Supplied in Phosphate Buffered Saline, pH 7.3, with 50% Glycerol, 0.05% BSA, and 0.02% Sodium Azide.
Storage
Shipped at 4°C. Upon delivery aliquot and store at -20°C. Avoid freeze/thaw cycles.
Synonyms
DNA topoisomerase 1, DNA topoisomerase I, NUP98 fusion gene, TOP 1, TOP I, TOP1, TOP1_HUMAN, TOPI, Topoisomerase (DNA) I, Topoisomerase 1, Topoisomerase1, TopoisomeraseI, Type I DNA topoisomerase
This product is for research use only. It is not intended for diagnostic or therapeutic use.
Scientific Validation DataValidation Data (7)
Enlarge Image
Western Blot - Anti-Topoisomerase I Antibody [ARC0708] (A307759)
Western blot analysis of extracts of various cell lines, using Anti-Topoisomerase I Antibody (A307759) at 1:1,000 dilution. The secondary antibody was Goat Anti-Rabbit IgG H&L Antibody (HRP) at 1:10,000 dilution. Lysates/proteins were present at 25µg per lane. The blocking buffer used was 3% non-fat dry milk in TBST. Detection was with a ECL Basic Kit. Exposure time: 1s.
Enlarge Image
Western Blot - Anti-Topoisomerase I Antibody [ARC0708] (A307759)
Western blot analysis of extracts of Mouse thymus, using Anti-Topoisomerase I Antibody (A307759) at 1:1,000 dilution. The secondary antibody was Goat Anti-Rabbit IgG H&L Antibody (HRP) at 1:10,000 dilution. Lysates/proteins were present at 25µg per lane. The blocking buffer used was 3% non-fat dry milk in TBST. Detection was with a ECL Basic Kit. Exposure time: 5s.
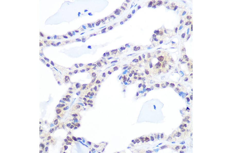
Enlarge Image
Immunohistochemistry - Anti-Topoisomerase I Antibody [ARC0708] (A307759)
Immunohistochemistry analysis of paraffin-embedded human thyroid cancer using Anti-Topoisomerase I Antibody (A307759) at a dilution of 1:100 (40x lens). Perform microwave antigen retrieval with 10 mM PBS buffer pH 7.2 before commencing with IHC staining protocol.
Enlarge Image
Immunofluorescence - Anti-Topoisomerase I Antibody [ARC0708] (A307759)
Immunofluorescence analysis of C6 cells using Anti-Topoisomerase I Antibody (A307759) at a dilution of 1:100 (40x lens). DAPI was used to stain the cell nuclei (blue).
Enlarge Image
Immunofluorescence - Anti-Topoisomerase I Antibody [ARC0708] (A307759)
Immunofluorescence analysis of NIH-3T3 cells using Anti-Topoisomerase I Antibody (A307759) at a dilution of 1:100 (40x lens). DAPI was used to stain the cell nuclei (blue).
Enlarge Image
Immunofluorescence - Anti-Topoisomerase I Antibody [ARC0708] (A307759)
Immunofluorescence analysis of U-2 OS cells using Anti-Topoisomerase I Antibody (A307759) at a dilution of 1:100 (40x lens). DAPI was used to stain the cell nuclei (blue).
Enlarge Image
Western Blot - Anti-Topoisomerase I Antibody [ARC0708] (A307759)
Immunoprecipitation analysis of 300µg extracts of MCF7 cells using 3µg of Anti-Topoisomerase I Antibody (A307759). This Western blot was performed on the immunoprecipitate using Anti-Topoisomerase I Antibody (A307759) at a dilution of 1:1000.