ISO 9001:2015 Certified
Live Customer Support
4.5/5 on Trustpilot
100% Quality Guarantee

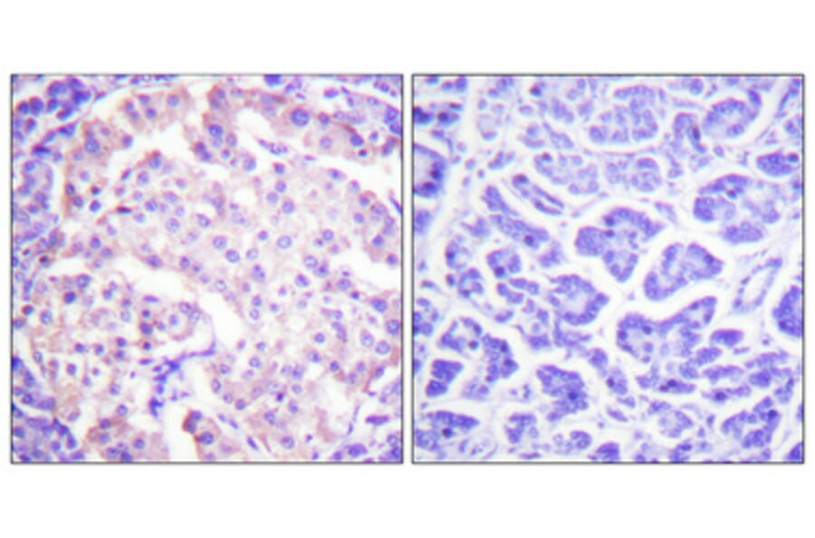
Anti-Tyrosine Hydroxylase (phospho Ser31) Antibody (A93435)

Rabbit polyclonal antibody to Tyrosine Hydroxylase (phospho Ser31) for WB, IHC, IF and ELISA.

Shipping Information

$40
Dispatched from St. Louis, MO.
Lead Time: 6-8 business days.
Name
Anti-Tyrosine Hydroxylase (phospho Ser31) Antibody
Description
Rabbit polyclonal antibody to Tyrosine Hydroxylase (phospho Ser31).
Specificity
This antibody detects endogenous levels of Tyr Hydroxylase only when phosphorylated at Ser31.
Applications
WB, IHC, IF, ELISA
Dilutions
WB: 1:500~1:1000, IHC: 1:50~1:100, ELISA: 1:1000
Reactivity
Human, Mouse, Rat, Monkey
Cross Reactivity
No reported cross-reactivity.
Immunogen
Synthetic peptide derived from human Tyrosine Hydroxylase around the phosphorylation site of Ser31 (amino acids 1-50).
Host
Rabbit
Clonality
Polyclonal
Isotype
IgG
Conjugate

Unconjugated

Purification
Purified from rabbit serum by antigen affinity chromatography using the immunizing phospho peptide.
Molecular Weight
58kDa
Product Form
Liquid
Formulation
Supplied in Phosphate Buffered Saline (without Mg2+ and Ca2+), pH 7.4, with 150mM NaCl, 0.02% Sodium Azide, and 50% Glycerol.
Storage
Shipped at 4°C. Upon delivery aliquot and store at -20°C. Avoid freeze / thaw cycles.
Synonyms
TH, TYH, Tyrosine 3-hydroxylase, Tyrosine 3-monooxygenase
Disclaimer
This product is for research use only. It is not intended for diagnostic or therapeutic use.
Publishing research using Anti-Tyrosine Hydroxylase (phospho Ser31) Antibody (A93435)? Please let us know so that we can list the citation on this page.

Alternative products to Anti-Tyrosine Hydroxylase (phospho Ser31) Antibody (A93435)

Proteins predicted to interact with Tyrosine Hydroxylase

Predicted protein interactions based upon String database. Revelancy score correlates with probability of interaction.
99.7% Relevancy Score
99.5% Relevancy Score
98.7% Relevancy Score
97.2% Relevancy Score
96.9% Relevancy Score
96.6% Relevancy Score
96.3% Relevancy Score
95.1% Relevancy Score