ISO 9001:2015 Certified
Live Customer Support
4.5/5 on Trustpilot
100% Quality Guarantee

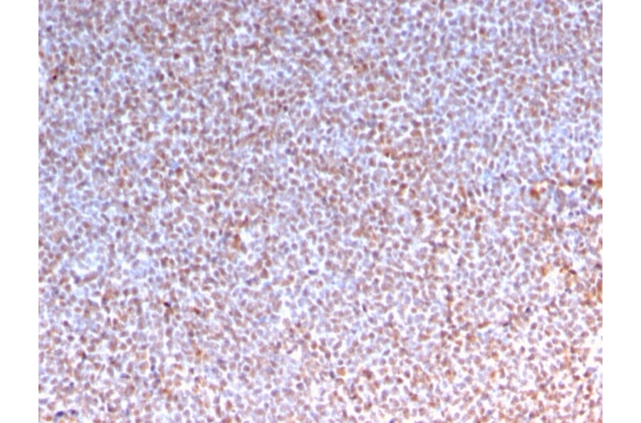
Recombinant Anti-ALK Antibody [ALK/3218R] (A248627)

Recombinant rabbit monoclonal [ALK/3218R] antibody to ALK for IHC-P.

Alternative Formats and ConjugatesAlternative Formats

Shipping Information

$40
Dispatched from St. Louis, MO.
Lead Time: 5-8 business days.
Name
Anti-ALK Antibody [ALK/3218R]
Description
Recombinant rabbit monoclonal [ALK/3218R] antibody to ALK.
Specificity
The wild-type anaplastic lymphoma kinase (ALK) protein is a 200kDa transmembrane receptor tyrosine kinase. Its expression is restricted to a few scattered cells in the nervous system (some glial cells and neurons, and a few endothelial cells and pericytes. The hybrid gene,NPM-ALK, created by the t(2;5)(p23;q35) chromosomal translocation encodes part of the nucleolar phosphoprotein, nucleophosmin (NPM), joined to the entire cytoplasmic portion of the anaplastic lymphoma kinase (ALK) receptor tyrosine kinase. As a consequence, the ALK gene comes under the control of the NPM promoter, which induces a permanent and ubiquitous transcription of the NPM-ALK hybrid gene, resulting in the production of a 80kDa NPM-ALK chimeric protein. This translocation is found in anaplastic large cell lymphomas (ALCL). Reportedly, expression of ALK indicates a better prognosis. Approximately 5%-10% of non-small cell lung carcinomas also express ALK protein producing a cytoplasmic staining pattern. This MAb also reacts with blood vessels that serves as an internal positive control.
Applications
IHC-P
Dilutions
IHC-P: 1-2 µg/ml
Reactivity
Human
Immunogen
Recombinant fragment, around amino acids 200-335, of human ALK protein. The exact sequence is proprietary.
Host
Rabbit
Clonality
Monoclonal
Clone ID
ALK/3218R
Isotype
IgG
Conjugate

Unconjugated

Purification
Protein A/G chromatography.
Concentration
200 µg/ml
Product Form
Liquid
Formulation
Supplied in 10mM Phosphate Buffered Saline with 0.05% BSA and 0.05% Sodium Azide.
Storage
Shipped at 4°C. Upon delivery aliquot and store at -20°C. Avoid freeze / thaw cycles.
General Notes
This monoclonal antibody is also available in a different formulation without BSA and Sodium Azide - Anti-ALK Antibody [ALK/3218R] - BSA and Azide free (A251809).
Synonyms
ALK tyrosine kinase receptor, Anaplastic lymphoma kinase, CD246
Disclaimer
This product is for research use only. It is not intended for diagnostic or therapeutic use.
Publishing research using Recombinant Anti-ALK Antibody [ALK/3218R] (A248627)? Please let us know so that we can list the citation on this page.

Alternative products to Anti-ALK Antibody [ALK/3218R] (A248627)

Proteins predicted to interact with ALK

Predicted protein interactions based upon String database. Revelancy score correlates with probability of interaction.
99.9% Relevancy Score
99.9% Relevancy Score
99.7% Relevancy Score
99.4% Relevancy Score
98.9% Relevancy Score
98.6% Relevancy Score
97.9% Relevancy Score
97.7% Relevancy Score
97.3% Relevancy Score