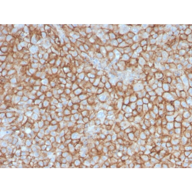
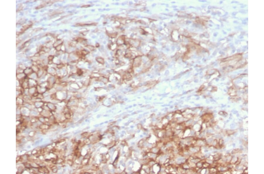
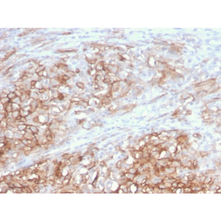
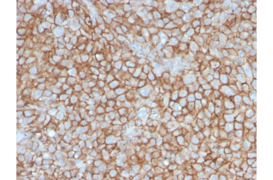
Anti-CD146 Antibody [MCAM/3046] - BSA and Azide free
Description
Mouse monoclonal [MCAM/3046] antibody to CD146.
Specificity
The human Mel-CAM gene maps to chromosome 11q23 and encodes a trans-membrane glycoprotein, also designated MCAM, MUC 18 or CD146, that belongs to the immunoglobulin superfamily and functions as a Ca2+-independent cell adhesion molecule. Mel-CAM expression is restricted to advanced primary and metastatic melanomas and to cell lines of the neuroectodermal lineage, but not normal melanocytes. Mel-CAM is found on 80% of advanced primary human melanomas and correlates well with development of metastatic disease.
Applications
IHC-P
Dilutions
IHC-P: 1-2 µg/ml
Reactivity
Human
Immunogen
Recombinant fragment, around amino acids 226-374, of human MCAM protein. The exact sequence is proprietary.
Host
Mouse
Clonality
Monoclonal
Clone ID
MCAM/3046
Isotype
IgG1
Light Chains
kappa
Conjugate
Unconjugated
Purification
Protein A/G chromatography.
Concentration
1 mg/ml
Molecular Weight
130 kDa
Product Form
Liquid
Formulation
Supplied in 10mM Phosphate Buffered Saline; without Sodium Azide and carrier free.
Storage
Shipped at 4°C. Upon delivery aliquot and store at -20°C. Avoid freeze / thaw cycles.
SDS-PAGE analysis of Anti-CD146 Antibody [MCAM/3046] under non-reduced and reduced conditions; showing intact IgG and intact heavy and light chains, respectively. SDS-PAGE analysis confirms the integrity and purity of the antibody.
Anti-CD146 Antibody [MCAM/3046] - BSA and Azide free (A252475)
Analysis of protein array containing more than 19,000 full-length human proteins using Anti-CD146 Antibody [MCAM/3046]. Z-Score and S- Score: The Z-score represents the strength of a signal that a monoclonal antibody (MAb) (in combination with a fluorescently-tagged anti-IgG secondary antibody) produces when binding to a particular protein on the HuProtTM array. Z-scores are described in units of standard deviations (SD's) above the mean value of all signals generated on that array. If targets on HuProtTM are arranged in descending order of the Z-score, the S-score is the difference (also in units of SD's) between the Z-score. S-score therefore represents the relative target specificity of a MAb to its intended target; a MAb is considered to be specific to its intended target, if the MAb has an S-score of at least 2.5. For example, if a MAb binds to protein X with a Z-score of 43 and to protein Y with a Z-score of 14, then the S-score for the binding of that MAb to protein X is equal to 29.
Publishing research using Anti-CD146 Antibody [MCAM/3046] - BSA and Azide free (A252475)? Please let us know so that we can list the citation on this page.
Alternative products to Anti-CD146 Antibody [MCAM/3046] - BSA and Azide free (A252475)
Recombinant human monoclonal antibody to CD146 for use as a research grade Abx-Ma1 biosimilar for ELISA, Flow Cytometry, Functional Studies and in vivo Research.
Recombinant human monoclonal antibody to CD146 for use as a research grade Anti-Human CD146 Antibody for ELISA, Flow Cytometry, Functional Studies and in vivo Research.
Recombinant human monoclonal antibody to CD146 for use as a research grade Abx-Ma1 biosimilar for ELISA, Flow Cytometry, Functional Studies and in vivo Research.
Recombinant human monoclonal antibody to CD146 for use as a research grade Anti-Human CD146 Antibody for ELISA, Flow Cytometry, Functional Studies and in vivo Research.