VEGFA expression in HEK293 cell lysate analyzed by western blot. Cells were lysed in RIPA buffer and 35µg protein was run per lane. Primary antibody incubation was performed with Anti-VEGFA Antibody (A83043) at 0.1µg/ml and detected by chemiluminescence.
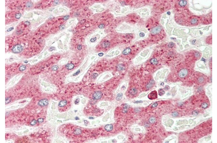
VEGFA expression in Human Liver analyzed by immunohistochemistry. Tissue was paraffin-embedded, and antigen retrieval was achieved by steaming in citrate buffer, pH 6. Staining was performed with Anti-VEGFA Antibody (A83043) at 5µg/ml and revealed with alkaline phosphatase (AP).
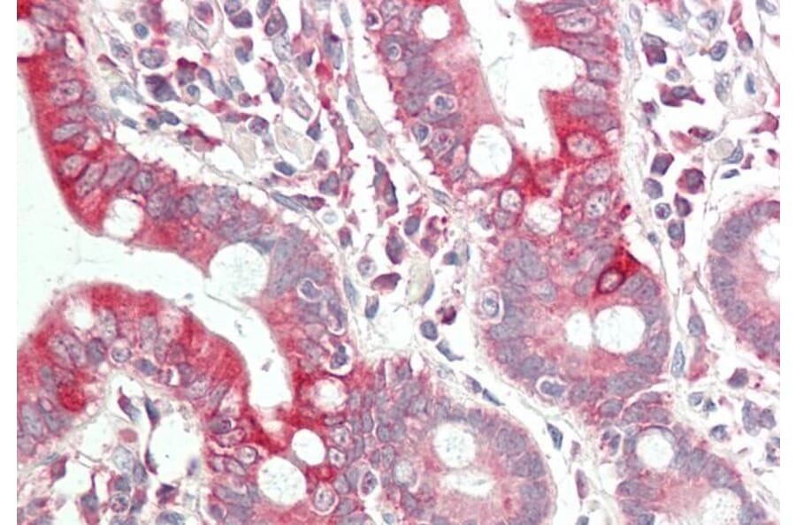
VEGFA expression in Human Small Intestine analyzed by immunohistochemistry. Tissue was paraffin-embedded, and antigen retrieval was achieved by steaming in citrate buffer, pH 6. Staining was performed with Anti-VEGFA Antibody (A83043) at 5µg/ml and revealed with alkaline phosphatase (AP).
Publishing research using Anti-VEGFA Antibody (A83043)? Please let us know so that we can list the citation on this page.
Recombinant humanized monoclonal antibody to VEGFA for use as a research grade Bevacizumab biosimila for ELISA, Flow Cytometry, Functional Studies and in vivo Research.
Recombinant human monoclonal antibody to VEGFA for use as a research grade Aflibercept biosimilar for ELISA, Flow Cytometry, Functional Studies and in vivo Research.
Recombinant humanized monoclonal antibody to VEGFA for use as a research grade Bevacizumab biosimila for ELISA, Flow Cytometry, Functional Studies and in vivo Research.
Recombinant human monoclonal antibody to VEGFA for use as a research grade Aflibercept biosimilar for ELISA, Flow Cytometry, Functional Studies and in vivo Research.