Immunofluorescent analysis of rat brain sections stained with Anti-Tyrosine Hydroxylase Antibody (A333280) at a dilution of 1:2,000, (red). Nuclei were stained with Hoechst (blue). Following transcardial perfusion of rat with 4% paraformaldehyde, brain was post fixed for 24 hours, cut to 45µM, and free-floating sections were stained with above antibodies. Anti-Tyrosine Hydroxylase Antibody (A333280) strongly and specifically stains the striatal TH-expressing interneurons. Inset top left shows neuronal cell bodies and top right shows beaded process, while the main image shows an overview of the caudate/putamen and TH positive nerve fibers.
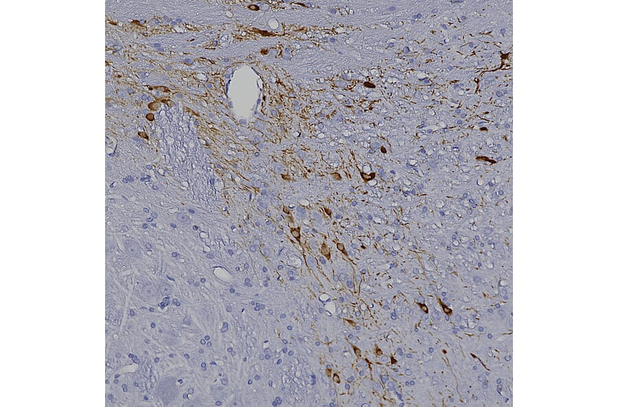
Immunohistochemistry analysis of a formalin fixed paraffin embedded rat brain sagittal section with Anti-Tyrosine Hydroxylase Antibody (A333280) at a dilution of 1:10,000 detected with DAB (brown) using the Vector Elite ABC-HRP detection and reagents with citra buffer retrieval. Counterstained with Hematoxylin (blue). In substantia nigra, Anti-Tyrosine Hydroxylase Antibody (A333280) labels cell bodies and nerve fibers of dopaminergic neurons.
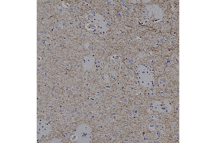
Immunohistochemistry analysis of a NBF fixed paraffin embedded human midbrain section with Anti-Tyrosine Hydroxylase Antibody (A333280) at a dilution of 1:2,000. Anti-Tyrosine Hydroxylase Antibody (A333280) labels axons transversing the striatum. Note: this antibody performs well in testing with 4% PFA and standard NBF fixed mouse, rat and human tissue.
Western Blot - Anti-Tyrosine Hydroxylase Antibody (A333280)
Western blot analysis of different tissue lysates using Anti-Tyrosine Hydroxylase Antibody (A333280) at a dilution of 1:2,000 (green). The lanes contain: [Lane 1] protein standard (red), [Lane 2] rat brain caudate and putamen, [Lane 3] mouse brain caudate and putamen. The strong band at about 60kDa corresponds to TH protein.
Publishing research using Anti-Tyrosine Hydroxylase Antibody (A333280)? Please let us know so that we can list the citation on this page.
Alternative products to Anti-Tyrosine Hydroxylase Antibody (A333280)