ISO 9001:2015 Certified
Live Customer Support
4.5/5 on Trustpilot
100% Quality Guarantee

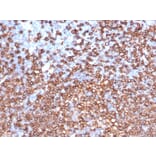
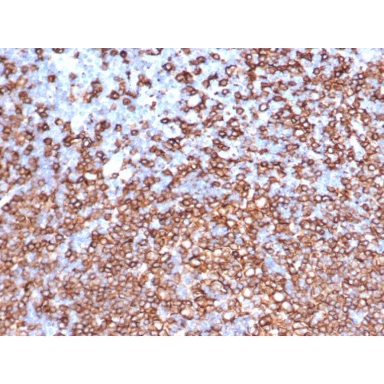
Recombinant Anti-CD20 Antibody [IGEL/6850R] (A278096)

Recombinant rabbit monoclonal [IGEL/6850R] antibody to CD20 for WB and IHC-P.

Alternative Formats and ConjugatesAlternative Formats

Shipping Information

$40
Dispatched from St. Louis, MO.
Lead Time: 5-8 business days.
Name
Anti-CD20 Antibody [IGEL/6850R]
Description
Recombinant rabbit monoclonal [IGEL/6850R] antibody to CD20.
Specificity
This antibody recognizes a protein of 30-33kDa, which is identified as CD20. It is a non-Ig differentiation antigen of B-cells and its expression is restricted to normal and neoplastic B-cells, being absent from all other leukocytes and tissues. CD20 is expressed by pre B-cells and persists during all stages of B-cell maturation but is lost upon terminal differentiation into plasma cells. This MAb can be used for immunophenotyping of leukemia and malignant cells, B lymphocyte detection in peripheral blood and B cell localization in tissues. It reacts with the majority of B-cells present in peripheral blood and lymphoid tissues and their derived lymphomas. In lymphoid tissue, germinal center blasts and B-immunoblasts are particularly reactive. It is a reliable antibody for ascribing a B-cell phenotype in known lymphoid tissues. Rarely, CD20-positive T-cell lymphomas have been reported. Reactivity has also been noted with Reed-Sternberg cells in cases of Hodgkin s disease, particularly of lymphocyte predominant type.
Applications
WB, IHC-P
Dilutions
WB: 2-4 µg/ml, IHC-P: 1-2 µg/ml
Reactivity
Human, Canine
Cross Reactivity
This antibody is predicted to cross react with Monkey, Baboon, Gorilla, and Chimpanzee.
Immunogen
Synthetic peptide corresponding to the C terminus (cytoplasmic domain), around amino acids 266-297, of human CD20 protein. The exact sequence is proprietary.
Host
Rabbit
Clonality
Monoclonal
Clone ID
IGEL/6850R
Isotype
IgG
Conjugate

Unconjugated

Purification
Protein A chromatography.
Concentration
200 µg/ml
Molecular Weight
33-37 kDa
Product Form
Liquid
Formulation
Supplied in 10mM Phosphate Buffered Saline with 0.05% BSA and 0.05% Sodium Azide.
Storage
Shipped at 4°C. Upon delivery aliquot and store at -20°C. Avoid freeze / thaw cycles.
General Notes
This monoclonal antibody is also available in a different formulation without BSA and Sodium Azide - Anti-CD20 Antibody [IGEL/6850R] - BSA and Azide free (A278684).
Synonyms
B-lymphocyte antigen CD20, B-lymphocyte surface antigen B1, Bp35, Leukocyte surface antigen Leu-16, Membrane-spanning 4-domains subfamily A member 1, MS4A1
Disclaimer
This product is for research use only. It is not intended for diagnostic or therapeutic use.
Publishing research using Recombinant Anti-CD20 Antibody [IGEL/6850R] (A278096)? Please let us know so that we can list the citation on this page.

Alternative products to Anti-CD20 Antibody [IGEL/6850R] (A278096)

Proteins predicted to interact with CD20

Predicted protein interactions based upon String database. Revelancy score correlates with probability of interaction.
97.6% Relevancy Score
93.5% Relevancy Score
92.8% Relevancy Score
88.9% Relevancy Score
87.9% Relevancy Score
87.5% Relevancy Score
83.7% Relevancy Score
82.6% Relevancy Score
82% Relevancy Score