ISO 9001:2015 Certified
Live Customer Support
4.5/5 on Trustpilot
100% Quality Guarantee

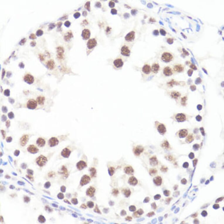
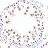
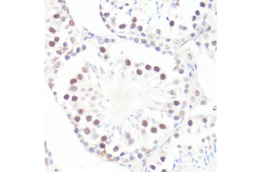
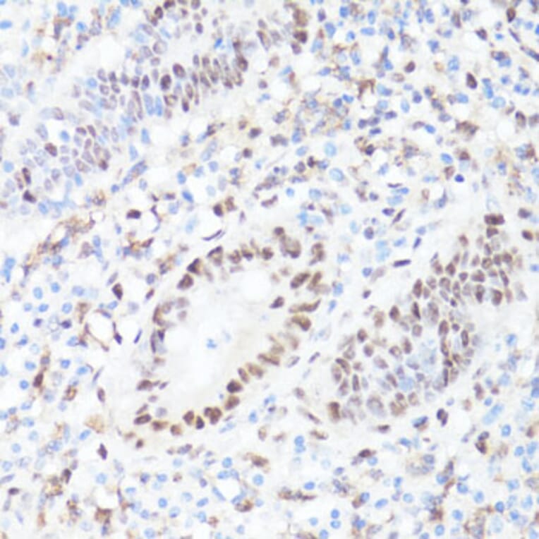
Anti-c-Myc (phospho Ser62) Antibody (A12455)

Rabbit polyclonal antibody to c-Myc (phospho Ser62) for WB and IHC.

Shipping Information

$40
Dispatched from St. Louis, MO.
Lead Time: 7-10 business days.
Name
Anti-c-Myc (phospho Ser62) Antibody
Description
Rabbit polyclonal antibody to c-Myc (phospho Ser62).
Applications
WB, IHC
Dilutions
WB: 1:500-1:1,000, IHC: 1:50-1:200
Reactivity
Human, Mouse, Rat
Immunogen
A phospho specific peptide corresponding to residues surrounding S62 of human MYC.
Host
Rabbit
Clonality
Polyclonal
Isotype
IgG
Conjugate

Unconjugated

Purification
Affinity purification.
Concentration
Lot Specific
Molecular Weight
62 kDa
Product Form
Liquid
Formulation
Supplied in Phosphate Buffered Saline, pH 7.3, with 50% Glycerol and 0.01% Thiomersal.
Storage
Shipped at 4°C. Upon delivery aliquot and store at -20°C. Avoid freeze/thaw cycles.
Synonyms
BHLHE39, Class E basic helix-loop-helix protein 39, MYC, Myc proto-oncogene protein, Proto-oncogene c-Myc, Transcription factor p64
Disclaimer
This product is for research use only. It is not intended for diagnostic or therapeutic use.
Publishing research using Anti-c-Myc (phospho Ser62) Antibody (A12455)? Please let us know so that we can list the citation on this page.

Most popular Anti-c-Myc Antibodies

Alternative products to Anti-c-Myc (phospho Ser62) Antibody (A12455)

Proteins predicted to interact with c-Myc

Predicted protein interactions based upon String database. Revelancy score correlates with probability of interaction.
99.9% Relevancy Score
99.9% Relevancy Score
99.9% Relevancy Score
99.9% Relevancy Score
99.9% Relevancy Score
99.9% Relevancy Score
99.8% Relevancy Score
99.8% Relevancy Score
99.7% Relevancy Score