ISO 9001:2015 Certified
Live Customer Support
4.5/5 on Trustpilot
100% Quality Guarantee

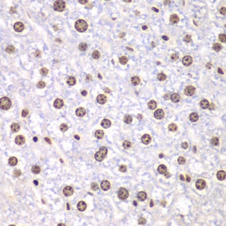
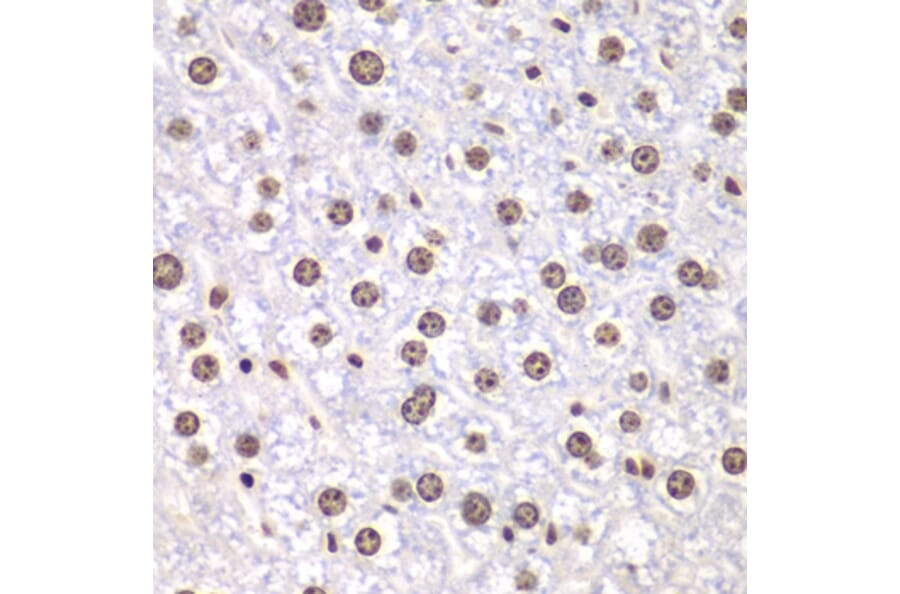
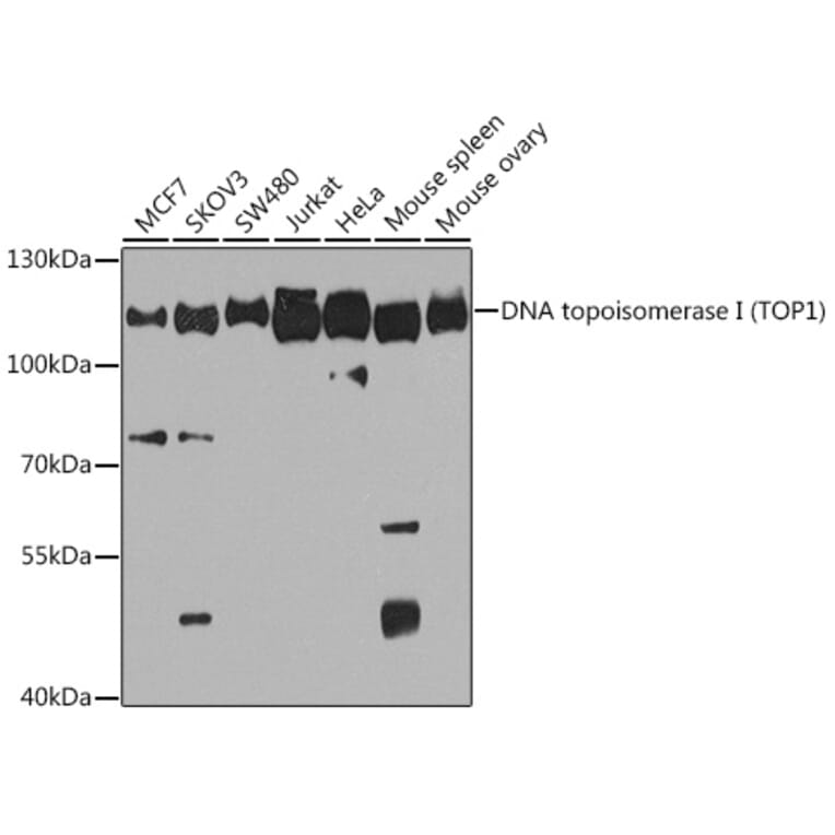
Anti-Topoisomerase I Antibody (A88019)

Rabbit polyclonal antibody to Topoisomerase I for WB, IHC and IP.

Shipping Information

$40
Dispatched from St. Louis, MO.
Lead Time: 7-10 business days.
Name
Anti-Topoisomerase I Antibody
Description
Rabbit polyclonal antibody to Topoisomerase I.
Applications
WB, IHC, IP
Dilutions
WB: 1:500-1:2,000, IHC: 1:50-1:200, IP: 1:20-1:50
Reactivity
Human, Mouse
Immunogen
A synthetic peptide corresponding to a sequence within amino acids 1-100 of human DNA topoisomerase I (DNA topoisomerase I (TOP1)) (NP_003277.1).
Sequence
MSGDHLHNDSQIEADFRLNDSHKHKDKHKDREHRHKEHKKEKDREKSKHSNSEHKDSEKKHKEKEKTKHKDGSSEKHKDKHKDRDKEKRKEEKVRASGDA
Host
Rabbit
Clonality
Polyclonal
Isotype
IgG
Conjugate

Unconjugated

Purification
Affinity purification.
Concentration
Lot Specific
Molecular Weight
120 kDa
Product Form
Liquid
Formulation
Supplied in Phosphate Buffered Saline, pH 7.3, with 50% Glycerol and 0.02% Sodium Azide.
Storage
Shipped at 4°C. Upon delivery aliquot and store at -20°C. Avoid freeze/thaw cycles.
Synonyms
DNA topoisomerase 1, DNA topoisomerase I, NUP98 fusion gene, TOP 1, TOP I, TOP1, TOP1_HUMAN, TOPI, Topoisomerase (DNA) I, Topoisomerase 1, Topoisomerase1, TopoisomeraseI, Type I DNA topoisomerase
Disclaimer
This product is for research use only. It is not intended for diagnostic or therapeutic use.
Publishing research using Anti-Topoisomerase I Antibody (A88019)? Please let us know so that we can list the citation on this page.

Alternative products to Anti-Topoisomerase I Antibody (A88019)