ISO 9001:2015 Certified
Live Customer Support
4.5/5 on Trustpilot
100% Quality Guarantee

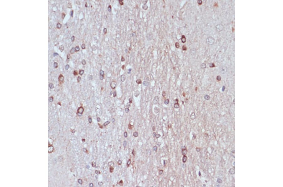
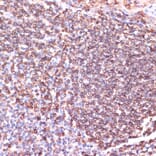
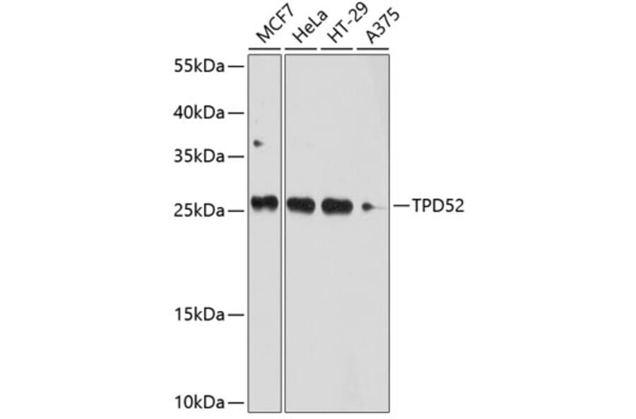
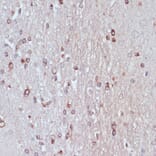
Anti-TPD52 Antibody (A12862)

Rabbit polyclonal antibody to TPD52 for WB and IHC.

Shipping Information

$40
Dispatched from St. Louis, MO.
Lead Time: 7-10 business days.
Name
Anti-TPD52 Antibody
Description
Rabbit polyclonal antibody to TPD52.
Applications
WB, IHC
Dilutions
WB: 1:1,000-1:2,000, IHC: 1:50-1:200
Reactivity
Human, Mouse, Rat
Immunogen
Recombinant fusion protein containing a sequence corresponding to amino acids 1-184 of human TPD52 (NP_005070.1).
Sequence
MDRGEQGLLRTDPVPEEGEDVAATISATETLSEEEQEELRRELAKVEEEIQTLSQVLAAKEKHLAEIKRKLGINSLQELKQNIAKGWQDVTATSAYKKTSETLSQAGQKASAAFSSVGSVITKKLEDVKNSPTFKSFEEKVENLKSKVGGTKPAGGDFGEVLNSAANASATTTEPLPEKTQESL
Host
Rabbit
Clonality
Polyclonal
Isotype
IgG
Conjugate

Unconjugated

Purification
Affinity purification.
Concentration
Lot Specific
Molecular Weight
26 kDa
Product Form
Liquid
Formulation
Supplied in Phosphate Buffered Saline, pH 7.3, with 50% Glycerol and 0.02% Sodium Azide.
Storage
Shipped at 4°C. Upon delivery aliquot and store at -20°C. Avoid freeze/thaw cycles.
Synonyms
Protein N8, Tumor protein D52
Disclaimer
This product is for research use only. It is not intended for diagnostic or therapeutic use.
Publishing research using Anti-TPD52 Antibody (A12862)? Please let us know so that we can list the citation on this page.

Alternative products to Anti-TPD52 Antibody (A12862)

Proteins predicted to interact with TPD52

Predicted protein interactions based upon String database. Revelancy score correlates with probability of interaction.
88.9% Relevancy Score
82.5% Relevancy Score
70.6% Relevancy Score
68.3% Relevancy Score
67% Relevancy Score
61.3% Relevancy Score
60.9% Relevancy Score
59.5% Relevancy Score
58.3% Relevancy Score