Primary Antibodies
Secondary Antibodies
Proteins & Peptides
ELISA Kits
About Us
Contact Us
Sign In/Register
0
ISO 9001:2015 Certified
Live Customer Support
4.5/5 on Trustpilot
100% Quality Guarantee
Home
Primary Antibodies
TOP1MT Antibodies
Anti-TOP1MT Antibody (A45153)
Anti-TOP1MT Antibody (A45153)
Overview
Specifications
Images
Enlarge Image
Enlarge Image
$430
Product Datasheet
Rabbit polyclonal antibody to TOP1MT for IHC.
100% Guarantee
Price Match Guarantee
Product Size:
100µl
Quantity:
1
2
3
4
5
6
7
8
9
10
Add To Cart
Request a Quotation
Custom or Bulk Request
Shipping Information
Freight/Packing Charges:
$40
Dispatched from St. Louis, MO.
Lead Time: 6-9 business days.
Specifications
Name
Anti-TOP1MT Antibody
Description
Rabbit polyclonal antibody to TOP1MT
Specificity
The antibody detects endogenous levels of total TOP1MT protein.
Applications
IHC
Reactivity
Human
Immunogen
Synthetic peptide corresponding to a region derived from internal residues of human topoisomerase (DNA) I, mitochondrial
Host
Rabbit
Clonality
Polyclonal
Conjugate
Unconjugated
Purification
Antigen affinity purification.
Concentration
0.5 mg/mL
Formulation
Supplied in PBS, pH 7.3, containing 0.05% sodium azide and 50% glycerol.
Storage
Shipped at 4°C. Upon delivery aliquot and store at -20°C. Avoid freeze/thaw cycles.
Synonyms
DNA topoisomerase I, mitochondrial
Suitable Secondaries
Goat Anti-Rabbit IgG H&L Antibody (AP) (A294874)
Goat Anti-Rabbit IgG H&L Antibody (Biotin) (A294795)
Goat Anti-Rabbit IgG H&L Antibody (FITC) (A294887)
Goat Anti-Rabbit IgG H&L Antibody (HRP) (A294888)
See all Anti-Rabbit IgG Secondaries →
Disclaimer
This product is for research use only. It is not intended for diagnostic or therapeutic use.
Scientific Validation Data
Validation Data
(2)
Enlarge Image
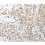
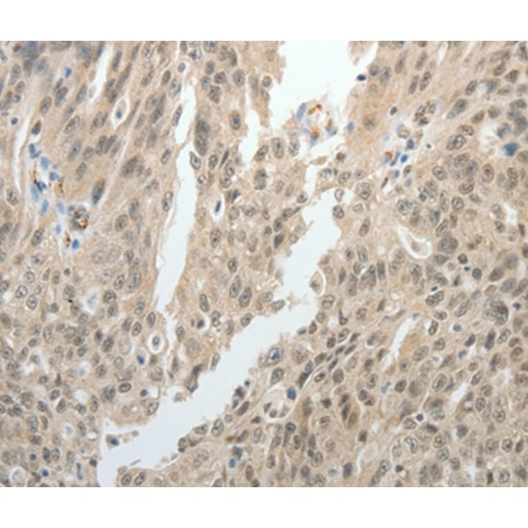
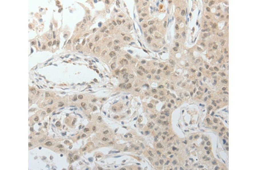
Immunohistochemistry - Anti-TOP1MT Antibody (A45153)
Immunohistochemical analysis of paraffin-embedded Human ovarian cancer tissue using #37052 at dilution 1/15.
Enlarge Image
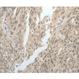
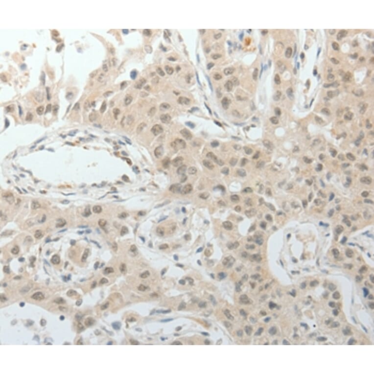
Immunohistochemistry - Anti-TOP1MT Antibody (A45153)
Immunohistochemical analysis of paraffin-embedded Human lung cancer tissue using #37052 at dilution 1/15.
Publishing research using Anti-TOP1MT Antibody (A45153)? Please
let us know
so that we can list the citation on this page.
Alternative products to Anti-TOP1MT Antibody (A45153)
(6)
A248221
Anti-TOP1MT Antibody [TOP1MT/488]
Mouse monoclonal [TOP1MT/488] antibody to TOP1MT for Flow Cytometry, IF, WB and IHC-P.
