ISO 9001:2015 Certified
Live Customer Support
4.5/5 on Trustpilot
100% Quality Guarantee

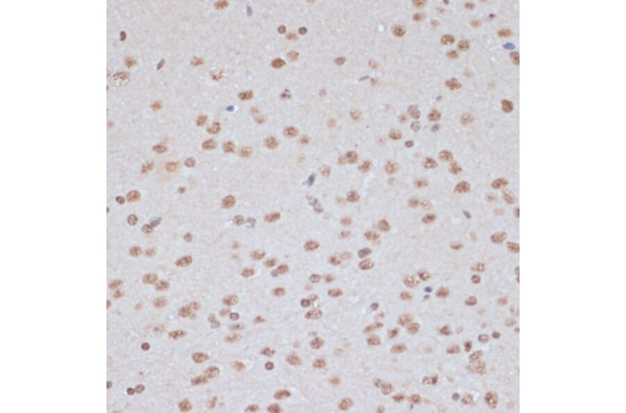
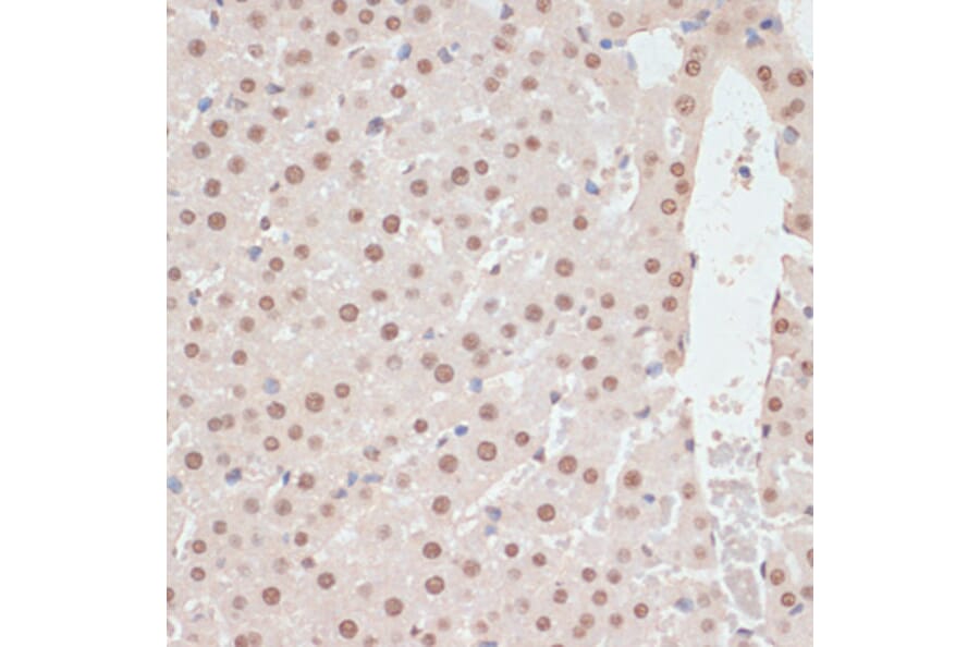
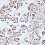
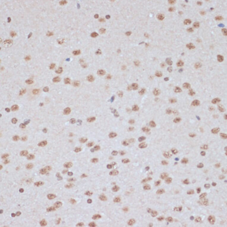
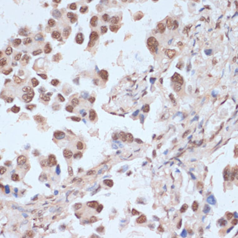
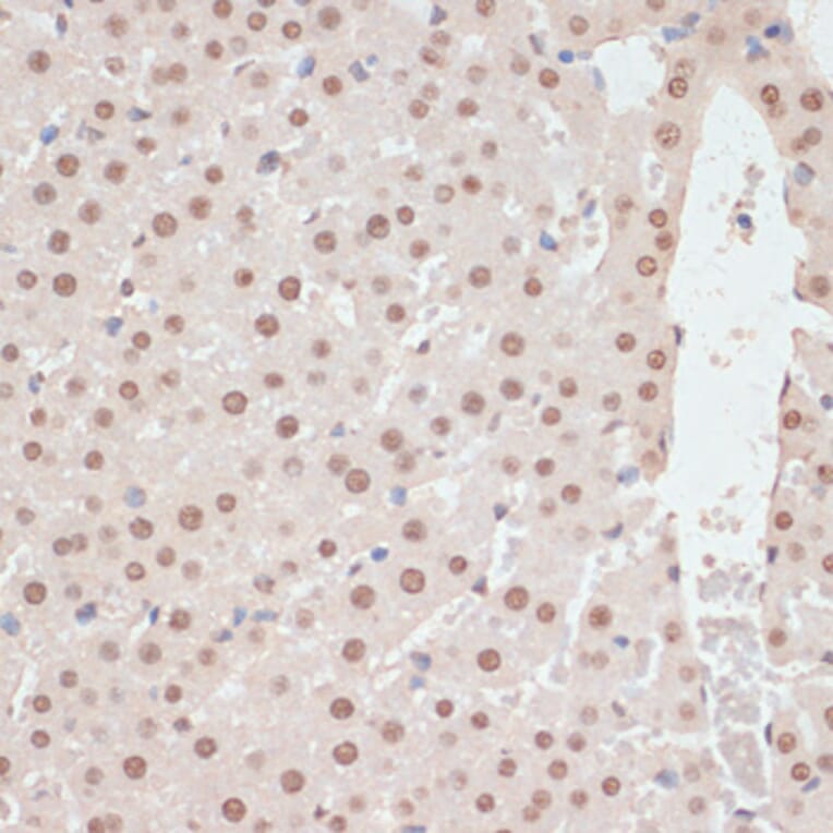
Anti-AMPK alpha 1 + AMPK alpha 2 (phospho Trp183 & phospho Trp172) Antibody (A16447)

