Western blot analysis of extracts of various cell lines, using Anti-VEGFA Antibody (A87633) at 1:1,000 dilution. The secondary antibody was Goat Anti-Rabbit IgG H&L Antibody (HRP) at 1:10,000 dilution. Lysates/proteins were present at 25µg per lane. The blocking buffer used was 3% non-fat dry milk in TBST. Detection was with a ECL Basic Kit. Exposure time: 90s.
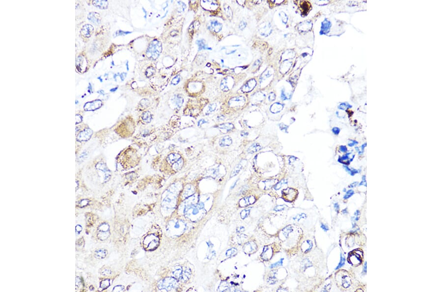
Immunohistochemistry analysis of paraffin-embedded human lung cancer using Anti-VEGFA Antibody (A87633) at a dilution of 1:200 (40x lens). Perform high pressure antigen retrieval with 10 mM citrate buffer pH 6.0 before commencing with IHC staining protocol.
Immunofluorescence analysis of NIH/3T3 cells using Anti-VEGFA Antibody (A87633) at a dilution of 1:100 (40x lens). DAPI was used to stain the cell nuclei (blue).
Publishing research using Anti-VEGFA Antibody (A87633)? Please let us know so that we can list the citation on this page.
Recombinant humanized monoclonal antibody to VEGFA for use as a research grade Bevacizumab biosimila for ELISA, Flow Cytometry, Functional Studies and in vivo Research.
Recombinant human monoclonal antibody to VEGFA for use as a research grade Aflibercept biosimilar for ELISA, Flow Cytometry, Functional Studies and in vivo Research.
Recombinant humanized monoclonal antibody to VEGFA for use as a research grade Bevacizumab biosimila for ELISA, Flow Cytometry, Functional Studies and in vivo Research.
Recombinant human monoclonal antibody to VEGFA for use as a research grade Aflibercept biosimilar for ELISA, Flow Cytometry, Functional Studies and in vivo Research.