ISO 9001:2015 Certified
Live Customer Support
4.5/5 on Trustpilot
100% Quality Guarantee

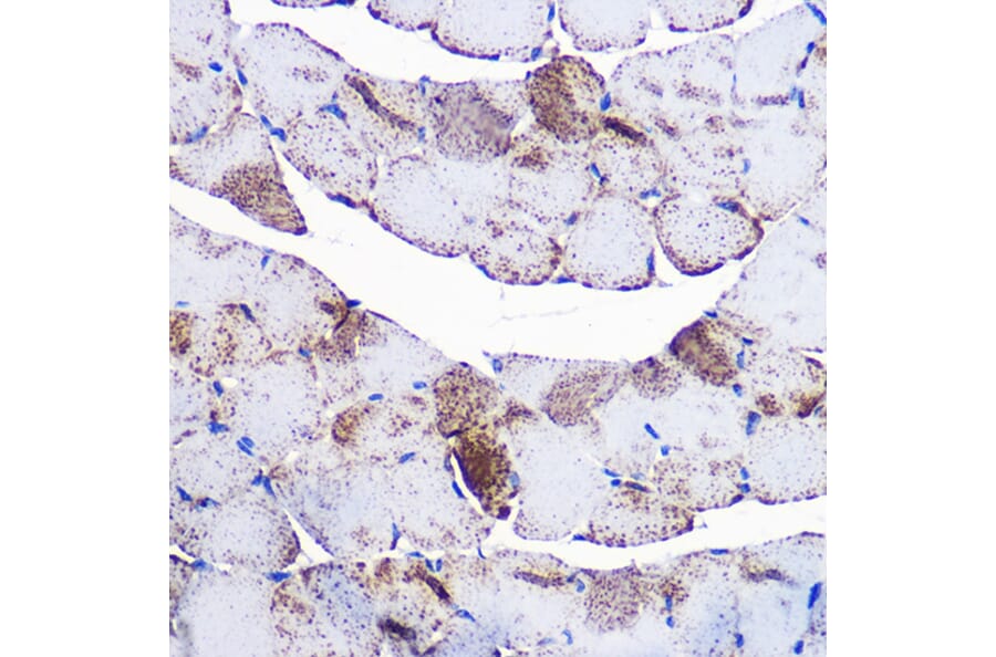
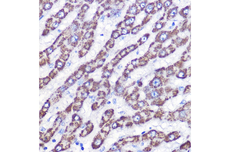
Anti-UCP3 Antibody (A91768)

Rabbit polyclonal antibody to UCP3 for WB and IHC.

Shipping Information

$40
Dispatched from St. Louis, MO.
Lead Time: 7-10 business days.
Name
Anti-UCP3 Antibody
Description
Rabbit polyclonal antibody to UCP3.
Applications
WB, IHC
Dilutions
WB: 1:500-1:2,000, IHC: 1:50-1:200
Reactivity
Human, Mouse, Rat
Immunogen
Recombinant fusion protein containing a sequence corresponding to amino acids 1-110 of human UCP3 (P55916).
Sequence
MVGLKPSDVPPTMAVKFLGAGTAACFADLVTFPLDTAKVRLQIQGENQAVQTARLVQYRGVLGTILTMVRTEGPCSPYNGLVAGLQRQMSFASIRIGLYDSVKQVYTPKG
Host
Rabbit
Clonality
Polyclonal
Isotype
IgG
Conjugate

Unconjugated

Purification
Affinity purification.
Concentration
Lot Specific
Molecular Weight
34 kDa
Product Form
Liquid
Formulation
Supplied in Phosphate Buffered Saline, pH 7.3, with 50% Glycerol and 0.01% Thiomersal.
Storage
Shipped at 4°C. Upon delivery aliquot and store at -20°C. Avoid freeze/thaw cycles.
Synonyms
Putative mitochondrial transporter UCP3, SLC25A9, Solute carrier family 25 member 9, UCP 3, Uncoupling protein-3
Disclaimer
This product is for research use only. It is not intended for diagnostic or therapeutic use.
Publishing research using Anti-UCP3 Antibody (A91768)? Please let us know so that we can list the citation on this page.

Alternative products to Anti-UCP3 Antibody (A91768)

Proteins predicted to interact with UCP3

Predicted protein interactions based upon String database. Revelancy score correlates with probability of interaction.
91.7% Relevancy Score
85.6% Relevancy Score
81% Relevancy Score
77.4% Relevancy Score
77.1% Relevancy Score
73.4% Relevancy Score
72.9% Relevancy Score
72.3% Relevancy Score