ISO 9001:2015 Certified
Live Customer Support
4.5/5 on Trustpilot
100% Quality Guarantee

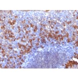
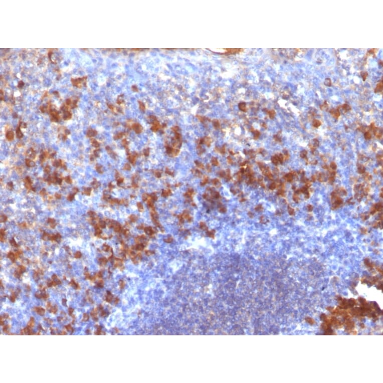
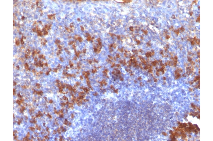
Anti-Biotin Antibody [SPM375] - BSA and Azide free (A254084)

Mouse monoclonal [SPM375] antibody to Biotin for Flow Cytometry, IF, WB and IHC-P.

Alternative Formats and ConjugatesAlternative Formats

Shipping Information

$40
Dispatched from St. Louis, MO.
Lead Time: 5-8 business days.
Name
Anti-Biotin Antibody [SPM375] - BSA and Azide free
Description
Mouse monoclonal [SPM375] antibody to Biotin.
Specificity
This antibody is highly specific to biotin and shows no cross-reaction with other structurally related compounds.
Applications
Flow Cytometry, IF, WB, IHC-P
Dilutions
Flow Cytometry: 1-2 µg/million cells, IF: 1-2 µg/ml, IHC-P: 1-2 µg/ml
Immunogen
Biotinylated sheep immunoglobulin.
Host
Mouse
Clonality
Monoclonal
Clone ID
SPM375
Isotype
IgG1
Light Chains
kappa
Conjugate

Unconjugated

Purification
Protein A/G chromatography.
Concentration
1 mg/ml
Molecular Weight
244Da
Product Form
Liquid
Formulation
Supplied in 10mM Phosphate Buffered Saline; without Sodium Azide and carrier free.
Storage
Shipped at 4°C. Upon delivery aliquot and store at -20°C. Avoid freeze / thaw cycles.
General Notes
This monoclonal antibody is also available in a different formulation with BSA and Sodium Azide - Anti-Biotin Antibody [SPM375] (A250904).
Disclaimer
This product is for research use only. It is not intended for diagnostic or therapeutic use.
Publishing research using Anti-Biotin Antibody [SPM375] - BSA and Azide free (A254084)? Please let us know so that we can list the citation on this page.

Alternative products to Anti-Biotin Antibody [SPM375] - BSA and Azide free (A254084)