ISO 9001:2015 Certified
Live Customer Support
4.5/5 on Trustpilot
100% Quality Guarantee

Anti-CD40L Antibody [CD40LG/4675] - BSA and Azide free (A278444)

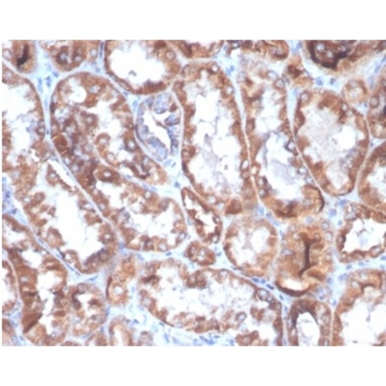
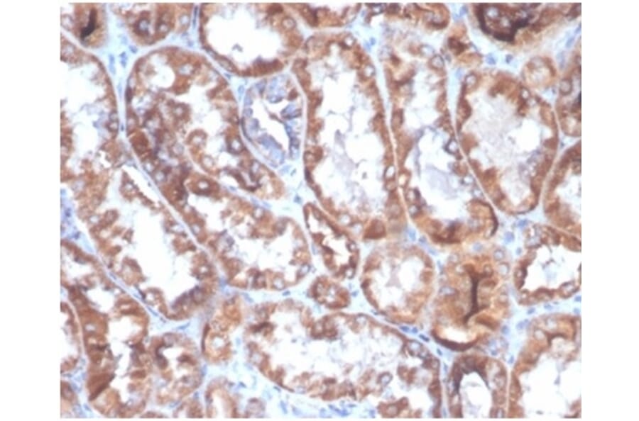
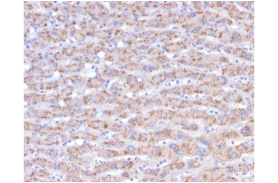
Mouse monoclonal [CD40LG/4675] antibody to CD40L for IHC-P.

Alternative Formats and ConjugatesAlternative Formats

Shipping Information

$40
Dispatched from St. Louis, MO.
Lead Time: 5-8 business days.
Name
Anti-CD40L Antibody [CD40LG/4675] - BSA and Azide free
Description
Mouse monoclonal [CD40LG/4675] antibody to CD40L.
Specificity
CD40LG expression is mainly confined to the CD4-positive-T-cell subset. Its expression is induced shortly after T-cell activation and represents an early activation marker of T lymphocytes. CD40 is constitutively expressed mainly on B cells, macrophages, and dendritic cells. The CD40-CD40L pathway has been shown to play multiple functional roles in the healthy immune system. It enhances the antigen-specific T-cell response through the activation of dendritic cells and the induction of interleukin-12 production. For example, engagement of CD40 on endothelial cells by activated T cells expressing CD40L leads to upregulation of adhesion molecules such as ICAM-1, VCAM-1, and E-selectin. Activation of APC by CD40-CD40L interaction induces the production of inflammatory cytokines, chemokines, NO, and metalloproteinases. Interaction of CD4-positiveCD40LG-positiveT cells with CD40 on B cells leads to B-cell differentiation, proliferation, immunoglobulin (Ig) isotype switching, and formation of memory B cells.
Applications
IHC-P
Dilutions
IHC-P: 1-2 µg/ml
Reactivity
Human
Immunogen
Recombinant fragment, around amino acids 108-261, of human CD40L protein. The exact sequence is proprietary.
Host
Mouse
Clonality
Monoclonal
Clone ID
CD40LG/4675
Isotype
IgG1
Light Chains
kappa
Conjugate

Unconjugated

Purification
Protein A/G chromatography.
Concentration
1 mg/ml
Molecular Weight
36 kDa
Product Form
Liquid
Formulation
Supplied in 10mM Phosphate Buffered Saline; without Sodium Azide and carrier free.
Storage
Shipped at 4°C. Upon delivery aliquot and store at -20°C. Avoid freeze / thaw cycles.
General Notes
This monoclonal antibody is also available in a different formulation with BSA and Sodium Azide - Anti-CD40L Antibody [CD40LG/4675] (A277856).
Synonyms
CD154, CD40 ligand, CD40-L, CD40LG, T-cell antigen Gp39, TNF-related activation protein, TRAP, Tumor necrosis factor ligand superfamily member 5
Disclaimer
This product is for research use only. It is not intended for diagnostic or therapeutic use.
Publishing research using Anti-CD40L Antibody [CD40LG/4675] - BSA and Azide free (A278444)? Please let us know so that we can list the citation on this page.

Alternative products to Anti-CD40L Antibody [CD40LG/4675] - BSA and Azide free (A278444)

Proteins predicted to interact with TNFSF5

Predicted protein interactions based upon String database. Revelancy score correlates with probability of interaction.
99.9% Relevancy Score
99.9% Relevancy Score
99.8% Relevancy Score
99.8% Relevancy Score
99.8% Relevancy Score
98.8% Relevancy Score
98.3% Relevancy Score
98.3% Relevancy Score
96.4% Relevancy Score