ISO 9001:2015 Certified
Live Customer Support
4.5/5 on Trustpilot
100% Quality Guarantee

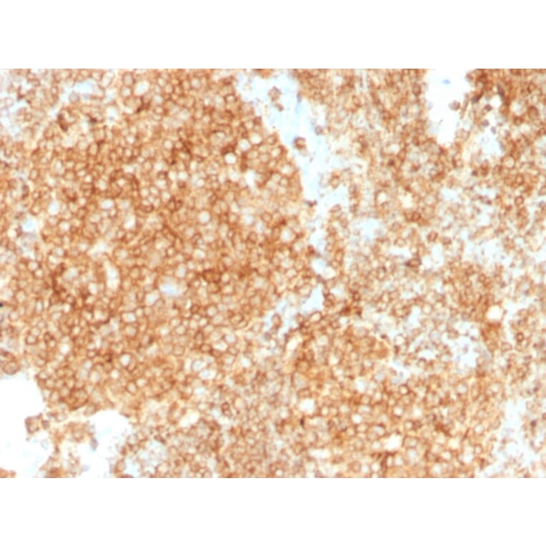
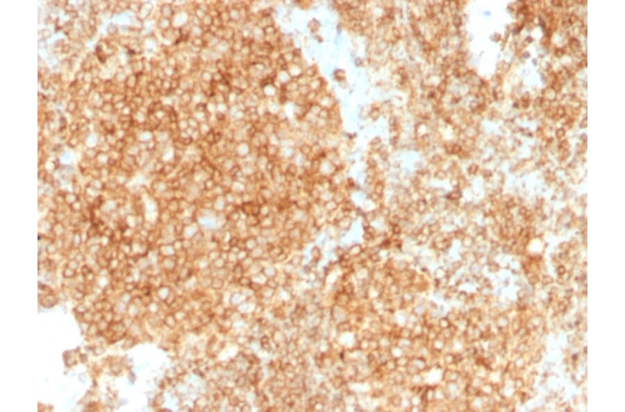
Anti-CD45 Antibody [PTPRC/1147 + PTPRC/1460] - BSA and Azide free (A252976)

Mouse monoclonal [PTPRC/1147 + PTPRC/1460] antibody to CD45 for WB and IHC-P.

Alternative Formats and ConjugatesAlternative Formats

Shipping Information

$40
Dispatched from St. Louis, MO.
Lead Time: 5-8 business days.
Name
Anti-CD45 Antibody [PTPRC/1147 + PTPRC/1460] - BSA and Azide free
Description
Mouse monoclonal [PTPRC/1147 + PTPRC/1460] antibody to CD45.
Specificity
This antibody recognizes the CD45 leukocyte common antigen (LCA) family which is comprised of at least four isoforms of membrane glycoproteins (220, 205, 190, 180kDa) expressed on hematopoietic cell lines but absent on non-hematopoietic cell lines, normal and malignant non-hematopoietic tissues. The intracellular portions of these molecules have protein phosphatase activity and are involved in regulation of transmembrane signals. Antibody to CD45 is useful in differential diagnosis of lymphoid tumors from non-hematopoietic undifferentiated neoplasms. A positive result with this MAb is highly indicative of lymphoid or myeloid origin. Certain types of lymphoid neoplasms may lack CD45 (Hodgkin lymphoma, some T-cell lymphomas, and some leukemias) so its absence does not rule out a hematolymphoid tumor. This antibody is expressed almost exclusively by cells of hematopoietic lineage and is present in most benign and malignant lymphocytes as well as plasma cell precursors.
Applications
WB, IHC-P
Dilutions
WB: 1-2 µg/ml, IHC-P: 1-2 µg/ml
Reactivity
Human
Immunogen
Recombinant full-length human CD45 protein.
Host
Mouse
Clonality
Oligoclonal
Clone ID
PTPRC/1147 + PTPRC/1460
Isotype
IgG1, kappa + IgG1, kappa
Conjugate

Unconjugated

Purification
Protein A/G chromatography.
Concentration
1 mg/ml
Molecular Weight
180-220 kDa
Product Form
Liquid
Formulation
Supplied in 10mM Phosphate Buffered Saline; without Sodium Azide and carrier free.
Storage
Shipped at 4°C. Upon delivery aliquot and store at -20°C. Avoid freeze / thaw cycles.
General Notes

Please note, this product is an oligoclonal antibody; it is a cocktail of monoclonal antibodies that have been carefully selected. Oligoclonal antibodies not only have the specificity and batch-to-batch consistency of a monoclonal antibody, but they also have the advantage of the sensitivity of a polyclonal antibody due to their ability to recognize multiple epitopes on an antigen.

This oligoclonal antibody is also available in a different formulation with BSA and Sodium Azide - Anti-CD45 Antibody [PTPRC/1147 + PTPRC/1460] (A249796).

Synonyms
L-CA, Leukocyte common antigen, PTPRC, Receptor-type tyrosine-protein phosphatase C, T200
Disclaimer
This product is for research use only. It is not intended for diagnostic or therapeutic use.
Publishing research using Anti-CD45 Antibody [PTPRC/1147 + PTPRC/1460] - BSA and Azide free (A252976)? Please let us know so that we can list the citation on this page.

Most popular Anti-CD45 Antibodies

Alternative products to Anti-CD45 Antibody [PTPRC/1147 + PTPRC/1460] - BSA and Azide free (A252976)

Proteins predicted to interact with CD45

Predicted protein interactions based upon String database. Revelancy score correlates with probability of interaction.
99.9% Relevancy Score
99.9% Relevancy Score
99.3% Relevancy Score
99% Relevancy Score
98.8% Relevancy Score
98.3% Relevancy Score
98.1% Relevancy Score
98.1% Relevancy Score
97.7% Relevancy Score