Western blot analysis of extracts of HT-29 cells, using Anti-CD133 Antibody (A305371) at 1:400 dilution. The secondary antibody was Goat Anti-Rabbit IgG H&L Antibody (HRP) at 1:10,000 dilution. Lysates/proteins were present at 25µg per lane. The blocking buffer used was 3% non-fat dry milk in TBST. Detection was with a ECL Basic Kit. Exposure time: 90s.
Western blot analysis of extracts from wild type(WT) and PROM1 knockdown (KD) HCT116 cells, using Anti-CD133 Antibody (A305371) at 1:400 dilution. The secondary antibody was Goat Anti-Rabbit IgG H&L Antibody (HRP) at 1:10,000 dilution. Lysates/proteins were present at 25µg per lane. The blocking buffer used was 3% non-fat dry milk in TBST. Detection was with a ECL Basic Kit. Exposure time: 90s.
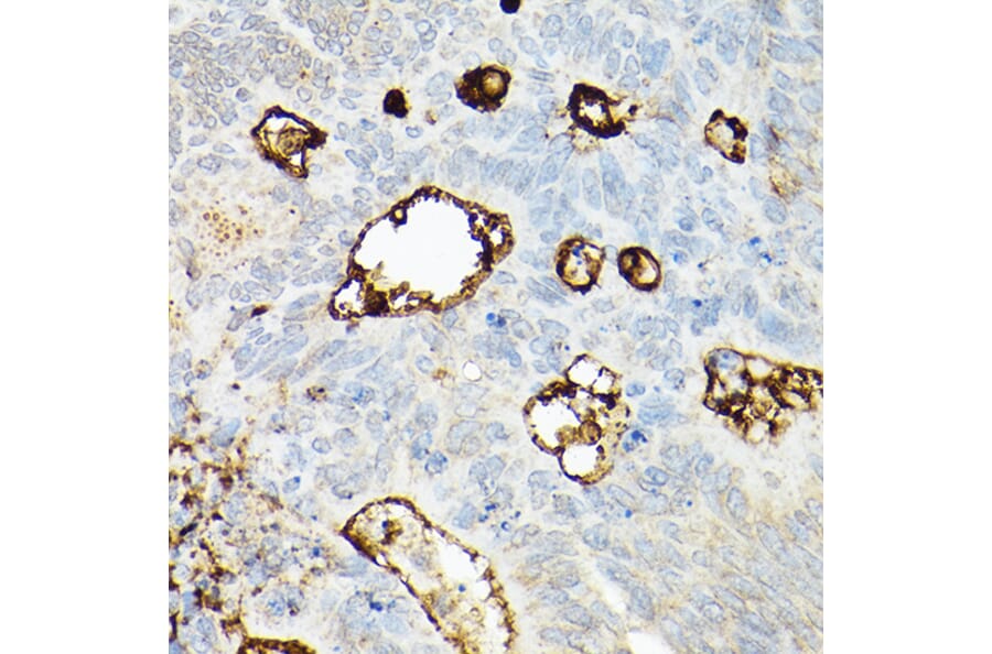
Immunohistochemistry analysis of paraffin-embedded human colon carcinoma tissue using Anti-CD133 Antibody (A305371) at a dilution of 1:200 (40x lens). Perform high pressure antigen retrieval with 10 mM citrate buffer pH 6.0 before commencing with IHC staining protocol.
