TNF alpha expression in THP-1 cell lysates analyzed by western blot. Cells were treated with PMA/TPA (80 nM) at 37°C overnight and LPS (1 µg/ml) at 37°C for 6 hours. Primary antibody incubation was performed for 1 hour on 25ug protein per lane with Anti-TNF alpha Antibody (A80560) at a dilution of 1:1000 and detected with chemiluminescence.
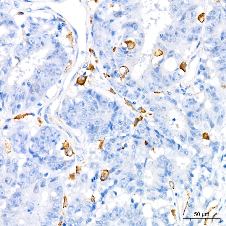
TNF alpha expression in human colon carcinoma tissue analyzed by immunohistochemistry. Tissue was paraffin-embedded, and antigen retrieval was achieved with 10 mM citrate buffer, pH 6.0, under high pressure. Staining was performed with Anti-TNF alpha Antibody (A80560) at a dilution of 1:1000.
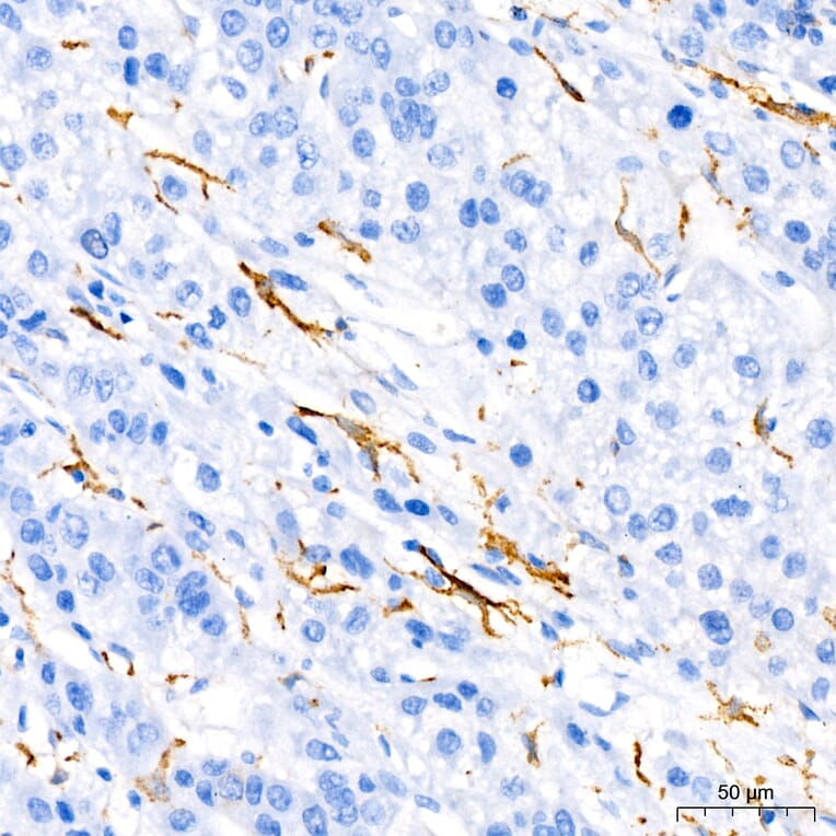
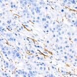
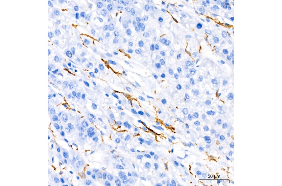
TNF alpha expression in human liver tissue analyzed by immunohistochemistry. Tissue was paraffin-embedded, and antigen retrieval was achieved with 10 mM citrate buffer, pH 6.0, under high pressure. Staining was performed with Anti-TNF alpha Antibody (A80560) at a dilution of 1:1000.
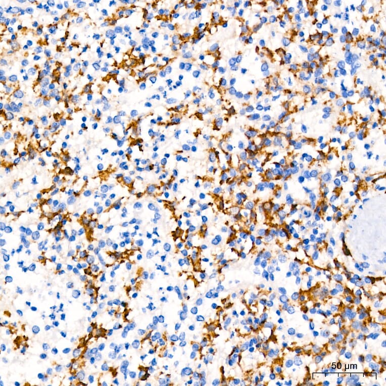
TNF alpha expression in human spleen tissue analyzed by immunohistochemistry. Tissue was paraffin-embedded, and antigen retrieval was achieved with 10 mM citrate buffer, pH 6.0, under high pressure. Staining was performed with Anti-TNF alpha Antibody (A80560) at a dilution of 1:1000.
TNF alpha expression in L929 cells analyzed by immunofluorescence. Staining was performed with Anti-TNF alpha Antibody (A80560) at a dilution of 1:100 followed by Cy3-conjugated Goat anti-Rabbit IgG (H+L) secondary antibody at a dilution of 1:500. Nuclei were stained with DAPI (blue).
Recombinant human monoclonal antibody to TNF alpha for use as a research grade Adalimumab biosimilar for ELISA, Flow Cytometry, Functional Studies and in vivo Research.
Recombinant mouse monoclonal antibody to TNF alpha for use as a research grade Afelimomab biosimilar for ELISA, Flow Cytometry, Functional Studies and in vivo Research.
Recombinant human monoclonal antibody to TNF alpha for use as a research grade Adalimumab biosimilar for ELISA, Flow Cytometry, Functional Studies and in vivo Research.
Recombinant mouse monoclonal antibody to TNF alpha for use as a research grade Afelimomab biosimilar for ELISA, Flow Cytometry, Functional Studies and in vivo Research.