ISO 9001:2015 Certified
Live Customer Support
4.5/5 on Trustpilot
100% Quality Guarantee

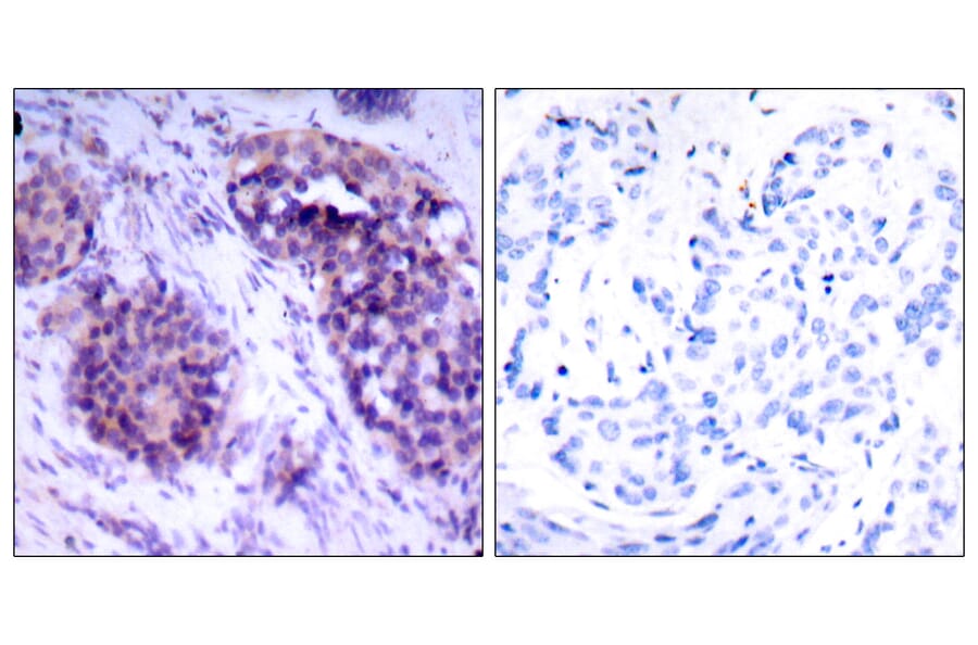
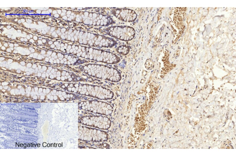
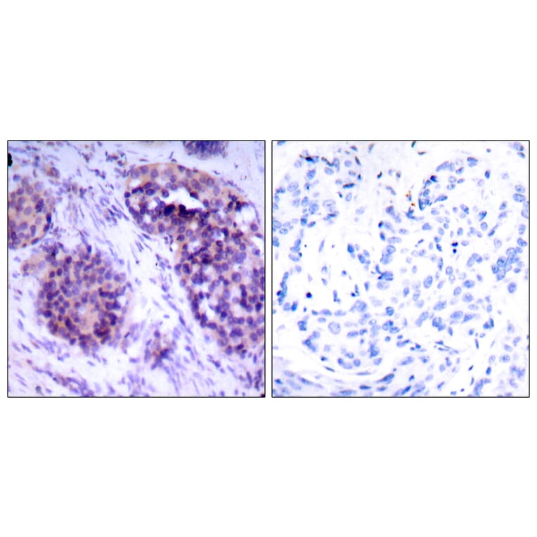
Anti-BCL-XL Antibody (A95638)

Rabbit polyclonal antibody to BCL-XL for WB, IHC and ELISA.

Shipping Information

$40
Dispatched from St. Louis, MO.
Lead Time: 6-8 business days.
Name
Anti-BCL-XL Antibody
Description
Rabbit polyclonal antibody to BCL-XL.
Applications
WB, IHC, ELISA
Dilutions
WB: 1:500-1:1000, IHC: 1:50-1:100, ELISA: 1:10000
Reactivity
Human, Mouse, Rat
Immunogen
Synthetic peptide derived from human BCL-XL (amino acids 28-77).
Host
Rabbit
Clonality
Polyclonal
Isotype
IgG
Conjugate

Unconjugated

Purification
Purified from rabbit serum by antigen affinity chromatography using the immunizing peptide.
Molecular Weight
26kDa
Product Form
Liquid
Formulation
Supplied in Phosphate Buffered Saline (without Mg2+ and Ca2+), pH 7.4, with 150mM NaCl, 0.02% Sodium Azide, and 50% Glycerol.
Storage
Shipped at 4°C. Upon delivery aliquot and store at -20°C. Avoid freeze / thaw cycles.
Synonyms
Apoptosis regulator Bcl X, Apoptosis regulator Bcl-X, Apoptosis regulator BclX, B cell lymphoma 2 like, B2CL1_HUMAN, Bcl 2 like 1 protein, Bcl X, Bcl xL, BCL XL/S, Bcl xS, Bcl-2-like protein 1, Bcl2 Like 1, Bcl2 related gene, Bcl2-L-1, BCL2L, Bcl2l1, BCLX, BclXL, BclXs, DKFZp781P2092, PPP1R52, Protein phosphatase 1 regulatory subunit 52
Disclaimer
This product is for research use only. It is not intended for diagnostic or therapeutic use.
Publishing research using Anti-BCL-XL Antibody (A95638)? Please let us know so that we can list the citation on this page.

Alternative products to Anti-BCL-XL Antibody (A95638)