ISO 9001:2015 Certified
Live Customer Support
4.5/5 on Trustpilot
100% Quality Guarantee

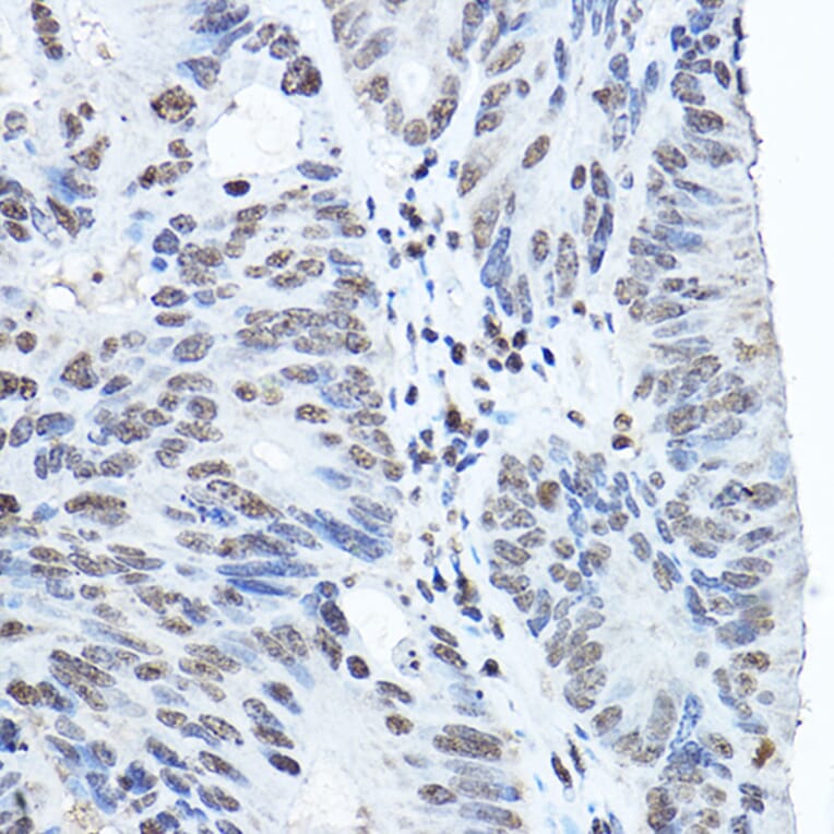
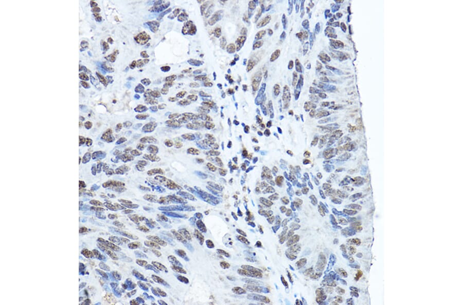
Anti-Twist Antibody (A88733)

Rabbit polyclonal antibody to Twist for WB and IHC.

Shipping Information

$40
Dispatched from St. Louis, MO.
Lead Time: 7-10 business days.
Name
Anti-Twist Antibody
Description
Rabbit polyclonal antibody to Twist.
Applications
WB, IHC
Dilutions
WB: 1:100-1:500, IHC: 1:50-1:200
Reactivity
Human, Mouse, Rat
Immunogen
Recombinant fusion protein containing a sequence corresponding to amino acids 1-105 of Twist (NP_000465.1).
Sequence
MMQDVSSSPVSPADDSLSNSEEEPDRQQPPSGKRGGRKRRSSRRSAGGGAGPGGAAGGGVGGGDEPGSPAQGKRGKKSAGCGGGGGAGGGGGSSSGGGSPQSYEE
Host
Rabbit
Clonality
Polyclonal
Isotype
IgG
Conjugate

Unconjugated

Purification
Affinity purification.
Concentration
Lot Specific
Molecular Weight
21 kDa
Product Form
Liquid
Formulation
Supplied in Phosphate Buffered Saline, pH 7.3, with 50% Glycerol and 0.05% Proclin 300.
Storage
Shipped at 4°C. Upon delivery aliquot and store at -20°C. Avoid freeze/thaw cycles.
Synonyms
BHLHA38, Class A basic helix-loop-helix protein 38, H-twist, Twist-related protein 1
Disclaimer
This product is for research use only. It is not intended for diagnostic or therapeutic use.
Publishing research using Anti-Twist Antibody (A88733)? Please let us know so that we can list the citation on this page.

Alternative products to Anti-Twist Antibody (A88733)

Proteins predicted to interact with TWIST1

Predicted protein interactions based upon String database. Revelancy score correlates with probability of interaction.
97.2% Relevancy Score
96.7% Relevancy Score
96% Relevancy Score
95.9% Relevancy Score
95.2% Relevancy Score
93.9% Relevancy Score
93.2% Relevancy Score
90.1% Relevancy Score
90.1% Relevancy Score