Western Blot - Anti-YAP1 Antibody [ARC53477] (A308258)
Western blot analysis of extracts of C6 cells, using Anti-YAP1 Antibody [ARC53477] (A308258) at 1:4,000 dilution. The secondary antibody was Goat Anti-Rabbit IgG H&L Antibody (HRP) at 1:10,000 dilution. Lysates/proteins were present at 25µg per lane. The blocking buffer used was 3% non-fat dry milk in TBST. Detection was with a ECL Basic Kit. Exposure time: 1s.
Western Blot - Anti-YAP1 Antibody [ARC53477] (A308258)
Western blot analysis of extracts of Mouse heart, using Anti-YAP1 Antibody [ARC53477] (A308258) at 1:4,000 dilution. The secondary antibody was Goat Anti-Rabbit IgG H&L Antibody (HRP) at 1:10,000 dilution. Lysates/proteins were present at 25µg per lane. The blocking buffer used was 3% non-fat dry milk in TBST. Detection was with a ECL Basic Kit. Exposure time: 20s.
Western Blot - Anti-YAP1 Antibody [ARC53477] (A308258)
Western blot analysis of extracts from wild type(WT) and YAP1 knockout (KO) HeLa cells, using Anti-YAP1 Antibody [ARC53477] (A308258) at 1:4,000 dilution. The secondary antibody was Goat Anti-Rabbit IgG H&L Antibody (HRP) at 1:10,000 dilution. Lysates/proteins were present at 25µg per lane. The blocking buffer used was 3% non-fat dry milk in TBST. Detection was with a ECL Basic Kit. Exposure time: 1s.
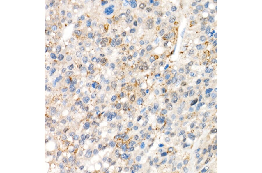
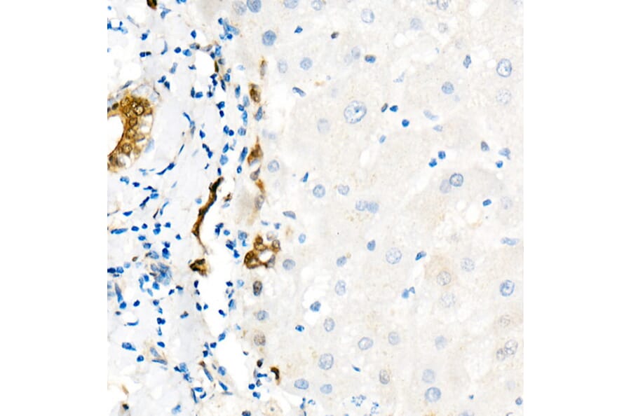
Immunohistochemistry analysis of paraffin-embedded human liver (negative control sample) using Anti-YAP1 Antibody [ARC53477] (A308258) at a dilution of 1:200(40x lens). Perform high pressure antigen retrieval with 10 mM citrate buffer pH 6.0 before commencing with IHC staining protocol.
Immunohistochemistry analysis of paraffin-embedded human liver (negative control sample) using Anti-YAP1 Antibody [ARC53477] (A308258) at a dilution of 1:200(40x lens). Perform high pressure antigen retrieval with 10 mM citrate buffer pH 6.0 before commencing with IHC staining protocol.
Immunohistochemistry analysis of paraffin-embedded human liver (negative control sample) using Anti-YAP1 Antibody [ARC53477] (A308258) at a dilution of 1:200(40x lens). Perform high pressure antigen retrieval with 10 mM citrate buffer pH 6.0 before commencing with IHC staining protocol.
Immunohistochemistry analysis of paraffin-embedded human liver (negative control sample) using Anti-YAP1 Antibody [ARC53477] (A308258) at a dilution of 1:200(40x lens). Perform high pressure antigen retrieval with 10 mM citrate buffer pH 6.0 before commencing with IHC staining protocol.
Immunofluorescence analysis of NIH/3T3 cells using Anti-YAP1 Antibody [ARC53477] (A308258) at a dilution of 1:100 (40x lens). DAPI was used to stain the cell nuclei (blue).
Immunofluorescence analysis of U20S cells using Anti-YAP1 Antibody [ARC53477] (A308258) at a dilution of 1:100 (40x lens). DAPI was used to stain the cell nuclei (blue).
Immunofluorescence analysis of HeLa cells using Anti-YAP1 Antibody [ARC53477] (A308258) at a dilution of 1:100 (40x lens). DAPI was used to stain the cell nuclei (blue).
Western Blot - Anti-YAP1 Antibody [ARC53477] (A308258)
Immunoprecipitation analysis of 300µg extracts of A-549 cells using 3µg of Anti-YAP1 Antibody [ARC53477] (A308258). This Western blot was performed on the immunoprecipitate using Anti-YAP1 Antibody [ARC53477] (A308258) at a dilution of 1:500.