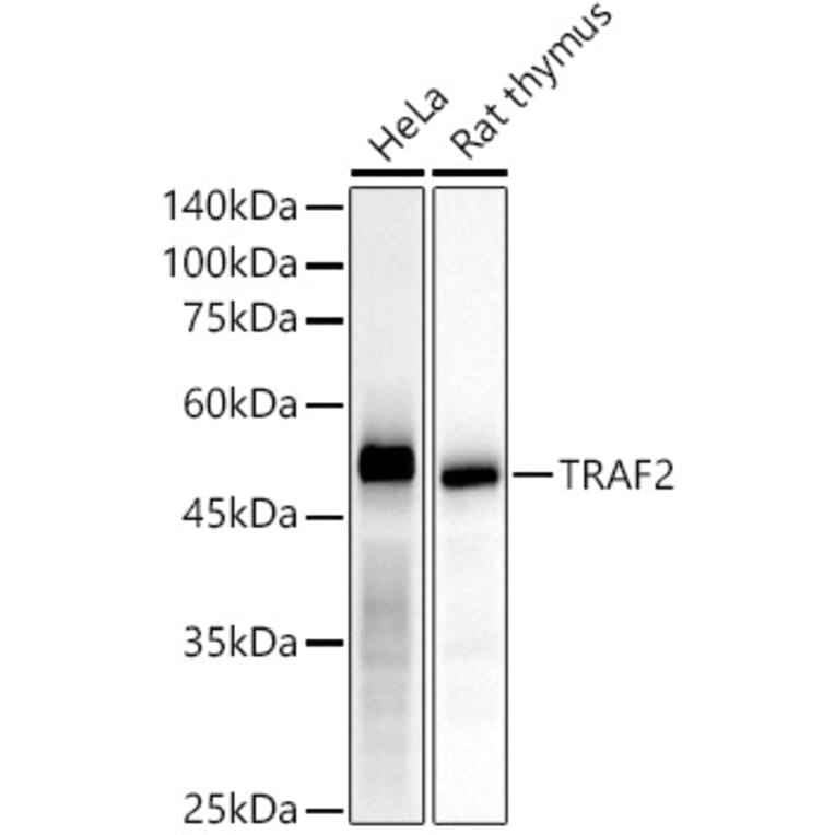
Western Blot - Anti-TRAF2 Antibody [ARC51292] (A305567)
Western blot analysis of various lysates, using Anti-TRAF2 Antibody [ARC51292] (A305567) at 1:50,000 dilution. The secondary antibody was Goat Anti-Rabbit IgG H&L Antibody (HRP) at 1:10,000 dilution. Lysates/proteins were present at 25µg per lane. The blocking buffer used was 3% non-fat dry milk in TBST. Detection was with a ECL Basic Kit. Exposure time: 10s.
Western Blot - Anti-TRAF2 Antibody [ARC51292] (A305567)
Western blot analysis of various lysates, using Anti-TRAF2 Antibody [ARC51292] (A305567) at 1:50,000 dilution. The secondary antibody was Goat Anti-Rabbit IgG H&L Antibody (HRP) at 1:10,000 dilution. Lysates/proteins were present at 25µg per lane. The blocking buffer used was 3% non-fat dry milk in TBST. Detection was with a ECL Basic Kit. Exposure time: 60s.
Western Blot - Anti-TRAF2 Antibody [ARC51292] (A305567)
Western blot analysis of extracts from wild type(WT) and TRAF2 knockdown (KD) 293T cells, using Anti-TRAF2 Antibody [ARC51292] (A305567) at 1:50,000 dilution. The secondary antibody was Goat Anti-Rabbit IgG H&L Antibody (HRP) at 1:10,000 dilution. Lysates/proteins were present at 25µg per lane. The blocking buffer used was 3% non-fat dry milk in TBST. Detection was with a ECL Basic Kit. Exposure time: 10s.
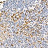
Immunohistochemistry analysis of paraffin-embedded human thyroid cancer using Anti-TRAF2 Antibody [ARC51292] (A305567) at a dilution of 1:500 (40x lens). Perform high pressure antigen retrieval with 10 mM citrate buffer pH 6.0 before commencing with IHC staining protocol.
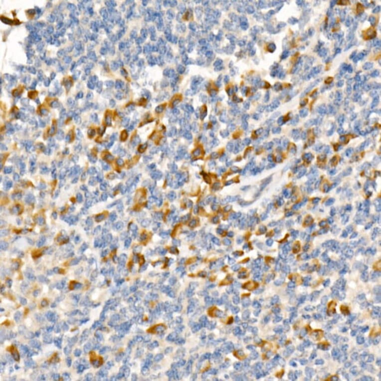
Immunohistochemistry analysis of paraffin-embedded human tonsil using Anti-TRAF2 Antibody [ARC51292] (A305567) at a dilution of 1:500 (40x lens). Perform high pressure antigen retrieval with 10 mM citrate buffer pH 6.0 before commencing with IHC staining protocol.
Western Blot - Anti-TRAF2 Antibody [ARC51292] (A305567)
Immunoprecipitation analysis of 300µg extracts of HeLa cells using 3µg of Anti-TRAF2 Antibody [ARC51292] (A305567). This Western blot was performed on the immunoprecipitate using Anti-TRAF2 Antibody [ARC51292] (A305567) at a dilution of 1:50000.