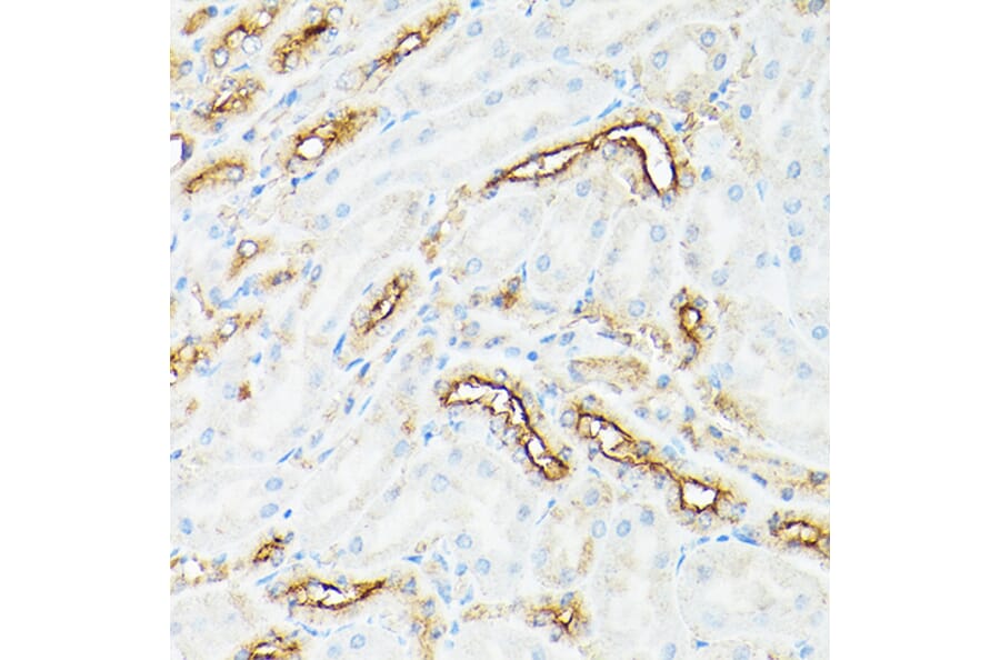
Immunohistochemistry analysis of paraffin-embedded rat kidney using Anti-CD133 Antibody (A305371) at a dilution of 1:200 (40x lens). Perform high pressure antigen retrieval with 10 mM citrate buffer pH 6.0 before commencing with IHC staining protocol.
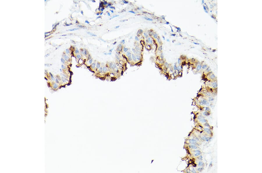
Immunohistochemistry analysis of paraffin-embedded rat lung using Anti-CD133 Antibody (A305371) at a dilution of 1:200 (40x lens). Perform high pressure antigen retrieval with 10 mM citrate buffer pH 6.0 before commencing with IHC staining protocol.
Immunofluorescence analysis of HT-29 cells using Anti-CD133 Antibody (A305371) at a dilution of 1:100 (40x lens). DAPI was used to stain the cell nuclei (blue).
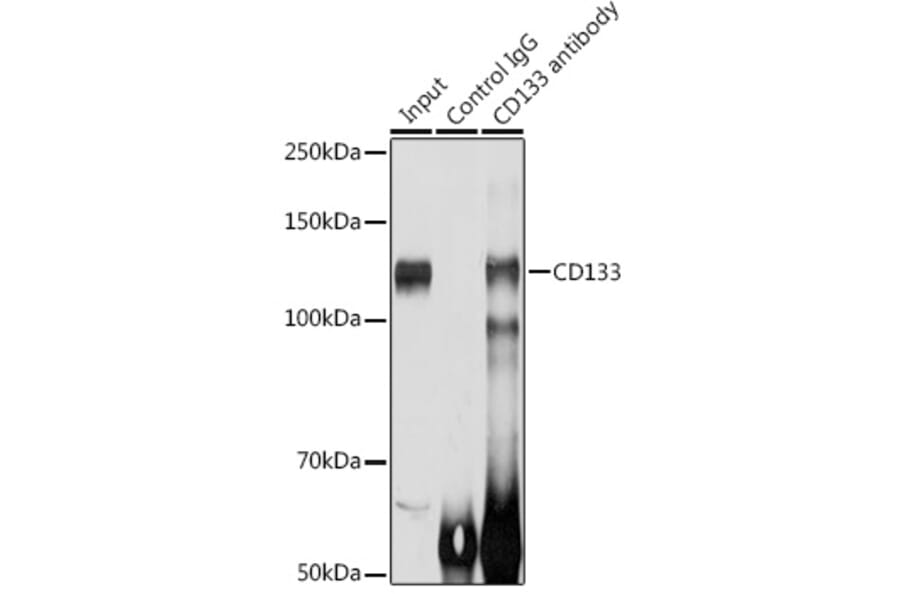
Immunoprecipitation analysis of 200µg extracts of HT-29 cells using 3µg of Anti-CD133 Antibody (A305371). This Western blot was performed on the immunoprecipitate using Anti-CD133 Antibody (A305371) at a dilution of 1:1000.
Recombinant human monoclonal antibody to CD133 for use as a research grade CMab-43 biosimilar for ELISA, Flow Cytometry, Functional Studies and in vivo Research.
Recombinant human monoclonal antibody to CD133 for use as a research grade CMab-43 biosimilar for ELISA, Flow Cytometry, Functional Studies and in vivo Research.