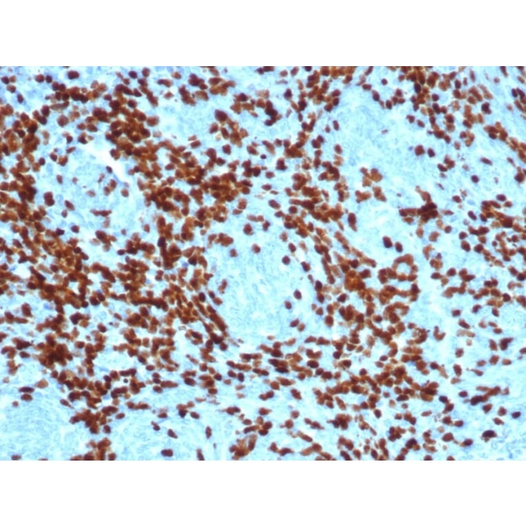
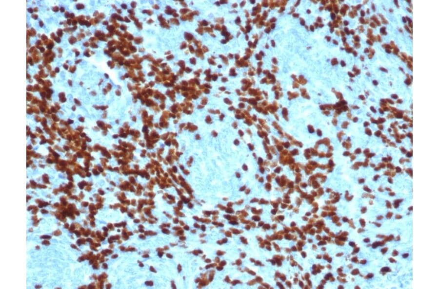
Recombinant Anti-TdT Antibody [DNTT/4617R] (A277973)

Recombinant rabbit monoclonal [DNTT/4617R] antibody to TdT for IHC-P.

Alternative Formats and ConjugatesAlternative Formats

Shipping Information

$40
Dispatched from St. Louis, MO.
Lead Time: 5-8 business days.
Name
Anti-TdT Antibody [DNTT/4617R]
Description
Recombinant rabbit monoclonal [DNTT/4617R] antibody to TdT.
Specificity
Terminal deoxynucleotidyl transferase (TdT) is an unusual deoxynucleotide polymerizing enzyme with a molecular weight of about 58 kDa found normally only in B- and T-cell lymphoblasts/prelymphocytes. TdT generates antigen receptor diversity by synthesizing non-germ line elements (N-regions) at the junctions of rearranged Ig heavy chain and T cell receptor gene segments. Rare TdT-positive cells are regularly detected in thymus and bone marrow. Typically, TdT expression in the thymus is very variable from cell to cell since it is rapidly decreased in more mature T-cells. TdT-positive cells may occasionally be found in tonsils, lymph nodes and extranodal lymphoid tissue. Immunohistochemical detection of TdT has value in classification of malignant lymphomas and acute leukemias, particularly for the identification of pre-B and pre-T acute lymphoblastic leukemia/lymphoblastic lymphoma (ALL/LBL).
Applications
IHC-P
Dilutions
IHC-P: 1-2 µg/ml
Reactivity
Human
Immunogen
Recombinant fragment, around amino acids 52-192, of human TdT protein. The exact sequence is proprietary.
Host
Rabbit
Clonality
Monoclonal
Clone ID
DNTT/4617R
Isotype
IgG
Light Chains
kappa
Conjugate

Unconjugated

Purification
Protein A/G chromatography.
Concentration
200 µg/ml
Molecular Weight
58 kDa
Product Form
Liquid
Formulation
Supplied in 10mM Phosphate Buffered Saline with 0.05% BSA and 0.05% Sodium Azide.
Storage
Shipped at 4°C. Upon delivery aliquot and store at -20°C. Avoid freeze / thaw cycles.
General Notes
This monoclonal antibody is also available in a different formulation without BSA and Sodium Azide - Anti-TdT Antibody [DNTT/4617R] - BSA and Azide free (A278561).
Synonyms
DNA nucleotidylexotransferase, DNTT, Terminal addition enzyme, Terminal deoxynucleotidyltransferase, Terminal transferase
Disclaimer
This product is for research use only. It is not intended for diagnostic or therapeutic use.
Publishing research using Recombinant Anti-TdT Antibody [DNTT/4617R] (A277973)? Please let us know so that we can list the citation on this page.

Alternative products to Anti-TdT Antibody [DNTT/4617R] (A277973)

Proteins predicted to interact with TdT

Predicted protein interactions based upon String database. Revelancy score correlates with probability of interaction.
88.2% Relevancy Score
87.5% Relevancy Score
84% Relevancy Score
82.7% Relevancy Score
80.8% Relevancy Score
78.6% Relevancy Score
77.9% Relevancy Score
77.7% Relevancy Score
77.6% Relevancy Score