Primary Antibodies
Secondary Antibodies
Proteins & Peptides
ELISA Kits
About Us
Contact Us
Sign In/Register
0
ISO 9001:2015 Certified
Live Customer Support
4.5/5 on Trustpilot
100% Quality Guarantee
Home
Primary Antibodies
Iba1 Antibodies
Anti-AIF1 Antibody (A38890)
Anti-AIF1 Antibody (A38890)
Overview
Specifications
Images
Enlarge Image
Enlarge Image
$390
Rabbit polyclonal antibody to AIF1 for WB and IHC.
100% Guarantee
Price Match Guarantee
Product Size:
50µl
100µl
Quantity:
1
2
3
4
5
6
7
8
9
10
Add To Cart
Request a Quotation
Custom or Bulk Request
Shipping Information
Freight/Packing Charges:
$40
Dispatched from St. Louis, MO.
Lead Time: 6-9 business days.
Tags:
Microglia Marker
Specifications
Name
Anti-AIF1 Antibody
Description
Rabbit polyclonal antibody to AIF1
Specificity
The antibody detects endogenous level of total AIF1 antibody.
Applications
WB
,
IHC
Reactivity
Human, Mouse, Rat
Immunogen
Recombinant protein of human AIF1.
Host
Rabbit
Clonality
Polyclonal
Conjugate
Unconjugated
Purification
Antibodies were purified by affinity purification using immunogen.
Concentration
1 mg/ml
Formulation
Supplied at 1.0mg / mL in phosphate buffered saline (without Mg2+ and Ca2+), pH 7.4, 150mM NaCl, 0.02% sodium azide and 50% glycerol.
Storage
Store at -20˚C
Synonyms
AIF-1, Allograft inflammatory factor 1, G1, Ionized calcium-binding adapter molecule 1, Protein G1
Suitable Secondaries
Goat Anti-Rabbit IgG H&L Antibody (AP) (A294874)
Goat Anti-Rabbit IgG H&L Antibody (Biotin) (A294795)
Goat Anti-Rabbit IgG H&L Antibody (FITC) (A294887)
Goat Anti-Rabbit IgG H&L Antibody (HRP) (A294888)
See all Anti-Rabbit IgG Secondaries →
Disclaimer
This product is for research use only. It is not intended for diagnostic or therapeutic use.
Scientific Validation Data
Validation Data
(2)
Enlarge Image
Anti-AIF1 Antibody (A38890)
Western blot analysis of extracts of U937 cell line, using AIF1 antibody.
Enlarge Image
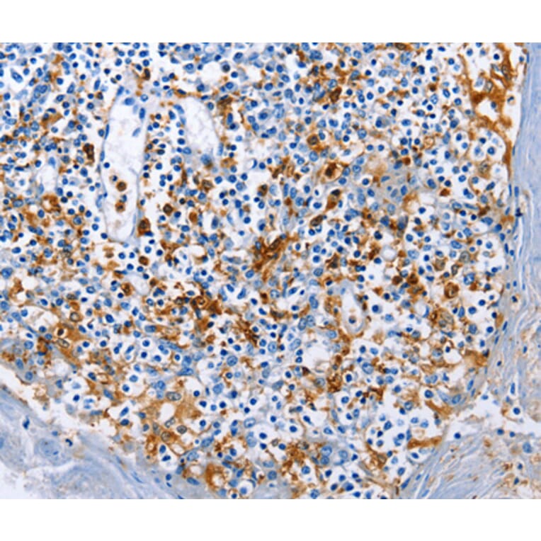
Immunohistochemistry - Anti-AIF1 Antibody (A38890)
Immunohistochemistry analysis of paraffin-embedded human tonsil tissue using AIF1 antibody.
Publishing research using Anti-AIF1 Antibody (A38890)? Please
let us know
so that we can list the citation on this page.
Most popular Anti-AIF1 Antibodies
(5)
A82670
1 Citation
Anti-Iba1 Antibody
Goat polyclonal antibody to Iba1 for ELISA, WB and IHC.
(5)
A104332
1 Citation
Anti-Iba1 Antibody
Rabbit polyclonal antibody to Iba1 for WB, ICC/IF and IHC.
(5)
A82670
1 Citation
Anti-Iba1 Antibody
Goat polyclonal antibody to Iba1 for ELISA, WB and IHC.
(5)
A104332
1 Citation
Anti-Iba1 Antibody
Rabbit polyclonal antibody to Iba1 for WB, ICC/IF and IHC.
