Primary Antibodies
Secondary Antibodies
Proteins & Peptides
ELISA Kits
About Us
Contact Us
Sign In/Register
0
ISO 9001:2015 Certified
Live Customer Support
4.5/5 on Trustpilot
100% Quality Guarantee
Home
Primary Antibodies
TFAM Antibodies
Anti-TFAM Antibody (A35503)
Anti-TFAM Antibody (A35503)
Overview
Specifications
Images
Enlarge Image
Enlarge Image
Enlarge Image
Enlarge Image
$390
Rabbit polyclonal antibody to TFAM for WB, IHC and IF.
100% Guarantee
Price Match Guarantee
Product Size:
50µl
100µl
Quantity:
1
2
3
4
5
6
7
8
9
10
Add To Cart
Request a Quotation
Custom or Bulk Request
Shipping Information
Freight/Packing Charges:
$40
Dispatched from St. Louis, MO.
Lead Time: 6-9 business days.
Specifications
Name
Anti-TFAM Antibody
Description
Rabbit polyclonal antibody to TFAM
Specificity
The antibody detects endogenous level of total TFAM protein.
Applications
WB
,
IHC
,
IF
Reactivity
Human
Immunogen
Recombinant protein of human TFAM.
Host
Rabbit
Clonality
Polyclonal
Conjugate
Unconjugated
Purification
Antibodies were purified by affinity purification using immunogen.
Concentration
1 mg/ml
Formulation
Supplied at 1.0mg / mL in phosphate buffered saline (without Mg2+ and Ca2+), pH 7.4, 150mM NaCl, 0.02% sodium azide and 50% glycerol.
Storage
Store at -20˚C
Synonyms
Mitochondrial transcription factor 1, MtTF1, mtTFA, TCF-6, TCF6, TCF6L2, Transcription factor 6, Transcription factor 6-like 2, Transcription factor A, mitochondrial
Suitable Secondaries
Goat Anti-Rabbit IgG H&L Antibody (AP) (A294874)
Goat Anti-Rabbit IgG H&L Antibody (Biotin) (A294795)
Goat Anti-Rabbit IgG H&L Antibody (FITC) (A294887)
Goat Anti-Rabbit IgG H&L Antibody (HRP) (A294888)
See all Anti-Rabbit IgG Secondaries →
Disclaimer
This product is for research use only. It is not intended for diagnostic or therapeutic use.
Scientific Validation Data
Validation Data
(4)
Enlarge Image
Anti-TFAM Antibody (A35503)
Western blot analysis of extracts of various cell lines, using TFAM antibody.
Enlarge Image
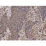
Immunohistochemistry - Anti-TFAM Antibody (A35503)
Immunohistochemical analysis of paraffin-embedded human oesophageal cancer using TFAM antibody at dilution of 1: 100 (200x lens).
Enlarge Image
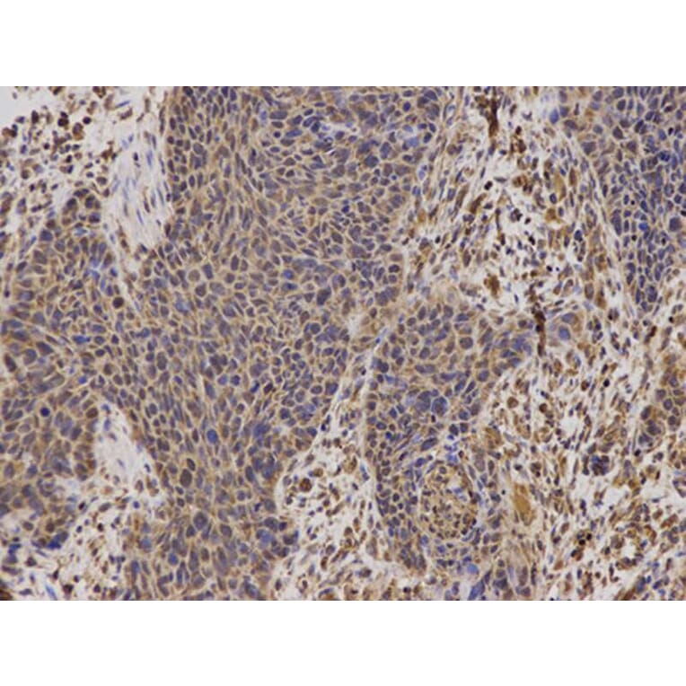
Immunohistochemistry - Anti-TFAM Antibody (A35503)
Immunohistochemical analysis of paraffin-embedded human oesophagus using TFAM antibody at dilution of 1: 100 (200x lens).
