ISO 9001:2015 Certified
Live Customer Support
4.5/5 on Trustpilot
100% Quality Guarantee

Anti-Aurora B Antibody [AURKB/1845] - BSA and Azide free (A253705)

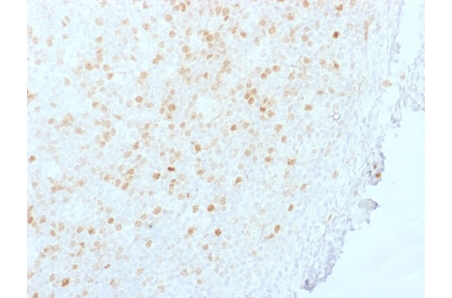
Mouse monoclonal [AURKB/1845] antibody to Aurora B for IHC-P.

Alternative Formats and ConjugatesAlternative Formats

Shipping Information

$40
Dispatched from St. Louis, MO.
Lead Time: 5-8 business days.
Name
Anti-Aurora B Antibody [AURKB/1845] - BSA and Azide free
Description
Mouse monoclonal [AURKB/1845] antibody to Aurora B.
Specificity
This antibody recognizes a protein of 39kDa, which is identified as Aurora B. The serine/threonine protein kinase aurora B (Aurora B) is a chromosomal passenger protein critical for accurate chromosome segregation, cytokinesis, protein localization to the centromere and kinetochore, correct microtubule-kinetochore attachment, and regulation of the mitotic checkpoint. Aurora B forms a tight complex with inner centrosome protein and survivin. Inactivation of any of these proteins causes similar defects in chromosome segregation. A significant overexpression of Aurora B has been found in a variety of human tumors including non-small cell lung carcinoma, astrocytoma, seminoma and carcinomas of the colon, prostate, endometrium and thyroid. The expression level of Aurora B is associated with cell proliferation and prognosis in these tumors.
Applications
IHC-P
Dilutions
IHC-P: 1-2 µg/ml
Reactivity
Human
Immunogen
Recombinant fragment, around amino acids 89-251, of human Aurora B protein. The exact sequence is proprietary.
Host
Mouse
Clonality
Monoclonal
Clone ID
AURKB/1845
Isotype
IgG1
Light Chains
kappa
Conjugate

Unconjugated

Purification
Protein A/G chromatography.
Concentration
1 mg/ml
Molecular Weight
39 kDa
Product Form
Liquid
Formulation
Supplied in 10mM Phosphate Buffered Saline; without Sodium Azide and carrier free.
Storage
Shipped at 4°C. Upon delivery aliquot and store at -20°C. Avoid freeze / thaw cycles.
General Notes
This monoclonal antibody is also available in a different formulation with BSA and Sodium Azide - Anti-Aurora B Antibody [AURKB/1845] (A250525).
Synonyms
AIK2, AIM-1, AIM1, AIRK2, ARK-2, ARK2, AURKB, Aurora 1, Aurora kinase B, Aurora- and IPL1-like midbody-associated protein 1, Aurora-related kinase 2, Aurora/IPL1-related kinase 2, Serine/threonine-protein kinase 12, STK-1, STK1, STK12, STK5
Disclaimer
This product is for research use only. It is not intended for diagnostic or therapeutic use.
Publishing research using Anti-Aurora B Antibody [AURKB/1845] - BSA and Azide free (A253705)? Please let us know so that we can list the citation on this page.

Alternative products to Anti-Aurora B Antibody [AURKB/1845] - BSA and Azide free (A253705)

Proteins predicted to interact with Aurora B

Predicted protein interactions based upon String database. Revelancy score correlates with probability of interaction.
99.9% Relevancy Score
99.9% Relevancy Score
99.9% Relevancy Score
99.9% Relevancy Score
99.8% Relevancy Score
99.7% Relevancy Score
99.7% Relevancy Score
99.7% Relevancy Score
99.6% Relevancy Score