Alternative products to Anti-AIF1 Antibody (A38890)
(8)
A83214
Anti-Iba1 Antibody
Goat polyclonal antibody to Iba1 for ELISA, Flow Cytometry, IF and IHC.
(7)
A307823
Anti-Iba1 Antibody [ARC2301]
Rabbit monoclonal [ARC2301] antibody to Iba1 for WB, IHC and ICC/IF.
(2)
A88463
Anti-Iba1 Antibody
Rabbit polyclonal antibody to Iba1 for WB, IHC and ICC/IF.
(3)
A333275
Anti-Iba1 Antibody
Chicken polyclonal antibody to Iba1 for WB, ICC/IF and IHC.
(5)
A251599
Anti-Iba1 Antibody [AIF1/1909] - BSA and Azide free
Mouse monoclonal [AIF1/1909] antibody to Iba1 for IHC-P.
(3)
A83222
Anti-Iba1 Antibody
Goat polyclonal antibody to Iba1 for ELISA, Flow Cytometry, IF and IHC.
(5)
A248417
Anti-Iba1 Antibody [AIF1/1909]
Mouse monoclonal [AIF1/1909] antibody to Iba1 for IHC-P.
(3)
A13488
Anti-Iba1 Antibody
Rabbit polyclonal antibody to Iba1 for WB and IHC.
A320074
Anti-AIF1 Antibody
Goat polyclonal antibody to AIF1 for WB, IHC-P and ELISA.
(3)
A248418
Anti-Iba1 Antibody [rAIF1/1909]
Recombinant mouse monoclonal [rAIF1/1909] antibody to Iba1 for IHC-P.
(3)
A251600
Anti-Iba1 Antibody [rAIF1/1909] - BSA and Azide free
Recombinant mouse monoclonal [rAIF1/1909] antibody to Iba1 for IHC-P.
(3)
A251601
Anti-Iba1 Antibody [AIF1/2493] - BSA and Azide free
Mouse monoclonal [AIF1/2493] antibody to Iba1 for IHC-P.
(8)
A83214
Anti-Iba1 Antibody
Goat polyclonal antibody to Iba1 for ELISA, Flow Cytometry, IF and IHC.
(7)
A307823
Anti-Iba1 Antibody [ARC2301]
Rabbit monoclonal [ARC2301] antibody to Iba1 for WB, IHC and ICC/IF.
(2)
A88463
Anti-Iba1 Antibody
Rabbit polyclonal antibody to Iba1 for WB, IHC and ICC/IF.
(3)
A333275
Anti-Iba1 Antibody
Chicken polyclonal antibody to Iba1 for WB, ICC/IF and IHC.
(5)
A251599
Anti-Iba1 Antibody [AIF1/1909] - BSA and Azide free
Mouse monoclonal [AIF1/1909] antibody to Iba1 for IHC-P.
(3)
A83222
Anti-Iba1 Antibody
Goat polyclonal antibody to Iba1 for ELISA, Flow Cytometry, IF and IHC.
(5)
A248417
Anti-Iba1 Antibody [AIF1/1909]
Mouse monoclonal [AIF1/1909] antibody to Iba1 for IHC-P.
(3)
A13488
Anti-Iba1 Antibody
Rabbit polyclonal antibody to Iba1 for WB and IHC.
A320074
Anti-AIF1 Antibody
Goat polyclonal antibody to AIF1 for WB, IHC-P and ELISA.
(3)
A248418
Anti-Iba1 Antibody [rAIF1/1909]
Recombinant mouse monoclonal [rAIF1/1909] antibody to Iba1 for IHC-P.
(3)
A251600
Anti-Iba1 Antibody [rAIF1/1909] - BSA and Azide free
Recombinant mouse monoclonal [rAIF1/1909] antibody to Iba1 for IHC-P.
(3)
A251601
Anti-Iba1 Antibody [AIF1/2493] - BSA and Azide free
Mouse monoclonal [AIF1/2493] antibody to Iba1 for IHC-P.
See all AIF1 Antibodies
Proteins predicted to interact with Iba1
Predicted protein interactions based upon String database. Revelancy score correlates with probability of interaction.
DAP12 Antibodies
94.3% Relevancy Score
GFAP Antibodies
91.3% Relevancy Score
NeuN Antibodies
90.9% Relevancy Score
CD68 Antibodies
87.1% Relevancy Score
CSF1R Antibodies
85.7% Relevancy Score
IL-1 beta Antibodies
85.1% Relevancy Score
C1QA Antibodies
84.7% Relevancy Score
TNF alpha Antibodies
84.6% Relevancy Score
CD11b Antibodies
84.3% Relevancy Score
Top