ISO 9001:2015 Certified
Live Customer Support
4.5/5 on Trustpilot
100% Quality Guarantee

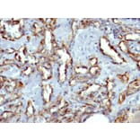
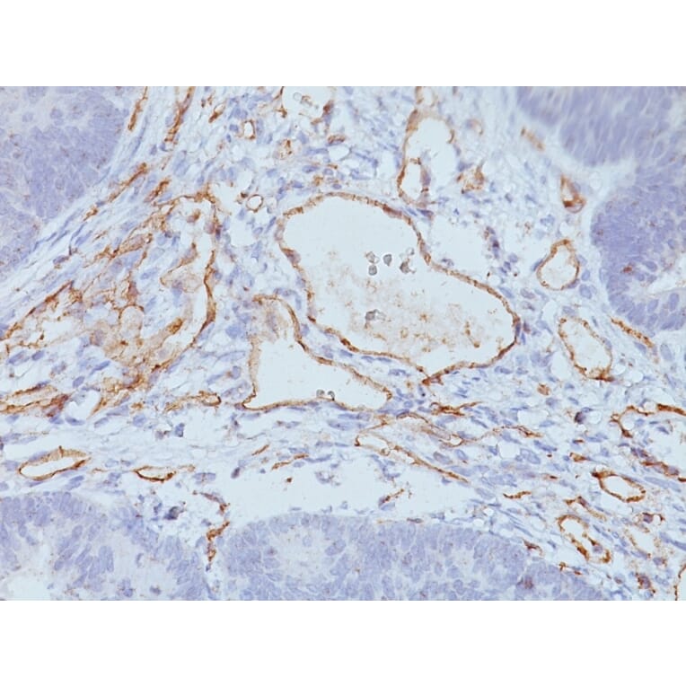
Anti-CD31 Antibody [C31.3 + JC/70A] - BSA and Azide free (A278329)

Mouse monoclonal [C31.3 + JC/70A] antibody to CD31 for WB and IHC-P.

Alternative Formats and ConjugatesAlternative Formats

Shipping Information

$40
Dispatched from St. Louis, MO.
Lead Time: 5-8 business days.
Name
Anti-CD31 Antibody [C31.3 + JC/70A] - BSA and Azide free
Description
Mouse monoclonal [C31.3 + JC/70A] antibody to CD31.
Specificity
CD31 (PECAM-1) is a transmembrane glycoprotein member of the immunoglobulin supergene family of adhesion molecules. CD31 is expressed by stem cells of the hematopoietic system and is primarily used to identify and concentrate these cells for experimental studies as well as for bone marrow transplantation. Anti-CD31 has shown to be highly specific and sensitive for vascular endothelial cells. Staining of nonvascular tumors (excluding hematopoietic neoplasms) is rare. CD31 MAb reacts with normal, benign, and malignant endothelial cells which make up blood vessel lining. The level of CD31 expression can help to determine the degree of tumor angiogenesis, and a high level of CD31 expression may imply a rapidly growing tumor and potentially a predictor of tumor recurrence.
Applications
WB, IHC-P
Dilutions
WB: 1-2 µg/ml, IHC-P: 1-2 µg/ml
Reactivity
Human, Cynomolgus Monkey, Rabbit
Immunogen
Clone C31.3: Recombinant full-length human CD31 protein. Clone JC/70A: Membrane preparation of a spleen from a patient with hairy cell leukemia.
Host
Mouse
Clonality
Oligoclonal
Clone ID
C31.3 + JC/70A
Isotype
IgG1, kappa + IgG1, kappa
Conjugate

Unconjugated

Purification
Protein A/G chromatography.
Concentration
1 mg/ml
Molecular Weight
~100 kDa (endothelium) / ~130 kDa (platelets)
Product Form
Liquid
Formulation
Supplied in 10mM Phosphate Buffered Saline; without Sodium Azide and carrier free.
Storage
Shipped at 4°C. Upon delivery aliquot and store at -20°C. Avoid freeze / thaw cycles.
General Notes

Please note, this product is an oligoclonal antibody; it is a cocktail of monoclonal antibodies that have been carefully selected. Oligoclonal antibodies not only have the specificity and batch-to-batch consistency of a monoclonal antibody, but they also have the advantage of the sensitivity of a polyclonal antibody due to their ability to recognize multiple epitopes on an antigen.

This oligoclonal antibody is also available in a different formulation with BSA and Sodium Azide - Anti-CD31 Antibody [C31.3 + JC/70A] (A277741).

Synonyms
EndoCAM, GPIIA', PECA1, PECAM-1, PECAM1, Platelet endothelial cell adhesion molecule
Disclaimer
This product is for research use only. It is not intended for diagnostic or therapeutic use.
Publishing research using Anti-CD31 Antibody [C31.3 + JC/70A] - BSA and Azide free (A278329)? Please let us know so that we can list the citation on this page.

Most popular Anti-CD31 Antibodies

Alternative products to Anti-CD31 Antibody [C31.3 + JC/70A] - BSA and Azide free (A278329)

Proteins predicted to interact with CD31

Predicted protein interactions based upon String database. Revelancy score correlates with probability of interaction.
99.9% Relevancy Score
99.9% Relevancy Score
99.9% Relevancy Score
99.8% Relevancy Score
99.8% Relevancy Score
99.5% Relevancy Score
99.2% Relevancy Score
97.9% Relevancy Score
95.9% Relevancy Score