Primary Antibodies
Secondary Antibodies
Proteins & Peptides
ELISA Kits
About Us
Contact Us
Sign In/Register
0
ISO 9001:2015 Certified
Live Customer Support
4.5/5 on Trustpilot
100% Quality Guarantee
Home
Primary Antibodies
AGRP Antibodies
Anti-AGRP Antibody (A46864)
Anti-AGRP Antibody (A46864)
Overview
Specifications
Images
Enlarge Image
Enlarge Image
$430
Rabbit polyclonal antibody to AGRP for IHC.
100% Guarantee
Price Match Guarantee
Product Size:
100µl
Quantity:
1
2
3
4
5
6
7
8
9
10
Add To Cart
Request a Quotation
Custom or Bulk Request
Shipping Information
Freight/Packing Charges:
$40
Dispatched from St. Louis, MO.
Lead Time: 6-9 business days.
Specifications
Name
Anti-AGRP Antibody
Description
Rabbit polyclonal antibody to AGRP
Specificity
The antibody detects endogenous levels of total AGRP protein.
Applications
IHC
Reactivity
Human
Immunogen
Synthetic peptide corresponding to a region derived from internal residues of human agouti related protein homolog (mouse)
Host
Rabbit
Clonality
Polyclonal
Conjugate
Unconjugated
Purification
Antigen affinity purification.
Concentration
700 µg/ml
Formulation
Rabbit IgG in pH7.3 PBS, 0.05% NaN3, 50% Glycerol.
Storage
Store at -20˚C
Synonyms
Agouti-related protein, AGRT, ART
Suitable Secondaries
Goat Anti-Rabbit IgG H&L Antibody (AP) (A294874)
Goat Anti-Rabbit IgG H&L Antibody (Biotin) (A294795)
Goat Anti-Rabbit IgG H&L Antibody (FITC) (A294887)
Goat Anti-Rabbit IgG H&L Antibody (HRP) (A294888)
See all Anti-Rabbit IgG Secondaries →
Disclaimer
This product is for research use only. It is not intended for diagnostic or therapeutic use.
Scientific Validation Data
Validation Data
(2)
Enlarge Image
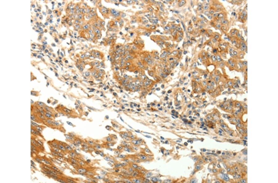
Immunohistochemistry - Anti-AGRP Antibody (A46864)
Immunohistochemical analysis of paraffin-embedded Human colon cancer tissue using #37093 at dilution 1/20.
Enlarge Image
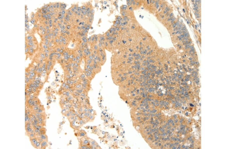
Immunohistochemistry - Anti-AGRP Antibody (A46864)
Immunohistochemical analysis of paraffin-embedded Human gastric cancer tissue using #37093 at dilution 1/20.
Publishing research using Anti-AGRP Antibody (A46864)? Please
let us know
so that we can list the citation on this page.
Alternative products to Anti-AGRP Antibody (A46864)
(2)
A10271
Anti-AGRP Antibody
Rabbit polyclonal antibody to AGRP for WB and IHC.
A83375
Anti-AGRP Antibody
Goat polyclonal antibody to AGRP for ELISA and IHC.
(2)
A10271
Anti-AGRP Antibody
Rabbit polyclonal antibody to AGRP for WB and IHC.
A83375
Anti-AGRP Antibody
Goat polyclonal antibody to AGRP for ELISA and IHC.
Proteins predicted to interact with AGRP
Predicted protein interactions based upon String database. Revelancy score correlates with probability of interaction.
MC4R Antibodies
99.8% Relevancy Score
MC3R Antibodies
99.5% Relevancy Score
Ghrelin Antibodies
97.8% Relevancy Score
POMC Antibodies
97.7% Relevancy Score
Neuropeptide Y Antibodies
97.6% Relevancy Score
Leptin Antibodies
97.5% Relevancy Score
Insulin Antibodies
93.5% Relevancy Score
FOXO1 Antibodies
92.5% Relevancy Score
CART Antibodies
88.2% Relevancy Score
Top