Primary Antibodies
Secondary Antibodies
Proteins & Peptides
ELISA Kits
About Us
Contact Us
Sign In/Register
0
ISO 9001:2015 Certified
Live Customer Support
4.5/5 on Trustpilot
100% Quality Guarantee
Home
Primary Antibodies
ABCA6 Antibodies
Anti-ABCA6 Antibody (A38155)
Anti-ABCA6 Antibody (A38155)
Overview
Specifications
Images
Enlarge Image
Enlarge Image
Enlarge Image
$415
Rabbit polyclonal antibody to ABCA6 for WB and IHC.
100% Guarantee
Price Match Guarantee
Product Size:
50µl
100µl
Quantity:
1
2
3
4
5
6
7
8
9
10
Add To Cart
Request a Quotation
Custom or Bulk Request
Shipping Information
Freight/Packing Charges:
$40
Dispatched from St. Louis, MO.
Lead Time: 6-9 business days.
Specifications
Name
Anti-ABCA6 Antibody
Description
Rabbit polyclonal antibody to ABCA6
Specificity
The antibody detects endogenous level of total ABCA6 antibody.
Applications
WB
,
IHC
Reactivity
Human, Mouse, Rat
Immunogen
Recombinant protein of mouse ABCA6.
Host
Rabbit
Clonality
Polyclonal
Conjugate
Unconjugated
Purification
Antibodies were purified by affinity purification using immunogen.
Concentration
1 mg/ml
Formulation
Supplied at 1.0mg / mL in phosphate buffered saline (without Mg2+ and Ca2+), pH 7.4, 150mM NaCl, 0.02% sodium azide and 50% glycerol.
Storage
Store at -20˚C
Synonyms
ATP-binding cassette sub-family A member 6
Suitable Secondaries
Goat Anti-Rabbit IgG H&L Antibody (AP) (A294874)
Goat Anti-Rabbit IgG H&L Antibody (Biotin) (A294795)
Goat Anti-Rabbit IgG H&L Antibody (FITC) (A294887)
Goat Anti-Rabbit IgG H&L Antibody (HRP) (A294888)
See all Anti-Rabbit IgG Secondaries →
Disclaimer
This product is for research use only. It is not intended for diagnostic or therapeutic use.
Scientific Validation Data
Validation Data
(3)
Enlarge Image
Anti-ABCA6 Antibody (A38155)
Western blot analysis of extracts of 293T cell line, using ABCA6 antibody.
Enlarge Image
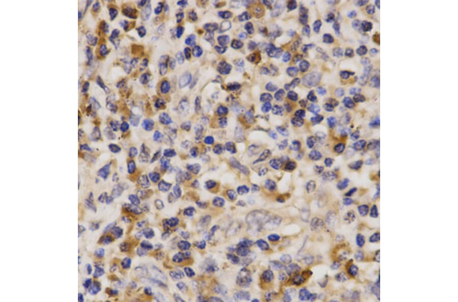
Immunohistochemistry - Anti-ABCA6 Antibody (A38155)
Immunohistochemistry analysis of paraffin-embedded human lung cancer tissue using Abca6 antibody at dilution of 1: 200 (x400 lens).
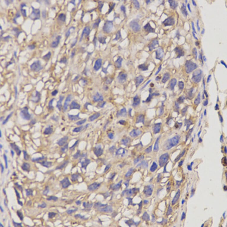
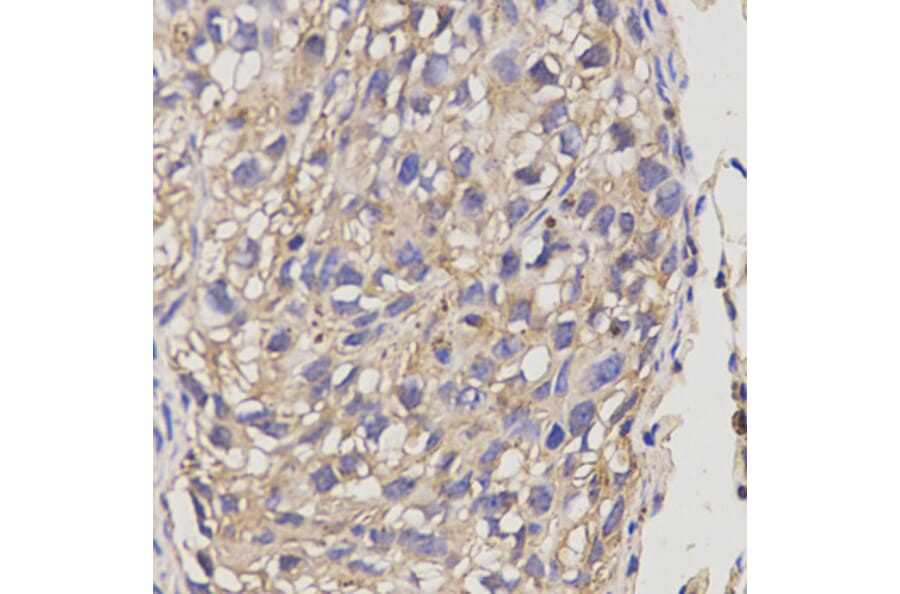
Enlarge Image
Immunohistochemistry - Anti-ABCA6 Antibody (A38155)
Immunohistochemistry analysis of paraffin-embedded mouse lung metastasis tissue using Abca6 antibody at dilution of 1: 200 (x400 lens).
Publishing research using Anti-ABCA6 Antibody (A38155)? Please
let us know
so that we can list the citation on this page.
Alternative products to Anti-ABCA6 Antibody (A38155)
(2)
A308785
Anti-ABCA6 Antibody
Rabbit polyclonal antibody to ABCA6 for WB.
A14402
Anti-ABCA6 Antibody
Rabbit polyclonal antibody to ABCA6 for WB and ICC/IF.
A42872
Anti-ABCA6 Antibody
Rabbit polyclonal antibody to ABCA6 for WB.
(2)
A308785
Anti-ABCA6 Antibody
Rabbit polyclonal antibody to ABCA6 for WB.
A14402
Anti-ABCA6 Antibody
Rabbit polyclonal antibody to ABCA6 for WB and ICC/IF.
A42872
Anti-ABCA6 Antibody
Rabbit polyclonal antibody to ABCA6 for WB.
Proteins predicted to interact with ABCA6
Predicted protein interactions based upon String database. Revelancy score correlates with probability of interaction.
ABCA9 Antibodies
79% Relevancy Score
FOXO1 Antibodies
78.9% Relevancy Score
FOXO3A Antibodies
76.4% Relevancy Score
ABCA8 Antibodies
68.3% Relevancy Score
MKK6 Antibodies
59.4% Relevancy Score
SLC22A8 Antibodies
53.8% Relevancy Score
MRP3 Antibodies
48.7% Relevancy Score
ApoD Antibodies
46.8% Relevancy Score
ABCF3 Antibodies
46.7% Relevancy Score
Top