$485

Rabbit polyclonal antibody to AMPK alpha 1 + AMPK alpha 2 (phospho Thr183 & phospho Thr172) for WB, IHC-P, IP and ELISA.

Shipping Information

$40
Dispatched from St. Louis, MO.
Lead Time: 7-10 business days.
Name
Anti-AMPK alpha 1 + AMPK alpha 2 (phospho Trp183 & phospho Trp172) Antibody
Description
Rabbit polyclonal antibody to AMPK alpha 1 + AMPK alpha 2 (phospho Thr183 & phospho Thr172).
Applications
WB, IHC-P, IP, ELISA
Positive Control
C2C12 treated by Hydrogen Peroxide, C2C12 treated by HGF, C6 treated by AICAR, 293T treated by Calyculin A.
Dilutions
WB: 1:500-1:1,000, IHC-P: 1:50-1:100, IP: 0.5µg-4µg antibody for 200µg-400µg extracts of whole cells, ELISA: 1 µg/ml (starting concentration)
Reactivity
Human, Mouse, Rat
Immunogen
A synthetic peptide phosphorylated at T172 of human AMPK alpha 1 + AMPK alpha 2.
Host
Rabbit
Clonality
Polyclonal
Isotype
IgG
Conjugate

Unconjugated

Purification
Affinity purification.
Concentration
Lot Specific
Molecular Weight
64 kDa / 62 kDa
Predicted MW
64 kDa, 65 kDa
Product Form
Liquid
Formulation
Supplied in Phosphate Buffered Saline, pH 7.3, with 50% Glycerol and 0.02% Sodium Azide.
Storage
Shipped at 4°C. Upon delivery aliquot and store at -20°C. Avoid freeze/thaw cycles.
Synonyms
5''-AMP-activated protein kinase catalytic subunit alpha-1, AAPK1_HUMAN, ACACA kinase, Acetyl-CoA carboxylase kinase, AMPK, AMPK alpha 1 chain, AMPK alpha 2 chain, AMPK subunit alpha-1, AMPK1, AMPK2, HMGCR kinase, Hydroxymethylglutaryl-CoA reductase kinase, PRKAA, PRKAA1, PRKAA2, Protein kinase AMP activated alpha 1 catalytic subunit, Protein kinase AMP activated alpha 2 catalytic subunit, Tau-protein kinase PRKAA1
Disclaimer
This product is for research use only. It is not intended for diagnostic or therapeutic use.
Publishing research using Anti-AMPK alpha 1 + AMPK alpha 2 (phospho Trp183 & phospho Trp172) Antibody (A16447)? Please let us know so that we can list the citation on this page.

Alternative products to Anti-AMPK alpha 1 + AMPK alpha 2 (phospho Trp183 & phospho Trp172) Antibody (A16447)