ISO 9001:2015 Certified
Live Customer Support
4.5/5 on Trustpilot
100% Quality Guarantee

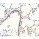
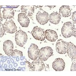
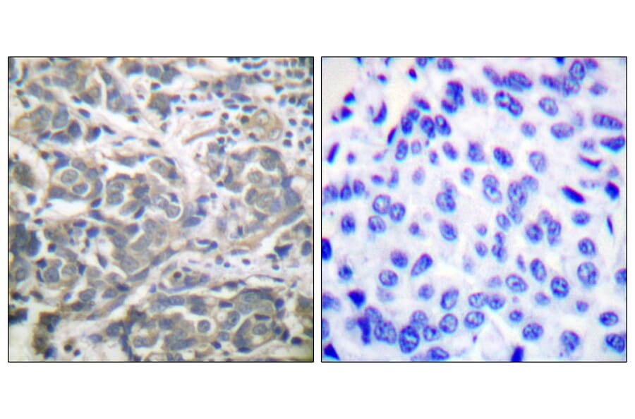
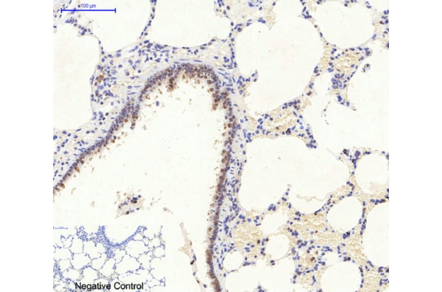
Anti-AMPK alpha Antibody (A95088)

Rabbit polyclonal antibody to AMPK alpha for WB, IHC, IF and ELISA.

Shipping Information

$40
Dispatched from St. Louis, MO.
Lead Time: 6-8 business days.
Name
Anti-AMPK alpha Antibody
Description
Rabbit polyclonal antibody to AMPK alpha.
Applications
WB, IHC, IF, ELISA
Dilutions
WB: 1:500~1:1000, IHC: 1:50~1:100, ELISA: 1:40000
Reactivity
Human, Mouse, Rat, Monkey, Bovine, Fish
Cross Reactivity
No reported cross-reactivity.
Immunogen
Synthetic peptide derived from human AMPK alpha (amino acids 140-189).
Host
Rabbit
Clonality
Polyclonal
Isotype
IgG
Conjugate

Unconjugated

Purification
Purified from rabbit serum by antigen affinity chromatography using the immunizing peptide.
Molecular Weight
62kDa
Product Form
Liquid
Formulation
Supplied in Phosphate Buffered Saline (without Mg2+ and Ca2+), pH 7.4, with 150mM NaCl, 0.02% Sodium Azide, and 50% Glycerol.
Storage
Shipped at 4°C. Upon delivery aliquot and store at -20°C. Avoid freeze / thaw cycles.
Synonyms
5''-AMP-activated protein kinase catalytic subunit alpha-1, AAPK1_HUMAN, ACACA kinase, Acetyl-CoA carboxylase kinase, AMPK, AMPK alpha 1 chain, AMPK alpha 2 chain, AMPK subunit alpha-1, AMPK1, AMPK2, HMGCR kinase, Hydroxymethylglutaryl-CoA reductase kinase, PRKAA, PRKAA1, PRKAA2, Protein kinase AMP activated alpha 1 catalytic subunit, Protein kinase AMP activated alpha 2 catalytic subunit, Tau-protein kinase PRKAA1
Disclaimer
This product is for research use only. It is not intended for diagnostic or therapeutic use.
Publishing research using Anti-AMPK alpha Antibody (A95088)? Please let us know so that we can list the citation on this page.

Alternative products to Anti-AMPK alpha Antibody (A95088)