ISO 9001:2015 Certified
Live Customer Support
4.5/5 on Trustpilot
100% Quality Guarantee

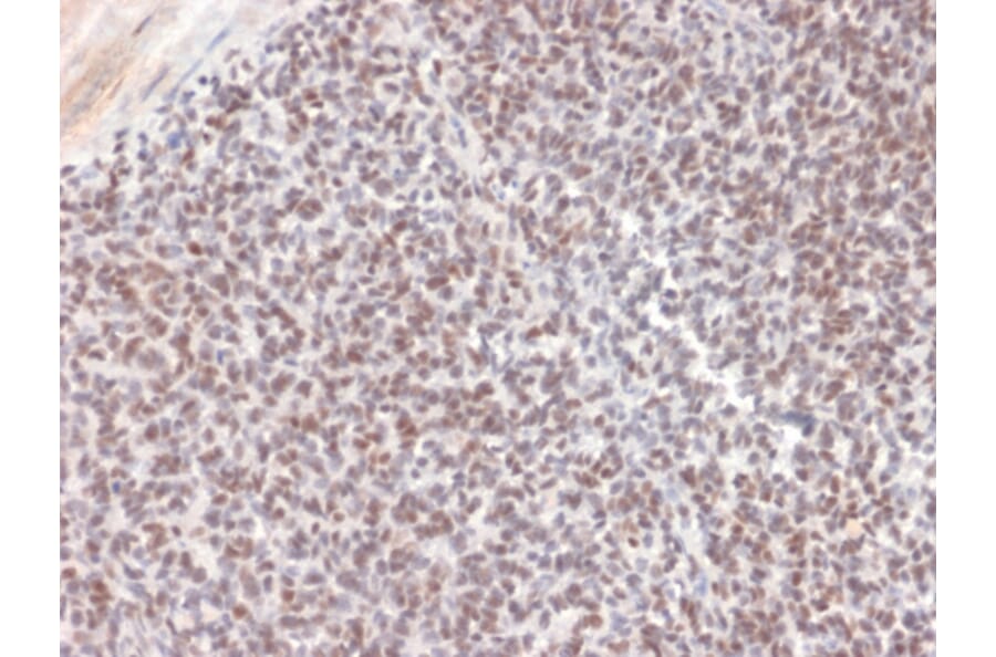
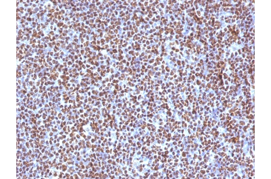
Anti-ALK Antibody [ALK/1504] - BSA and Azide free (A251807)

Mouse monoclonal [ALK/1504] antibody to ALK for IHC-P.

Alternative Formats and ConjugatesAlternative Formats

Shipping Information

$40
Dispatched from St. Louis, MO.
Lead Time: 5-8 business days.
Name
Anti-ALK Antibody [ALK/1504] - BSA and Azide free
Description
Mouse monoclonal [ALK/1504] antibody to ALK.
Specificity
The wild-type anaplastic lymphoma kinase (ALK) protein is a 200kDa transmembrane receptor tyrosine kinase. Its expression is restricted to a few scattered cells in the nervous system (some glial cells and neurons, and a few endothelial cells and pericytes. The hybrid gene,NPM-ALK, created by the t(2;5)(p23;q35) chromosomal translocation encodes part of the nucleolar phosphoprotein, nucleophosmin (NPM), joined to the entire cytoplasmic portion of the anaplastic lymphoma kinase (ALK) receptor tyrosine kinase. As a consequence, the ALK gene comes under the control of the NPM promoter, which induces a permanent and ubiquitous transcription of the NPM-ALK hybrid gene, resulting in the production of a 80kDa NPM-ALK chimeric protein. This translocation is found in anaplastic large cell lymphomas (ALCL). Reportedly, expression of ALK indicates a better prognosis. Approximately 5%-10% of non-small cell lung carcinomas also express ALK protein producing a cytoplasmic staining pattern. This MAb also reacts with blood vessels that serves as an internal positive control.
Applications
IHC-P
Dilutions
IHC-P: 1-2 µg/ml
Reactivity
Human
Immunogen
Recombinant fragment, around amino acids 200-335, of human ALK protein. The exact sequence is proprietary.
Host
Mouse
Clonality
Monoclonal
Clone ID
ALK/1504
Isotype
IgG2b
Light Chains
kappa
Conjugate

Unconjugated

Purification
Protein A/G chromatography.
Concentration
1 mg/ml
Molecular Weight
80 kDa (hybrid) / 200 kDa (wild type)
Product Form
Liquid
Formulation
Supplied in 10mM Phosphate Buffered Saline; without Sodium Azide and carrier free.
Storage
Shipped at 4°C. Upon delivery aliquot and store at -20°C. Avoid freeze / thaw cycles.
General Notes
This monoclonal antibody is also available in a different formulation with BSA and Sodium Azide - Anti-ALK Antibody [ALK/1504] (A248625).
Synonyms
ALK tyrosine kinase receptor, Anaplastic lymphoma kinase, CD246
Disclaimer
This product is for research use only. It is not intended for diagnostic or therapeutic use.
Publishing research using Anti-ALK Antibody [ALK/1504] - BSA and Azide free (A251807)? Please let us know so that we can list the citation on this page.

Alternative products to Anti-ALK Antibody [ALK/1504] - BSA and Azide free (A251807)

Proteins predicted to interact with ALK

Predicted protein interactions based upon String database. Revelancy score correlates with probability of interaction.
99.9% Relevancy Score
99.9% Relevancy Score
99.7% Relevancy Score
99.4% Relevancy Score
98.9% Relevancy Score
98.6% Relevancy Score
97.9% Relevancy Score
97.7% Relevancy Score
97.3% Relevancy Score