(6)
A251404
Anti-TOP1MT Antibody [TOP1MT/488] - BSA and Azide free
Mouse monoclonal [TOP1MT/488] antibody to TOP1MT for Flow Cytometry, IF, WB and IHC-P.
(5)
A248223
Anti-TOP1MT Antibody [TOP1MT/613]
Mouse monoclonal [TOP1MT/613] antibody to TOP1MT for WB and IHC-P.
(5)
A251406
Anti-TOP1MT Antibody [TOP1MT/613] - BSA and Azide free
Mouse monoclonal [TOP1MT/613] antibody to TOP1MT for WB and IHC-P.
(2)
A278468
Anti-TOP1MT Antibody [rTOP1MT/488] - BSA and Azide free
Recombinant mouse monoclonal [rTOP1MT/488] antibody to TOP1MT for Flow Cytometry, IF, WB and IHC-P.
(3)
A90996
Anti-TOP1MT Antibody
Rabbit polyclonal antibody to TOP1MT for WB and IHC.
(2)
A277880
Anti-TOP1MT Antibody [rTOP1MT/488]
Recombinant mouse monoclonal [rTOP1MT/488] antibody to TOP1MT for Flow Cytometry, IF, WB and IHC-P.
(3)
A248222
Anti-TOP1MT Antibody [TOP1MT/568]
Mouse monoclonal [TOP1MT/568] antibody to TOP1MT for IHC-P.
(3)
A251405
Anti-TOP1MT Antibody [TOP1MT/568] - BSA and Azide free
Mouse monoclonal [TOP1MT/568] antibody to TOP1MT for IHC-P.
(2)
A251407
Anti-TOP1MT Antibody [TOP1MT/2883R] - BSA and Azide free
Recombinant rabbit monoclonal [TOP1MT/2883R] antibody to TOP1MT for IHC-P.
(2)
A248224
Anti-TOP1MT Antibody [TOP1MT/2883R]
Recombinant rabbit monoclonal [TOP1MT/2883R] antibody to TOP1MT for IHC-P.
(6)
A248221
Anti-TOP1MT Antibody [TOP1MT/488]
Mouse monoclonal [TOP1MT/488] antibody to TOP1MT for Flow Cytometry, IF, WB and IHC-P.
(6)
A251404
Anti-TOP1MT Antibody [TOP1MT/488] - BSA and Azide free
Mouse monoclonal [TOP1MT/488] antibody to TOP1MT for Flow Cytometry, IF, WB and IHC-P.
(5)
A248223
Anti-TOP1MT Antibody [TOP1MT/613]
Mouse monoclonal [TOP1MT/613] antibody to TOP1MT for WB and IHC-P.
(5)
A251406
Anti-TOP1MT Antibody [TOP1MT/613] - BSA and Azide free
Mouse monoclonal [TOP1MT/613] antibody to TOP1MT for WB and IHC-P.
(2)
A278468
Anti-TOP1MT Antibody [rTOP1MT/488] - BSA and Azide free
Recombinant mouse monoclonal [rTOP1MT/488] antibody to TOP1MT for Flow Cytometry, IF, WB and IHC-P.
(3)
A90996
Anti-TOP1MT Antibody
Rabbit polyclonal antibody to TOP1MT for WB and IHC.
(2)
A277880
Anti-TOP1MT Antibody [rTOP1MT/488]
Recombinant mouse monoclonal [rTOP1MT/488] antibody to TOP1MT for Flow Cytometry, IF, WB and IHC-P.
(3)
A248222
Anti-TOP1MT Antibody [TOP1MT/568]
Mouse monoclonal [TOP1MT/568] antibody to TOP1MT for IHC-P.
(3)
A251405
Anti-TOP1MT Antibody [TOP1MT/568] - BSA and Azide free
Mouse monoclonal [TOP1MT/568] antibody to TOP1MT for IHC-P.
(2)
A251407
Anti-TOP1MT Antibody [TOP1MT/2883R] - BSA and Azide free
Recombinant rabbit monoclonal [TOP1MT/2883R] antibody to TOP1MT for IHC-P.
(2)
A248224
Anti-TOP1MT Antibody [TOP1MT/2883R]
Recombinant rabbit monoclonal [TOP1MT/2883R] antibody to TOP1MT for IHC-P.
See all TOP1MT Antibodies
Proteins predicted to interact with TOP1MT
Predicted protein interactions based upon String database. Revelancy score correlates with probability of interaction.
TOP2B Antibodies
97.3% Relevancy Score
TOP2A Antibodies
96.4% Relevancy Score
TDP1 Antibodies
88.6% Relevancy Score
p53 Antibodies
87.3% Relevancy Score
WRN Antibodies
81.8% Relevancy Score
BLAP75 Antibodies
72.1% Relevancy Score
EXO1 Antibodies
71.7% Relevancy Score
RECQL4 Antibodies
70.2% Relevancy Score
mtRNA Polymerase Antibodies
69.7% Relevancy Score
Top