ISO 9001:2015 Certified
Live Customer Support
4.5/5 on Trustpilot
100% Quality Guarantee

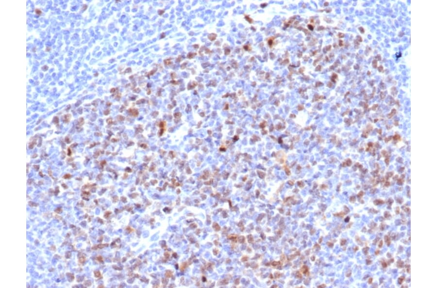
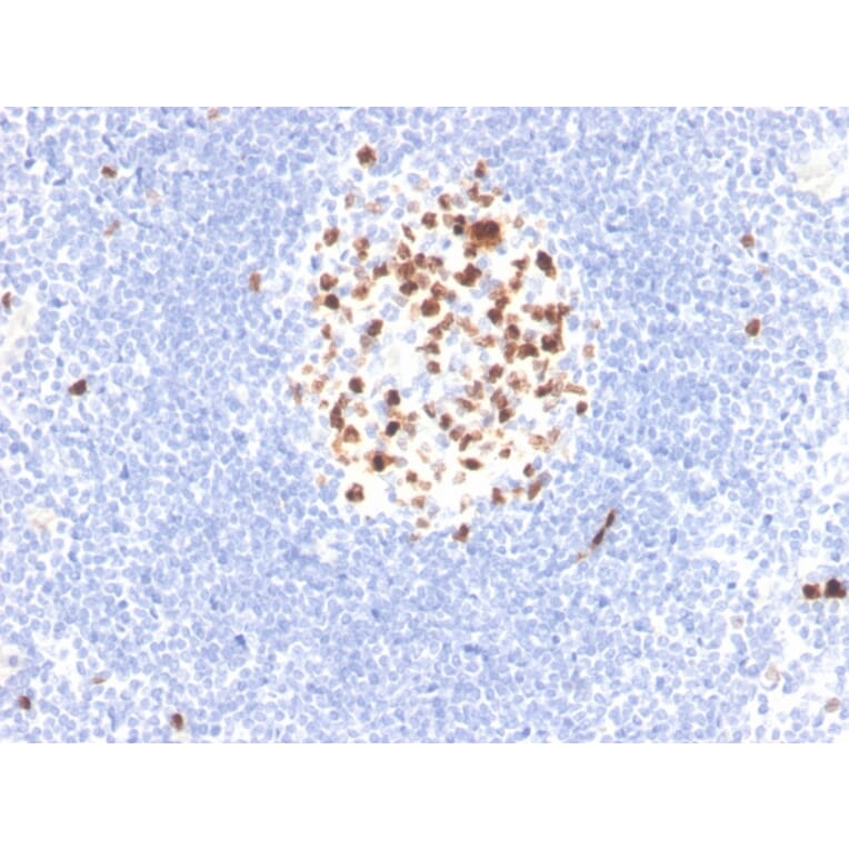
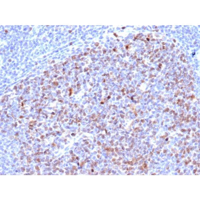
Recombinant Anti-Topoisomerase II alpha Antibody [rTOP2A/6629] - BSA and Azide free (A253350)

Recombinant mouse monoclonal [rTOP2A/6629] antibody to Topoisomerase II alpha for IHC-P.

Alternative Formats and ConjugatesAlternative Formats

Shipping Information

$40
Dispatched from St. Louis, MO.
Lead Time: 5-8 business days.
Name
Anti-Topoisomerase II alpha Antibody [rTOP2A/6629] - BSA and Azide free
Description
Recombinant mouse monoclonal [rTOP2A/6629] antibody to Topoisomerase II alpha.
Applications
IHC-P
Dilutions
IHC-P: 0.5-1 µg/ml
Reactivity
Human, Mouse
Immunogen
Recombinant fragment, around amino acids 1352-1493, of human Topoisomerase II alpha protein.
Host
Mouse
Clonality
Monoclonal
Clone ID
rTOP2A/6629
Isotype
IgG1
Light Chains
kappa
Conjugate

Unconjugated

Purification
Protein A/G chromatography.
Concentration
1 mg/ml
Molecular Weight
170 kDa
Product Form
Liquid
Formulation
Supplied in 10mM Phosphate Buffered Saline; without Sodium Azide and carrier free.
Storage
Shipped at 4°C. Upon delivery aliquot and store at -20°C. Avoid freeze / thaw cycles.
General Notes
This monoclonal antibody is also available in a different formulation with BSA and Sodium Azide - Anti-Topoisomerase II alpha Antibody [rTOP2A/6629] (A250170).
Synonyms
alpha isozyme, ATP hydrolyzing DNA topoisomerase II alfa, DNA gyrase, DNA topoisomerase (ATP hydrolyzing), DNA topoisomerase 2 alpha, DNA topoisomerase 2-alpha, DNA topoisomerase II, DNA topoisomerase II 170 kD, DNA topoisomerase II alpha isozyme, DNA Topoisomerase2, TOP 2A, TOP2, TOP2A, TOP2A_HUMAN, Topoisomerase DNA II alpha 170kDa, TP2A
Disclaimer
This product is for research use only. It is not intended for diagnostic or therapeutic use.
Publishing research using Recombinant Anti-Topoisomerase II alpha Antibody [rTOP2A/6629] - BSA and Azide free (A253350)? Please let us know so that we can list the citation on this page.

Alternative products to Anti-Topoisomerase II alpha Antibody [rTOP2A/6629] - BSA and Azide free (A253350)