ISO 9001:2015 Certified
Live Customer Support
4.5/5 on Trustpilot
100% Quality Guarantee

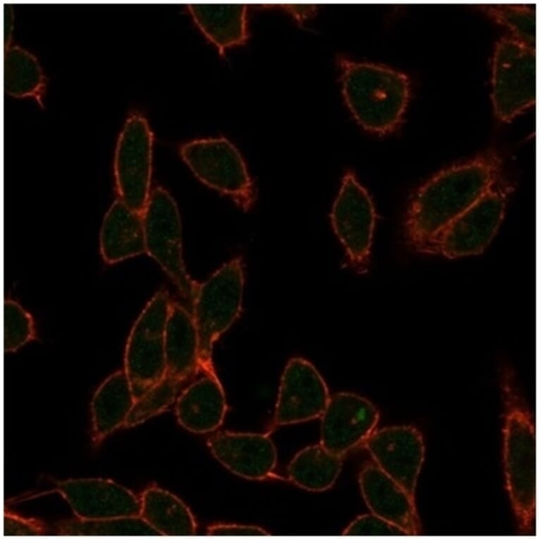
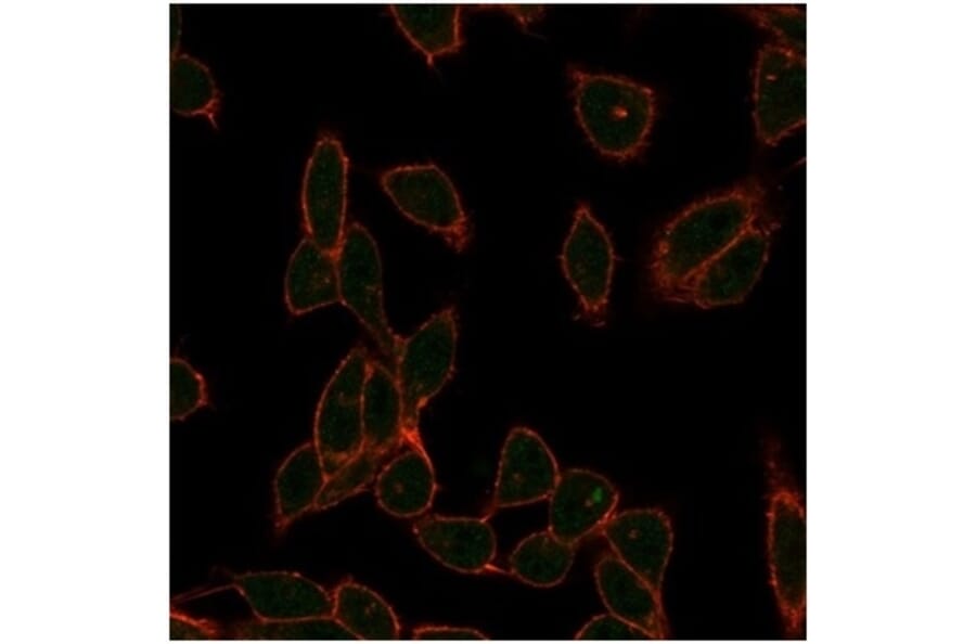
Anti-ZC3H7A Antibody [PCRP-ZC3H7A-1D6] - BSA and Azide free (A278224)

Mouse monoclonal [PCRP-ZC3H7A-1D6] antibody to ZC3H7A for ELISA, IP, Flow Cytometry and IF.

Alternative Formats and ConjugatesAlternative Formats

Shipping Information

$40
Dispatched from St. Louis, MO.
Lead Time: 5-8 business days.
Name
Anti-ZC3H7A Antibody [PCRP-ZC3H7A-1D6] - BSA and Azide free
Description
Mouse monoclonal [PCRP-ZC3H7A-1D6] antibody to ZC3H7A.
Specificity
The zinc finger CCCH domain-containing protein 7A (ZC3H7A), also known as ZC3H7, HSPC055 or ZC3HDC7, is a 971 amino acid protein that contains a C3H1-type zinc finger domain, three C3H1-type zinc fingers and three TPR repeats. Belonging to the ZC3H12 family, ZC3H7A localizes to the nucleus. Existing as two alternatively spliced isoforms, ZC3H7A is encoded by a gene located on human chromosome 16p13.13. Chromosome 16 makes up nearly 3% of human cellular DNA and is associated with a variety of genetic disorders. The GAN gene is located on chromosome 16 and, with mutation, may lead to giant axonal neuropathy, a nervous system disorder characterized by increasing malfunction with growth. The rare disorder Rubinstein-Taybi syndrome is also associated with chromosome 16, though through the CREBBP gene which encodes a critical CREB binding protein. Signs of RubinsteinTaybi include mental retardation and predisposition to tumor growth and white blood cell neoplasias. Crohn s disease is a gastrointestinal inflammatory condition associated with chromosome 16 through the NOD2 gene.
Applications
ELISA, IP, Flow Cytometry, IF
Dilutions
IP: 1-2µg / 100-500µg proteins, Flow Cytometry: 1-2 µg/million cells, IF: 1-2 µg/ml
Reactivity
Human
Immunogen
Recombinant full-length human ZC3H7A protein.
Host
Mouse
Clonality
Monoclonal
Clone ID
PCRP-ZC3H7A-1D6
Isotype
IgG1
Conjugate

Unconjugated

Purification
Protein A/G chromatography.
Concentration
1 mg/ml
Molecular Weight
110 kDa
Product Form
Liquid
Formulation
Supplied in 10mM Phosphate Buffered Saline; without Sodium Azide and carrier free.
Storage
Shipped at 4°C. Upon delivery aliquot and store at -20°C. Avoid freeze / thaw cycles.
General Notes
This monoclonal antibody is also available in a different formulation with BSA and Sodium Azide - Anti-ZC3H7A Antibody [PCRP-ZC3H7A-1D6] (A277636).
Synonyms
ZC3H7, ZC3HDC7, Zinc finger CCCH domain-containing protein 7A
Disclaimer
This product is for research use only. It is not intended for diagnostic or therapeutic use.
Publishing research using Anti-ZC3H7A Antibody [PCRP-ZC3H7A-1D6] - BSA and Azide free (A278224)? Please let us know so that we can list the citation on this page.

Alternative products to Anti-ZC3H7A Antibody [PCRP-ZC3H7A-1D6] - BSA and Azide free (A278224)

Proteins predicted to interact with ZC3H7A

Predicted protein interactions based upon String database. Revelancy score correlates with probability of interaction.
60.5% Relevancy Score
60.2% Relevancy Score
58.8% Relevancy Score
58.3% Relevancy Score
54.7% Relevancy Score
54.7% Relevancy Score
52.7% Relevancy Score
52.3% Relevancy Score
52% Relevancy Score