ISO 9001:2015 Certified
Live Customer Support
4.5/5 on Trustpilot
100% Quality Guarantee

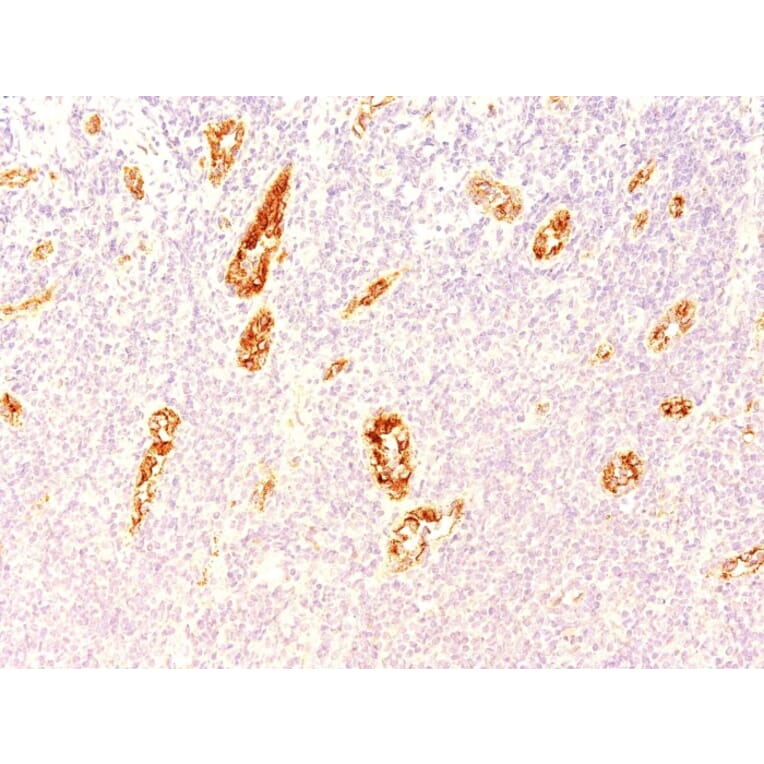
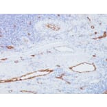
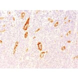
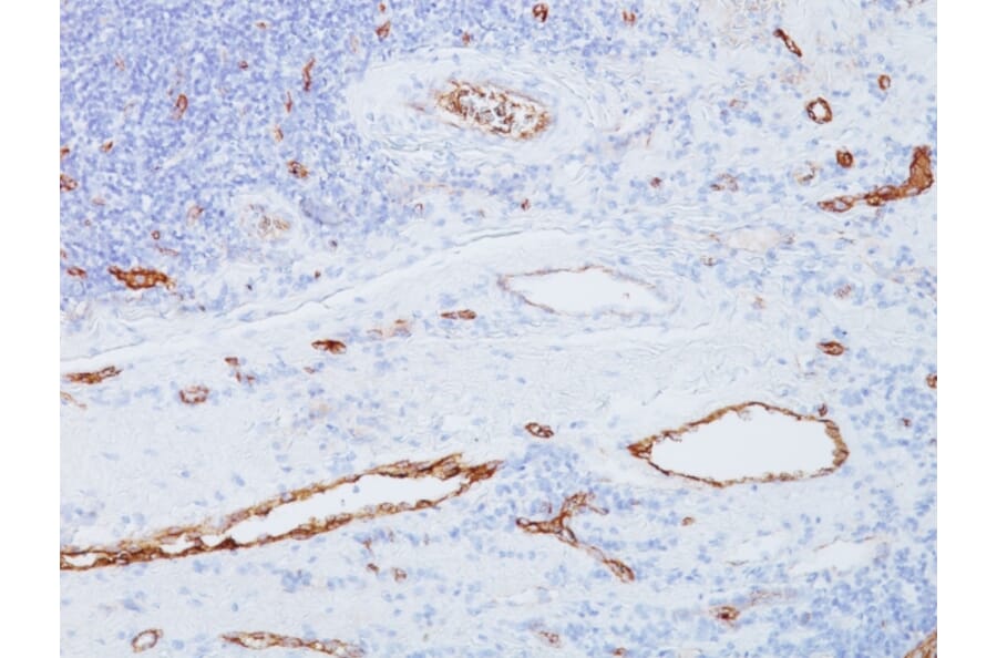
Anti-Von Willebrand Factor Antibody [3E2D10] - BSA and Azide free (A253500)

