ISO 9001:2015 Certified
Live Customer Support
4.5/5 on Trustpilot
100% Quality Guarantee

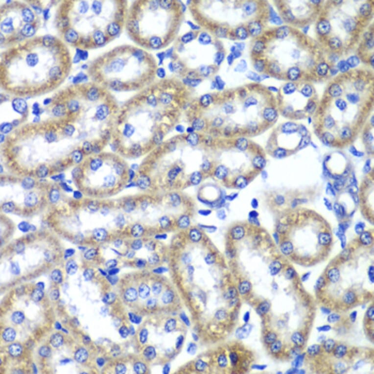
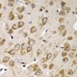
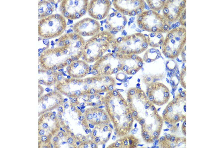
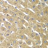
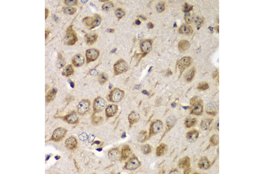
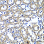
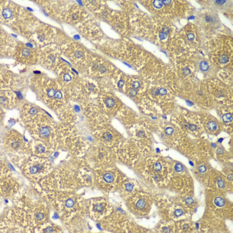
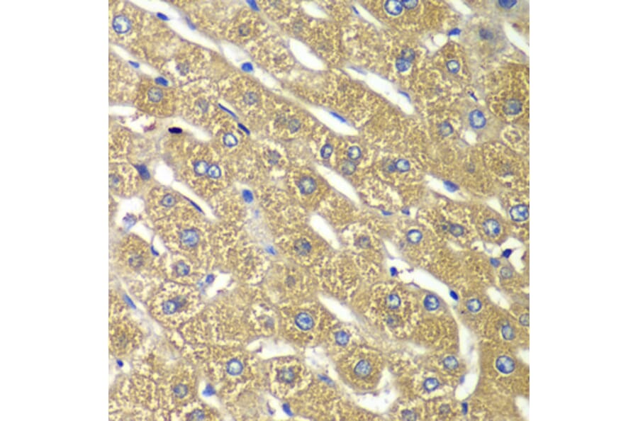
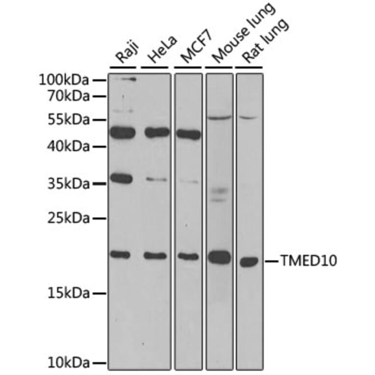
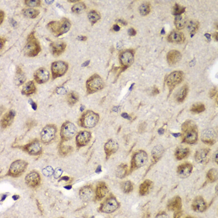
Anti-TMP21 Antibody (A306204)

This product is discontinued

Anti-TMP21 Antibody (A306204) has been discontinued and is no longer available.

View all TMP21 Antibodies.

Name
Anti-TMP21 Antibody
Description
Rabbit polyclonal antibody to TMP21.
Applications
WB, IHC, ICC/IF
Dilutions
WB: 1:500-1:2,000, ICC/IF: 1:50-1:200, IHC: 1:50-1:200
Reactivity
Human
Immunogen
Recombinant fusion protein containing a sequence corresponding to amino acids 35-190 of human TMED10 (NP_006818.3).
Sequence
HLPINSRKCLREEIHKDLLVTGAYEISDQSGGAGGLRSHLKITDSAGHILYSKEDATKGKFAFTTEDYDMFEVCFESKGTGRIPDQLVILDMKHGVEAKNYEEIAKVEKLKPLEVELRRLEDLSESIVNDFAYMKKREEEMRDTNESTNTRVLYFS
Host
Rabbit
Clonality
Polyclonal
Isotype
IgG
Conjugate

Unconjugated

Purification
Affinity purification.
Product Form
Liquid
Formulation
Supplied in Phosphate Buffered Saline, pH 7.3, with 50% Glycerol and 0.02% Sodium Azide.
Storage
Shipped at 4°C. Upon delivery aliquot and store at -20°C. Avoid freeze / thaw cycles.
Synonyms
21 kDa transmembrane-trafficking protein, Protein TMED10, S31I125, S31III125, TMED10, Tmp-21-I, Transmembrane emp24 domain-containing protein 10, Transmembrane protein Tmp21
Disclaimer
This product is for research use only. It is not intended for diagnostic or therapeutic use.

Alternative products to Anti-TMP21 Antibody (A306204)

Proteins predicted to interact with TMP21

Predicted protein interactions based upon String database. Revelancy score correlates with probability of interaction.
99.9% Relevancy Score
99.9% Relevancy Score
99.7% Relevancy Score
99.6% Relevancy Score
99.3% Relevancy Score
99.2% Relevancy Score
98% Relevancy Score
98% Relevancy Score
93.2% Relevancy Score