Primary Antibodies
Secondary Antibodies
Proteins & Peptides
ELISA Kits
About Us
Contact Us
Sign In/Register
0
ISO 9001:2015 Certified
Live Customer Support
4.5/5 on Trustpilot
100% Quality Guarantee
Home
Primary Antibodies
UCP3 Antibodies
Anti-UCP3 Antibody (A39021)
Anti-UCP3 Antibody (A39021)
Overview
Specifications
Images
Enlarge Image
Enlarge Image
Enlarge Image
$405
Rabbit polyclonal antibody to UCP3 for WB and IHC.
100% Guarantee
Price Match Guarantee
Product Size:
100µl
Quantity:
1
2
3
4
5
6
7
8
9
10
Add To Cart
Request a Quotation
Custom or Bulk Request
Shipping Information
Freight/Packing Charges:
$40
Dispatched from St. Louis, MO.
Lead Time: 6-9 business days.
Specifications
Name
Anti-UCP3 Antibody
Description
Rabbit polyclonal antibody to UCP3
Specificity
The antibody detects endogenous levels of total UCP3 protein.
Applications
WB
,
IHC
Reactivity
Human, Mouse
Immunogen
Synthetic peptide of human UCP3
Host
Rabbit
Clonality
Polyclonal
Conjugate
Unconjugated
Purification
Antigen affinity purification.
Concentration
1.2 mg/ml
Formulation
Rabbit IgG in pH7.4 PBS, 0.05% NaN3, 40% Glycerol.
Storage
Store at -20˚C
Synonyms
Putative mitochondrial transporter UCP3, SLC25A9, Solute carrier family 25 member 9, UCP 3, Uncoupling protein-3
Suitable Secondaries
Goat Anti-Rabbit IgG H&L Antibody (AP) (A294874)
Goat Anti-Rabbit IgG H&L Antibody (Biotin) (A294795)
Goat Anti-Rabbit IgG H&L Antibody (FITC) (A294887)
Goat Anti-Rabbit IgG H&L Antibody (HRP) (A294888)
See all Anti-Rabbit IgG Secondaries →
Disclaimer
This product is for research use only. It is not intended for diagnostic or therapeutic use.
Scientific Validation Data
Validation Data
(3)
Enlarge Image
Anti-UCP3 Antibody (A39021)
Gel: 8% SDS-PAGE Lysate: 40 μg Lane: Mouse lung tissue Primary antibody: 1/200 dilution Secondary antibody: Goat anti rabbit IgG at 1/8000 dilution Exposure time: 1 minute
Enlarge Image
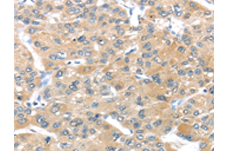
Immunohistochemistry - Anti-UCP3 Antibody (A39021)
Immunohistochemical analysis of paraffin-embedded Human liver cancer tissue using #43430 at dilution 1/20.
Enlarge Image
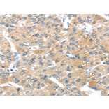
Immunohistochemistry - Anti-UCP3 Antibody (A39021)
Immunohistochemical analysis of paraffin-embedded Human prostate cancer tissue using #43430 at dilution 1/20.
Publishing research using Anti-UCP3 Antibody (A39021)? Please
let us know
so that we can list the citation on this page.
Alternative products to Anti-UCP3 Antibody (A39021)
(3)
A30010
Anti-UCP3 Antibody
Rabbit polyclonal antibody to UCP3 for WB, IHC and IF.
(2)
A35477
Anti-UCP3 Antibody
Rabbit polyclonal antibody to UCP3 for WB, IHC and IF.
(3)
A91768
Anti-UCP3 Antibody
Rabbit polyclonal antibody to UCP3 for WB and IHC.
(2)
A97872
Anti-UCP3 Antibody
Rabbit polyclonal antibody to UCP3 for WB and ELISA.
A26542
Anti-UCP3 (R308) Antibody
Rabbit polyclonal antibody to UCP3 (R308) for IHC.
A13490
Anti-UCP3 Antibody
Rabbit polyclonal antibody to UCP3 for WB.
A309505
Anti-UCP3 Antibody [ARC60308]
Rabbit monoclonal [ARC60308] antibody to UCP3 for WB.
(3)
A30010
Anti-UCP3 Antibody
Rabbit polyclonal antibody to UCP3 for WB, IHC and IF.
(2)
A35477
Anti-UCP3 Antibody
Rabbit polyclonal antibody to UCP3 for WB, IHC and IF.
(3)
A91768
Anti-UCP3 Antibody
Rabbit polyclonal antibody to UCP3 for WB and IHC.
(2)
A97872
Anti-UCP3 Antibody
Rabbit polyclonal antibody to UCP3 for WB and ELISA.
A26542
Anti-UCP3 (R308) Antibody
Rabbit polyclonal antibody to UCP3 (R308) for IHC.
A13490
Anti-UCP3 Antibody
Rabbit polyclonal antibody to UCP3 for WB.
A309505
Anti-UCP3 Antibody [ARC60308]
Rabbit monoclonal [ARC60308] antibody to UCP3 for WB.
See all UCP3 Antibodies
Proteins predicted to interact with UCP3
Predicted protein interactions based upon String database. Revelancy score correlates with probability of interaction.
PGC1 alpha Antibodies
91.7% Relevancy Score
CPT1B Antibodies
85.6% Relevancy Score
CPT1C Antibodies
81% Relevancy Score
PPAR gamma Antibodies
77.4% Relevancy Score
PPAR delta Antibodies
77.1% Relevancy Score
PDK4 Antibodies
73.4% Relevancy Score
PPAR alpha Antibodies
72.9% Relevancy Score
beta 3 Adrenergic Receptor Antibodies
72.8% Relevancy Score
CPT1A Antibodies
72.3% Relevancy Score
Top