ISO 9001:2015 Certified
Live Customer Support
4.5/5 on Trustpilot
100% Quality Guarantee

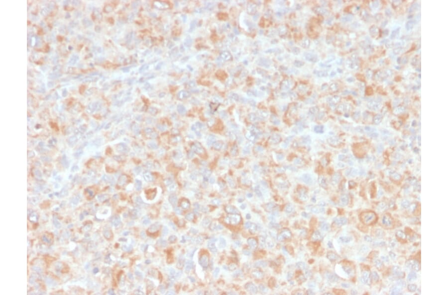
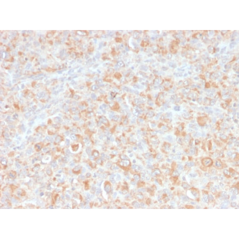
Anti-TNF alpha Antibody [SPM543] - BSA and Azide free (A254348)

Mouse monoclonal [SPM543] antibody to TNF alpha for Flow Cytometry, IF and IHC-P.

Alternative Formats and ConjugatesAlternative Formats

Shipping Information

$40
Dispatched from St. Louis, MO.
Lead Time: 5-8 business days.
Name
Anti-TNF alpha Antibody [SPM543] - BSA and Azide free
Description
Mouse monoclonal [SPM543] antibody to TNF alpha.
Specificity
Tumor Necrosis Factor Alpha (TNF alpha) is a protein secreted by lipopolysaccharide-stimulated macrophages, and causes tumor necrosis when injected into tumor bearing mice. TNF alpha is believed to mediate pathogenic shock and tissue injury associated with endotoxemia. TNF alpha exists as a multimer of two, three, or five non-covalently linked units, but shows a single 17kDa band following SDS PAGE under non-reducing conditions. TNF alpha is closely related to the 25kDa protein Tumor Necrosis Factor beta (lymphotoxin), sharing the same receptors and cellular actions. TNF alpha causes cytolysis of certain transformed cells, being synergistic with interferon gamma in its cytotoxicity. Although it has little effect on many cultured normal human cells, TNF alpha appears to be directly toxic to vascular endothelial cells. Other actions of TNF alpha include stimulating growth of human fibroblasts and other cell lines, activating polymorphonuclear neutrophils and osteoclasts, and induction of interleukin 1, prostaglandin E2 and collagenase production. TNF alpha is currently being evaluated in treatment of certain cancers and AIDS Related Complex.
Applications
Flow Cytometry, IF, IHC-P
Dilutions
Flow Cytometry: 1-2 µg/million cells, IF: 1-2 µg/ml, IHC-P: 1-2 µg/ml
Reactivity
Human, Mouse, Rat, Rabbit, Feline, Canine, Zebrafish
Immunogen
A hexadecapeptide corresponding to amino acids 115-130 of human TNF alpha, conjugated to thyroglobulin.
Sequence
NGVELRDNQLVVPSEG
Host
Mouse
Clonality
Monoclonal
Clone ID
SPM543
Isotype
IgM
Light Chains
kappa
Conjugate

Unconjugated

Concentration
1 mg/ml
Product Form
Liquid
Formulation
Supplied in 10mM Phosphate Buffered Saline; without Sodium Azide and carrier free.
Storage
Shipped at 4°C. Upon delivery aliquot and store at -20°C. Avoid freeze / thaw cycles.
General Notes
This monoclonal antibody is also available in a different formulation with BSA and Sodium Azide - Anti-TNF alpha Antibody [SPM543] (A251071).
Synonyms
Cachectin, TNF, TNF-a, TNF-alpha, TNFA, TNFSF2, Tumor necrosis factor, Tumor necrosis factor ligand superfamily member 2
Isotype Controls
Disclaimer
This product is for research use only. It is not intended for diagnostic or therapeutic use.
Publishing research using Anti-TNF alpha Antibody [SPM543] - BSA and Azide free (A254348)? Please let us know so that we can list the citation on this page.

Most popular Anti-TNF alpha Antibodies

Alternative products to Anti-TNF alpha Antibody [SPM543] - BSA and Azide free (A254348)

Proteins predicted to interact with TNF alpha

Predicted protein interactions based upon String database. Revelancy score correlates with probability of interaction.
99.9% Relevancy Score
99.9% Relevancy Score
99.9% Relevancy Score
99.9% Relevancy Score
99.9% Relevancy Score
99.9% Relevancy Score
99.9% Relevancy Score
99.9% Relevancy Score
99.9% Relevancy Score