ISO 9001:2015 Certified
Live Customer Support
4.5/5 on Trustpilot
100% Quality Guarantee

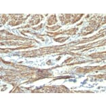
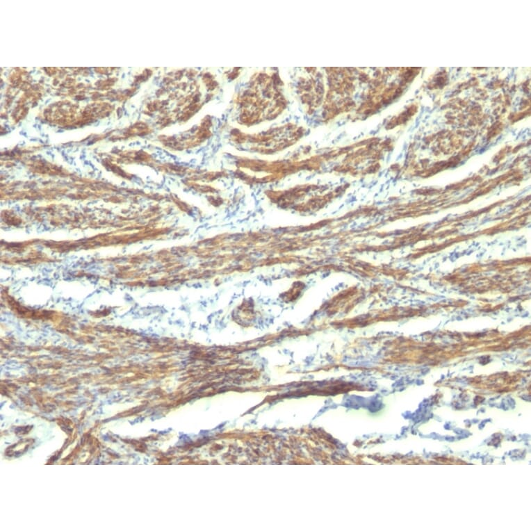
Anti-Caldesmon Antibody [CALD1/820 + h-CALD] (A250383)

Mouse monoclonal [CALD1/820 + h-CALD] antibody to Caldesmon for IHC-P.

Alternative Formats and ConjugatesAlternative Formats

Shipping Information

$40
Dispatched from St. Louis, MO.
Lead Time: 5-8 business days.
Name
Anti-Caldesmon Antibody [CALD1/820 + h-CALD]
Description
Mouse monoclonal [CALD1/820 + h-CALD] antibody to Caldesmon.
Specificity
This antibody recognizes a protein of 150kDa, which is identified as the high molecular weight variant of Caldesmon. Two closely related variants of human caldesmon have been identified which are different in their electrophoretic mobility and cellular distribution. The h-caldesmon variant (120'150kDa) is predominantly expressed in smooth muscle whereas l-caldesmon (70'80kDa) is found in non- muscle tissue and cells. Neither of the two variants has been detected in skeletal muscle. This antibody recognizes only the 150kDa variant (h-caldesmon) in Western blots of human aortic media extracts and is unreactive with fibroblast extracts from cultivated human foreskin. Caldesmon is a developmentally regulated protein involved in smooth muscle and non-muscle contraction.
Applications
IHC-P
Dilutions
IHC-P: 0.25-0.5 µg/ml
Reactivity
Human
Immunogen
Clone CALD1/820: Recombinant full-length human CALD1 protein. Clone h-CALD: Crude human uterus extract.
Host
Mouse
Clonality
Oligoclonal
Clone ID
CALD1/820 + h-CALD
Isotype
IgG1, kappa + IgG1, kappa
Conjugate

Unconjugated

Purification
Protein A/G chromatography.
Concentration
200 µg/ml
Molecular Weight
150 kDa
Product Form
Liquid
Formulation
Supplied in 10mM Phosphate Buffered Saline with 0.05% BSA and 0.05% Sodium Azide.
Storage
Shipped at 4°C. Upon delivery aliquot and store at -20°C. Avoid freeze / thaw cycles.
General Notes

Please note, this product is an oligoclonal antibody; it is a cocktail of monoclonal antibodies that have been carefully selected. Oligoclonal antibodies not only have the specificity and batch-to-batch consistency of a monoclonal antibody, but they also have the advantage of the sensitivity of a polyclonal antibody due to their ability to recognize multiple epitopes on an antigen.

This oligoclonal antibody is also available in a different formulation without BSA and Sodium Azide - Anti-Caldesmon Antibody [CALD1/820 + h-CALD] - BSA and Azide free (A253563).

Synonyms
CAD, CALD1, CDM
Disclaimer
This product is for research use only. It is not intended for diagnostic or therapeutic use.
Publishing research using Anti-Caldesmon Antibody [CALD1/820 + h-CALD] (A250383)? Please let us know so that we can list the citation on this page.

Alternative products to Anti-Caldesmon Antibody [CALD1/820 + h-CALD] (A250383)

Proteins predicted to interact with Caldesmon

Predicted protein interactions based upon String database. Revelancy score correlates with probability of interaction.
99.6% Relevancy Score
99.6% Relevancy Score
95% Relevancy Score
94.6% Relevancy Score
92.6% Relevancy Score
89.4% Relevancy Score
86.7% Relevancy Score
84.4% Relevancy Score
83.2% Relevancy Score