Western Blot - Anti-Transferrin Receptor Antibody (A15025)
Western blot analysis of extracts of various cell lines, using Anti-Transferrin Receptor Antibody (A15025) at 1:1,000 dilution. The secondary antibody was Goat Anti-Rabbit IgG H&L Antibody (HRP) at 1:10,000 dilution. Lysates/proteins were present at 25µg per lane. The blocking buffer used was 3% non-fat dry milk in TBST. Detection was with a ECL Basic Kit. Exposure time: 90s.
Immunohistochemistry analysis of paraffin-embedded rat kidney using Anti-Transferrin Receptor Antibody (A15025) at a dilution of 1:100 (40x lens). Perform microwave antigen retrieval with 10 mM PBS buffer pH 7.2 before commencing with IHC staining protocol.
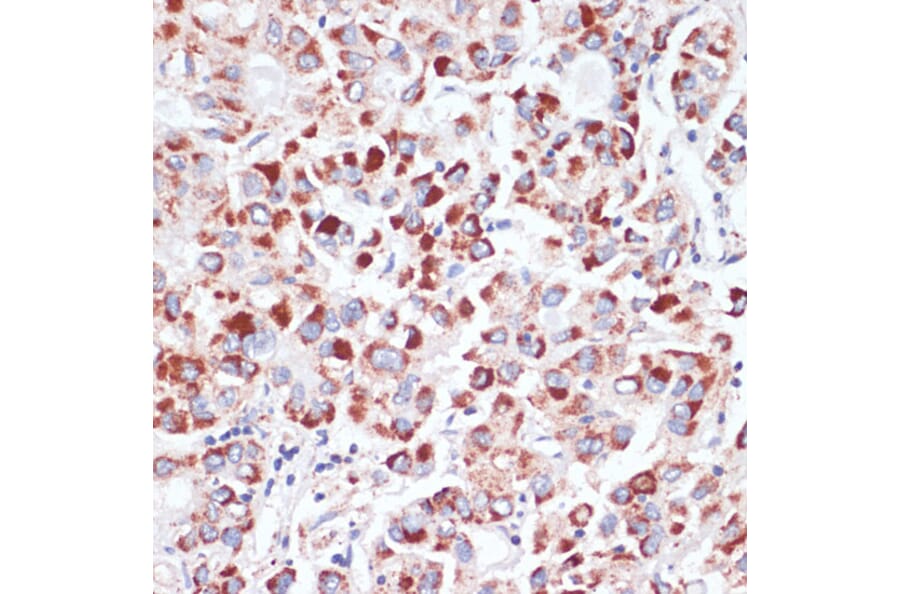
Immunohistochemistry analysis of paraffin-embedded human liver cancer using Anti-Transferrin Receptor Antibody (A15025) at a dilution of 1:100 (40x lens). Perform microwave antigen retrieval with 10 mM PBS buffer pH 7.2 before commencing with IHC staining protocol.
Immunohistochemistry analysis of paraffin-embedded human colon carcinoma tissue using Anti-Transferrin Receptor Antibody (A15025) at a dilution of 1:100 (40x lens). Perform microwave antigen retrieval with 10 mM PBS buffer pH 7.2 before commencing with IHC staining protocol.
Immunohistochemistry analysis of paraffin-embedded human placenta using Anti-Transferrin Receptor Antibody (A15025) at a dilution of 1:100 (40x lens). Perform microwave antigen retrieval with 10 mM PBS buffer pH 7.2 before commencing with IHC staining protocol.
Immunofluorescence analysis of PC-12 cells using Anti-Transferrin Receptor Antibody (A15025) at a dilution of 1:100 (40x lens). DAPI was used to stain the cell nuclei (blue).
Human monoclonal antibody to Transferrin Receptor Research grade Delpacibart biosimilar for ELISA, Flow Cytometry, Functional Studies and in vivo Research.
Human monoclonal antibody to Transferrin Receptor Research grade Delpacibart biosimilar for ELISA, Flow Cytometry, Functional Studies and in vivo Research.