Enlarge Image
Immunofluorescence - Anti-TFAM Antibody (A35503)
Immunofluorescence analysis of U2OS cell using TFAM antibody. Blue: DAPI for nuclear staining.
Publishing research using Anti-TFAM Antibody (A35503)? Please
let us know
so that we can list the citation on this page.
Alternative products to Anti-TFAM Antibody (A35503)
(6)
A88862
Anti-mtTFA Antibody
Rabbit polyclonal antibody to mtTFA for WB, IHC, ICC/IF, IP and ChIP.
(3)
A14389
Anti-mtTFA Antibody [ARC51776]
Rabbit monoclonal [ARC51776] antibody to mtTFA for WB, IHC, ICC/IF, IP and ChIP.
(3)
A30520
Anti-TFAM Antibody
Rabbit polyclonal antibody to TFAM for WB, IHC and IF.
(3)
A99849
Anti-TFAM Antibody
Rabbit polyclonal antibody to TFAM for IHC, IF and ELISA.
(3)
A11492
Anti-mtTFA Antibody
Rabbit polyclonal antibody to mtTFA for WB and ICC/IF.
A29278
Anti-TFAM Antibody
Rabbit polyclonal antibody to TFAM for WB.
(2)
A38964
Anti-TFAM Antibody
Rabbit polyclonal antibody to TFAM for WB and IHC.
(2)
A44610
Anti-TFAM Antibody
Rabbit polyclonal antibody to TFAM for IHC and IF.
(6)
A88862
Anti-mtTFA Antibody
Rabbit polyclonal antibody to mtTFA for WB, IHC, ICC/IF, IP and ChIP.
(3)
A14389
Anti-mtTFA Antibody [ARC51776]
Rabbit monoclonal [ARC51776] antibody to mtTFA for WB, IHC, ICC/IF, IP and ChIP.
(3)
A30520
Anti-TFAM Antibody
Rabbit polyclonal antibody to TFAM for WB, IHC and IF.
(3)
A99849
Anti-TFAM Antibody
Rabbit polyclonal antibody to TFAM for IHC, IF and ELISA.
(3)
A11492
Anti-mtTFA Antibody
Rabbit polyclonal antibody to mtTFA for WB and ICC/IF.
A29278
Anti-TFAM Antibody
Rabbit polyclonal antibody to TFAM for WB.
(2)
A38964
Anti-TFAM Antibody
Rabbit polyclonal antibody to TFAM for WB and IHC.
(2)
A44610
Anti-TFAM Antibody
Rabbit polyclonal antibody to TFAM for IHC and IF.
See all TFAM Antibodies
Proteins predicted to interact with TFAM
Predicted protein interactions based upon String database. Revelancy score correlates with probability of interaction.
mtRNA Polymerase Antibodies
99.9% Relevancy Score
TFB2M Antibodies
99.9% Relevancy Score
TFB1M Antibodies
99.6% Relevancy Score
PGC1 alpha Antibodies
98.8% Relevancy Score
Nrf1 Antibodies
98.7% Relevancy Score
GABPB2 Antibodies
96.5% Relevancy Score
p53 Antibodies
95.9% Relevancy Score
SSBP1 Antibodies
95.8% Relevancy Score
DNA Polymerase gamma Antibodies
95.1% Relevancy Score
Top