Western blot analysis of extracts of various cell lines, using Anti-CD146 Antibody (A88042) at 1:500 dilution. The secondary antibody was Goat Anti-Rabbit IgG H&L Antibody (HRP) at 1:10,000 dilution. Lysates/proteins were present at 25µg per lane. The blocking buffer used was 3% non-fat dry milk in TBST. Detection was with a ECL Basic Kit. Exposure time: 180s.
Western blot analysis of extracts of various cell lines, using Anti-CD146 Antibody (A88042) at 1:500 dilution. The secondary antibody was Goat Anti-Rabbit IgG H&L Antibody (HRP) at 1:10,000 dilution. Lysates/proteins were present at 25µg per lane. The blocking buffer used was 3% non-fat dry milk in TBST. Detection was with a ECL Enhanced Kit. Exposure time: 180s.
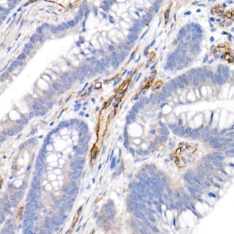
Immunohistochemistry analysis of paraffin-embedded human colon carcinoma tissue using Anti-CD146 Antibody (A88042) at a dilution of 1:20 (40x lens). Perform high pressure antigen retrieval with 10 mM citrate buffer pH 6.0 before commencing with IHC staining protocol.
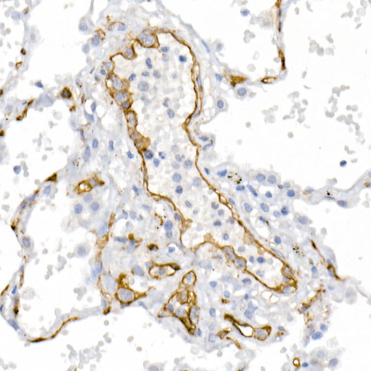
Immunohistochemistry analysis of paraffin-embedded human lung cancer using Anti-CD146 Antibody (A88042) at a dilution of 1:20 (40x lens). Perform high pressure antigen retrieval with 10 mM citrate buffer pH 6.0 before commencing with IHC staining protocol.
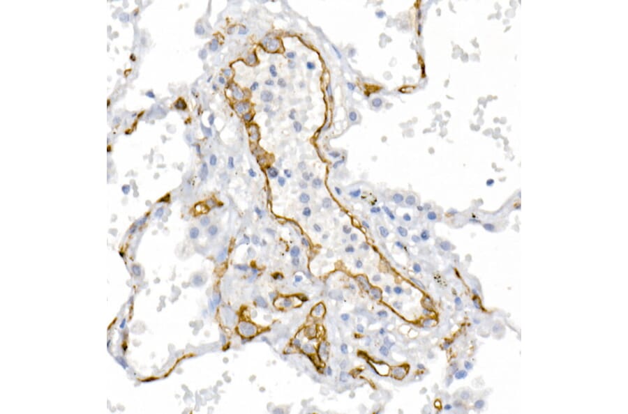
Immunohistochemistry analysis of paraffin-embedded human lung using Anti-CD146 Antibody (A88042) at a dilution of 1:20 (40x lens). Perform high pressure antigen retrieval with 10 mM citrate buffer pH 6.0 before commencing with IHC staining protocol.
Immunofluorescence analysis of A375 cells using Anti-CD146 Antibody (A88042) at a dilution of 1:50 (40x lens). DAPI was used to stain the cell nuclei (blue).
Immunofluorescence analysis of HeLa cells using Anti-CD146 Antibody (A88042) at a dilution of 1:50 (40x lens). DAPI was used to stain the cell nuclei (blue).
Recombinant human monoclonal antibody to CD146 for use as a research grade Abx-Ma1 biosimilar for ELISA, Flow Cytometry, Functional Studies and in vivo Research.
Recombinant humanized monoclonal antibody to CD146 for use as a research grade Imaprelimab biosimila for ELISA, Flow Cytometry, Functional Studies and in vivo Research.
Recombinant human monoclonal antibody to CD146 for use as a research grade Abx-Ma1 biosimilar for ELISA, Flow Cytometry, Functional Studies and in vivo Research.
Recombinant humanized monoclonal antibody to CD146 for use as a research grade Imaprelimab biosimila for ELISA, Flow Cytometry, Functional Studies and in vivo Research.