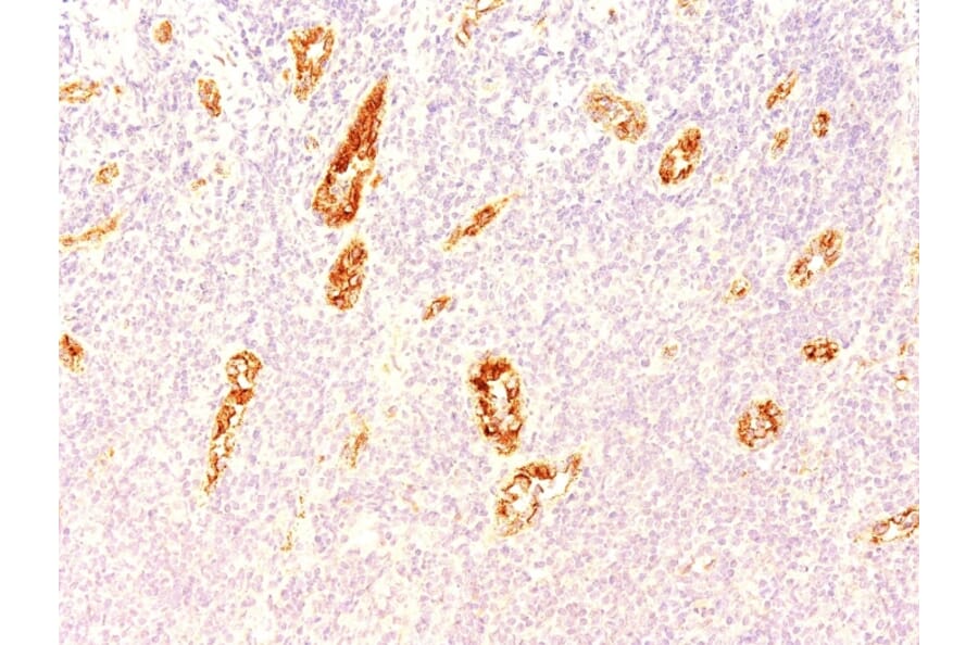
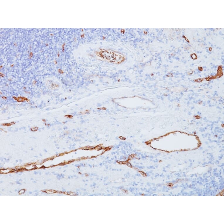
Mouse monoclonal [3E2D10] antibody to Von Willebrand Factor for Flow Cytometry, IF, WB, IP and IHC-P.

Alternative Formats and ConjugatesAlternative Formats

Shipping Information

$40
Dispatched from St. Louis, MO.
Lead Time: 5-8 business days.
Name
Anti-Von Willebrand Factor Antibody [3E2D10] - BSA and Azide free
Description
Mouse monoclonal [3E2D10] antibody to Von Willebrand Factor.
Specificity
von Willebrand Factor (vWF) is a multimeric glycoprotein that is found in endothelial cells, plasma and platelets. It acts as a carrier protein for Factor VIII and promotes platelet adhesion and aggregation. vWF undergoes a variety of posttranslational modifications that influence the affinity and availability for Factor VIII, including cleavage of the propeptide and formation of N-terminal disulfide bonds. This antibody helps to establish the endothelial nature of some lesions of disputed histogenesis, e.g. Kaposis sarcoma and cardiac myxoma. It is widely used for differentiating vascular lesions from those of other tissue differentiation within a panel of other vascular markers although not all tumors of endothelial differentiation contain this antigen.
Applications
Flow Cytometry, IF, WB, IP, IHC-P
Dilutions
Flow Cytometry: 1-2 µg/million cells, IF: 1-2 µg/ml, WB: 1-2 µg/ml, IP: 1-2 µg / 500 µg protein, IHC-P: 1-2 µg/ml
Reactivity
Human
Immunogen
Recombinant fragment, around amino acids 845-949, of human vWF protein. The exact sequence is proprietary.
Host
Mouse
Clonality
Monoclonal
Clone ID
3E2D10
Isotype
IgG1
Light Chains
kappa
Conjugate

Unconjugated

Purification
Protein A/G chromatography.
Concentration
1 mg/ml
Molecular Weight
250 kDa
Product Form
Liquid
Formulation
Supplied in 10mM Phosphate Buffered Saline; without Sodium Azide and carrier free.
Storage
Shipped at 4°C. Upon delivery aliquot and store at -20°C. Avoid freeze / thaw cycles.
General Notes
This monoclonal antibody is also available in a different formulation with BSA and Sodium Azide - Anti-Von Willebrand Factor Antibody [3E2D10] (A250320).
Synonyms
F8VWF
Disclaimer
This product is for research use only. It is not intended for diagnostic or therapeutic use.
Publishing research using Anti-Von Willebrand Factor Antibody [3E2D10] - BSA and Azide free (A253500)? Please let us know so that we can list the citation on this page.

Alternative products to Anti-Von Willebrand Factor Antibody [3E2D10] - BSA and Azide free (A253500)

Proteins predicted to interact with VWF

Predicted protein interactions based upon String database. Revelancy score correlates with probability of interaction.
99.9% Relevancy Score
99.9% Relevancy Score
99.9% Relevancy Score
99.9% Relevancy Score
99.8% Relevancy Score
99.8% Relevancy Score
99.8% Relevancy Score
99.8% Relevancy Score
99.7% Relevancy Score